Introducción
El cáncer de piel es el cáncer más prevalente a nivel mundial. Se divide en dos grandes grupos: por un lado, el cáncer de piel no melanoma (CPNM)1,2) que incluye al carcinoma basocelular (CBC) y el carcinoma espinocelular (CEC), y por otro lado al melanoma.
La cirugía micrográfica de Mohs (CMM) es una técnica quirúrgica especializada para el tratamiento del CPNM, realizado por un médico especializado en cirugía cutánea e histopatología, que permite el control microscópico preciso del 100% de los márgenes, utilizando secciones horizontales congeladas, ofreciendo de esta manera índices de curación superiores a otras opciones terapéuticas3-5. La base fundamental de la CMM es el examen histopatológico del tejido, para ello se emplean diferentes tinciones: azul de toluidina (AT)6 y/o hematoxilina y eosina (HyE)7. La elección de la tinción ha sido un punto de controversia8.
Muchos cirujanos de Mohs fueron entrenados con la tinción AT, donde se puede observar con claridad la presencia de mastocitos y mucopolisacáridos. Luego, un mayor número de cirujanos comenzaron a utilizar exclusivamente la HyE9. No se sabe con exactitud qué motivó el cambio de tinción. Algunos autores afirman que el AT es inferior que la HyE con respecto a la visualización del tumor, mientras que otros estudios destacan que el uso de AT revela signos que ayudan a detectar la presencia tumoral que con la HyE hubieran sido imperceptibles10. Actualmente la tinción con HyE es la más utilizada tanto para CMM como para dermatología general9. Sin embargo, en algunos estudios se observó que utilizar ambas tinciones podría tener ventajas sobre el uso de una técnica sola8-10.
El estudio tiene como objetivo general comparar el rendimiento de las tinciones de HyE versus AT en la evaluación de CPNM durante CMM en la Cátedra de Dermatología Médico Quirúrgica del Hospital de Clínicas Dr. Manuel Quintela en Montevideo, Uruguay.
Los objetivos específicos incluyen la valoración del rendimiento de ambas tinciones para cada tipo tumoral (CBC y CEC), considerando las características celulares y los elementos del estroma, así como evaluar si existen discordancias entre los observadores. Con el fin de establecer si el uso dual de ambas técnicas mejora la visualización del CPNM, se analiza la sensibilidad a la técnica observada en cada grupo, lo que ayudaría a la toma de decisiones quirúrgicas.
Materiales y métodos
Se realizó un estudio observacional, descriptivo y transversal a partir de noviembre de 2017 hasta el 29 de mayo de 2018, donde se incorporaron las láminas empleadas durante la CMM durante el periodo mencionado. Se incluyeron pacientes mayores de 18 años de edad con diagnóstico confirmado de CBC y/o CEC con indicación de tratamiento con CMM5 y con el consentimiento informado leído, firmado y entregado. No se aplicaron criterios de exclusión. Se obtuvieron un total de 23 tumores, de los cuales 16 corresponden a CBC y siete a CEC.
Para este estudio se realizó una búsqueda bibliográfica de ambas técnicas.
Las muestras fueron obtenidas durante la CMM con tejido fresco y fueron congeladas usando criostato. Se realizaron secciones de 2 a 6 micras, y las mismas láminas fueron teñidas tanto con HyE como con AT para poder realizar la comparación al microscopio durante la cirugía. Los observadores evalúan las láminas de ambas tinciones de forma independiente, y sin intervenir entre ellos para no influir en la valoración. Deben completar los datos en una planilla especialmente diseñada, donde se marca como positivo si se identifica esa estructura con una o ambas técnicas de tinción. Los observadores se dividen en tres grupos: un grupo está compuesto por el cirujano de Mohs, otro grupo por tres residentes y un tercer grupo por un dermopatólogo (gold standard).
