Introducción
El término endosalpingiosis fue empleado por primera vez por Sampson1 en 1930, quien denominó bajo este término cualquier crecimiento ectópico e invasión del epitelio de trompas de Falopio en mujeres que se habían sometido a salpingectomía o esterilización tubaria. Histológicamente se define por la presencia de estructuras quísticas cubiertas por epitelio ciliado similar al de las trompas de Falopio2.
La endosalpingiosis, junto a la endometriosis y endocervicosis, constituyen la tríada de los trastornos no neoplásicos del sistema de Müller, que si bien se pueden presentar de forma aislada, en oportunidades se asocian3. El diagnóstico de endosalpingiosis es histológico y realizado luego de la resección quirúrgica.
El objetivo es comunicar un caso de esta infrecuente entidad clínica de la cual existen publicados en la literatura internacional solo cuatro casos3-6.
Caso clínico
Paciente de sexo femenino, 40 años, con antecedentes de apendectomía a los 17 años y dos cesáreas, la última realizada seis años previos a la consulta, donde además se realizó ligadura tubárica.
Consultó por una historia de un año de evolución dada por dolor a nivel de la comisura derecha de la incisión de Pfannenstiel, permanente, de escasa intensidad, sin cambios en relación al ciclo menstrual y que posteriormente agregó una pequeña tumoración a dicho nivel. Al examen abdominal se constató una tumefacción bien delimitada, dolorosa, de 1 por 1 cm que no desaparecía con la contracción muscular, manteniendo sus características.
Se realizó ecografía de partes blandas que informó: sobre comisura derecha de cicatriz operatoria de Pfannenstiel se constata imagen nodular sólida, ovoidea, de contornos regulares y bien definidos, de ecogenicidad heterogénea, predominantemente hipoecogénica de 14 por 7 por 10 milímetros, siendo compatible con un granuloma.
Se realizó cirugía de coordinación, resecándose la tumoración en forma completa con anestesia local a través de una incisión centrada en ella. Al corte se comprobó que se trataba de una tumefacción quística (Figura 1) y (Figura 2).
Presentó buena evolución posoperatoria, sin complicaciones a nivel de la herida operatoria, y remisión completa de la sintomatología.
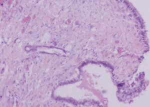
El estudio anatomopatológico de la pieza informó: estructuras quísticas revestidas por epitelio columnar simple, con células ciliadas y presencia de células claras. En su luz se observan detritus celulares, hemosiderina y cristales de colesterol. Se observan sectores de fibrosis y leve infiltrado inflamatorio de tipo mixto. Elementos histopatológicos compatibles con una endosalpingiosis (Figura 3). Ausencia de elementos de malignidad.
Discusión
En la literatura internacional se han reportado cuatro casos de endosalpingiosis cutánea3-7.
En cuatro de los casos existió el antecedente de una cirugía de la esfera ginecológica, dos cesáreas, una salpingectomía y miomectomía. De los restantes, en uno se plantea que hubo una interrupción del embarazo pero no se explicita la vía6, y finalmente, en otro, no hubo antecedente quirúrgico7.
El rango de edad en los cuales se presentó fue de 30 a 53 años, estando nuestro caso comprendido dentro del rango.
El dolor fue el síntoma principal, habiéndose presentado en el 50% de los casos, alcanzando duraciones de varios años en la mayoría de ellos, a excepción de uno que fue intenso y que se instaló cinco días previos a la consulta5.
Como hecho destacable cabe señalar que la tumoración en ninguno de los casos reportados previamente asentaron sobre una cicatriz de Pfannenstiel, tres de ellos en la región umbilical y en otro a nivel inguinal, donde se había emplazado un tubo de drenaje, por lo que constituiría el primer caso en dicha localización. Si bien la etiopatogenia puede ser debatida, y teniendo en cuenta las dos teorías aceptadas7,8, parecería ser que nuestro caso se ajusta a la del transporte de las células desde la trompa y posterior implante en la cicatriz operatoria, ya sea por medio del instrumental quirúrgico utilizado o las propias manos del cirujano.
Habitualmente el tamaño del nódulo es pequeño, y a excepción de uno que alcanzó los 4 cm, los restantes fueron menores a 1 