Las variables estudiadas con respecto a las características celulares fueron la presencia de detalles nucleares, queratinización individual, necrosis individual y empalizada periférica, mientras que con respecto al estroma se valoró la presencia de reacción artefactual, mucopolisacáridos, queratina, colágeno, mastocitos, infiltrado inflamatorio y signo de corona perineural. Además se consideró la presencia de otras estructuras encontradas en los tejidos como folículo piloso, glándulas sebáceas, músculos, cartílagos, vasos y nervios. Con el análisis de estas características se realizó una planilla de volcado de datos para Microsoft Excel 2010. Se evaluaron los datos obtenidos a fin de dar respuesta a los objetivos planteados. La investigación fue aprobada por el Comité de Ética Médica del Hospital de Clínicas Dr. Manuel Quintela, Universidad de la República. Se entregó el consentimiento informado y carta con información a todos los pacientes incluidos en el estudio, a los cuales se les explicó y fue firmado por el paciente.
Para analizar la concordancia entre los observadores, se tomó un valor de sensibilidad mayor o igual a 75%, calculando el índice Kappa global. Se trabajó con un nivel de significación de 0,05. El software estadístico fue STATA v. 12.0.
Resultados
Con respecto al CBC, se analiza la planilla de datos que evidencia las características celulares, del estroma y anexos (tabla 1).
Con el fin de establecer la sensibilidad para CBC con ambas tinciones, se comparó los resultados obtenidos por el cirujano de Mohs y los residentes con el gold standard, en este caso el dermopatólogo (tabla 2).
Se destaca que en el caso de los mastocitos hay una predominancia con la técnica AT para ambos grupos, donde ambos tuvieron un 100% de sensibilidad.
Para la tinción con AT se encontró una diferencia significativa con un valor p<0,05 para la detección de empalizada periférica y mucopolisacáridos entre el cirujano de Mohs y los residentes, el cirujano de Mohs tuvo una sensibilidad del 100% para la observación de los mucopolisacáridos.
Para la tinción de HyE se encontró una diferencia estadísticamente significativa con un valor p<0,05 para la detección de retracción artefactual, queratina y músculo entre el cirujano de Mohs y el grupo de residentes.
Con respecto a los detalles nucleares, el infiltrado inflamatorio y el folículo piloso, los observadores tuvieron una sensibilidad de 100% para la AT y una menor sensibilidad para HyE. El resto de las estructuras no se visualizaron con ninguna técnica.
En suma, se encontró que para ambos grupos la sensibilidad para el CBC según las características fue globalmente mayor para la tinción con AT que para la HyE con un valor p <0,05. Esto quiere decir que la concordancia entre ambos grupos es muy fuerte, por lo cual puede decirse que no hay diferencias entre ambos grupos en lo global, sólo en algunas características especialmente con la HyE.
En la (tabla 3) se adjuntan los datos obtenidos para CEC para ambas tinciones.
Si comparamos los grupos entre ellos, considerando al dermopatólogo como gold standard, obtenemos la sensibilidad para CEC para ambas tinciones (tabla 4).
En el caso de los CEC se encontró una diferencia estadísticamente significativa para la tinción con HyE, con un valor p<0,05, entre el cirujano de Mohs y el grupo de residentes para la detección de detalles nucleares, infiltrado inflamatorio y vasos.
Ambos grupos visualizaron con una sensibilidad del 100% las células con queratinización individual, glándulas sebáceas y los folículos pilosos con la tinción AT. Los mucopolisacáridos solo fueron observados por el cirujano de Mohs con la tinción AT.
No hubo diferencias en cuanto a la sensibilidad en ambas tinciones para visualizar las células con necrosis individual. Ninguno observó la presencia de cartílago o nervios. No hubo diferencias significativas entre los grupos para el caso de AT, con un p >0,05.
En suma, se encontró que para ambos grupos la sensibilidad según característica fue globalmente mayor para la tinción AT que para la HyE con valor p<0,05. Esto quiere decir que la concordancia entre ambos grupos es muy fuerte, por lo tanto puede decirse que no hay diferencias entre ambos grupos a nivel global, solo en algunas características especialmente con HyE.
Discusión
La mayoría de los cirujanos de Mohs emplean una sola técnica de tinción basándose en su entrenamiento y preferencia personal. Al principio, los cirujanos de Mohs preferían el AT principalmente en el diagnóstico del CBC, debido a sus propiedades metacromáticas, mejor visualización de mastocitos y de mucopolisacáridos. Estos últimos se distinguen con un color magenta en el estroma que rodea al tumor8. De todas formas, en los últimos años los cirujanos de Mohs han preferido la técnica con HyE y muchos han sido entrenados únicamente con la misma. No se sabe con exactitud qué motivó el cambio. Esto podría deberse a su fiabilidad en una fuerte tinción nuclear de cromatina azul, mientras que tiñe el citoplasma y el estroma de color rojo. Esta tinción se prefiere particularmente en los diagnósticos de CEC, donde se ve con mayor claridad la necrosis individual, queratinización individual y la queratina8. Según Styperek y colaboradores, se estima que 83% de los cirujanos de Mohs utilizan con preferencia la tinción con HyE y un 17% utiliza AT. Algunos autores prefieren AT para CBC y usar HyE para CEC, mientras otros eligen usar una sola tinción para ambos tumores8. En nuestro servicio se empleaba inicialmente la AT para la cirugía de Mohs, pero luego pasó a ser la HyE. Asimismo, la HyE es la técnica más comúnmente utilizada tanto para los dermopatólogos como para los residentes, ya que la utilizan en su práctica diaria y es en la que reciben mayor entrenamiento.
Este es el primer trabajo en Uruguay que busca comparar la eficacia de las dos tinciones en la CMM y las variaciones interobservador. Conocer las ventajas y las desventajas de cada técnica permite elegir correctamente la técnica a emplear en cada caso.
En nuestro trabajo se visualizaron los detalles nucleares mejor con AT en las piezas de CEC y mejor para CBC con HyE tanto para el cirujano de Mohs como para los residentes. Esto coincide, en el caso de CEC, con un trabajo realizado en 1996 por Humphreays T y colaboradores, donde se realizó una comparación entre AT y HyE en los CBC y CEC durante la CMM y se vio que los detalles nucleares de las piezas del tumor se observan mejor con AT9.
Las células con queratinización individual y necrosis individual son útiles para identificar proliferaciones epiteliales malignas. Fueron encontradas en los CEC tanto por parte del cirujano de Mohs como por los residentes, pero no fueron encontradas en los CBC, dado que no son características frecuentes de éstos8. Acorde al artículo de Humphreys T y colaboradores, que indica que estas características se observan con mayor frecuencia en los CEC y que éstas se observan mejor con HyE. Este último punto difiere de nuestro estudio, en el que el cirujano de Mohs logró visualizar ambas estructuras de una mejor forma con el AT con respecto a la HyE9.
Con respecto a la empalizada periférica y la retracción artefactual, ambas características de los CBC11, pueden verse igualmente bien con ambas tinciones según lo descrito en la literatura9,12.
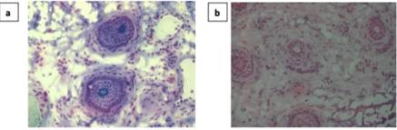
En este caso fueron identificadas de mejor forma con AT por el cirujano de Mohs (figura 1).

Figura 1: Carcinoma basocelular. a) Tinción con AT. b) Tinción con HyE. Obsérvese la empalizada periférica. Aumento 10x
En el caso de los mucopolisacáridos para los CBC, se evidenció que solo fueron vistos con AT por el cirujano de Mohs. Este hecho puede deberse a que el cirujano de Mohs tiene una mayor experiencia para la visualización de dichas estructuras. En las publicaciones de Goldberg L y colaboradores, Therani H y colaboradores y Humphreys T, indican que los mucopolisacáridos se tiñen mejor con AT por sus propiedades metacromáticas. Se tiñen de un color magenta oscuro, que aunque no es un indicador absoluto de presencia tumoral, su existencia debe hacer sospechar la presencia de tumor residual. Para quedarse tranquilo el cirujano debe mirar todo el bloque desde su interior hasta el margen periférico para ver cómo el color magenta desaparece lentamente, a esto se le llama “sol poniente” (10,12,13. Lo mismo sucede con los mastocitos, que abundan en el estroma de los CBC, en comparación con el estroma libre de tumor y su presencia es un indicador de tumor residual. Sus gránulos se tiñen de manera metacromática con AT, siendo fácilmente reconocibles con esta tinción para los observadores, lo que concuerda con la literatura (figura 2)9,12.

Figura 2: Carcinoma basocelular. a) Mastocito teñido con AT. b) Dos mastocitos teñidos con HyE. Nótese cómo se tiñen los granos con AT. Aumento 40x
Con respecto al colágeno, tanto el cirujano de Mohs como los residentes coincidieron en que se visualiza mejor con HyE en todos los casos para CBC, mientras que para CEC el cirujano de Mohs visualizó un poco mejor con AT.
El infiltrado inflamatorio en los CBC fue observado de mejor forma con HyE tanto por los residentes como por el cirujano de Mohs, pero debemos tener en cuenta que se observa con ambas tinciones (figura 3).

Figura 3: Infiltrado inflamatorio de un carcinoma basocelular. a) Tinción con AT. b) Tinción con HyE. Aumento 20x
Los folículos pilosos son fácilmente reconocibles con ambas técnicas, pero se vio que fueron mejor identificados con AT debido a la coloración azul intensa de la vaina de la raíz interna del folículo piloso, lo que concuerda con la literatura, donde la metacromasia de epitelio folicular es más evidente con AT que con HyE10. Este punto es importante, ya que las células basaloides benignas que rodean el folículo pueden ser difíciles de distinguir de las células basaloides tumorales en algunos cortes congelados de CBC (figura 4) (15.
Los vasos fueron observados tanto por el cirujano de Mohs como por los residentes de mejor forma con HyE que con AT (figura 5).
Las glándulas sebáceas de los 2 tipos tumorales estudiados, fueron observados de mejor forma con AT tanto para el cirujano de Mohs como para los residentes.
El signo de la corona perineural no fue visualizado ni por el cirujano de Mohs ni por los residentes en ninguno de los dos tipos tumorales estudiados, dado que solo se observa cuando hay invasión perineural, no siendo el caso. Según la literatura lo podemos encontrar con una mayor frecuencia en los CEC que en los CBC (2,5%-1,4% versus 1% respectivamente) (14. El cartílago no fue observado en ninguno de los dos tumores, ni con AT ni con HyE. Esto es debido a que durante la cirugía de Mohs no se llegó a estudiar en profundidad hasta el cartílago.
En resumen, este estudio no muestra diferencias significativas entre ambas tinciones, sólo en algunas características especialmente con HyE.
Debemos considerar que el tamaño de la muestra de este estudio es pequeño, especialmente para CEC, donde se evaluaron sólo siete pacientes, con lo cual es necesario hacer más estudios con un mayor número de pacientes para poder interpretar estos resultados.
Conclusiones
Tanto la tinción con HyE como con AT son confiables para el diagnóstico de los carcinomas cutáneos observados durante la CMM con la técnica por congelado en tejido fresco. Si bien sabemos que en la actualidad se utiliza en la práctica diaria más comúnmente la HyE, no podemos dejar de apreciar que con la técnica de AT algunas características de los tejidos que son importantes en el reconocimiento de tumor residual se pueden observar mejor. Sería óptimo si se pudieran emplear ambas tinciones de forma dual en el estudio de los CBC y CEC mediante la CMM, lo que aumentaría la sensibilidad diagnóstica, sabiendo que esto aumentaría el tiempo y los costos. Esto no fue realizado en esta oportunidad, ya que el objetivo del estudio era comparar ambas técnicas.




















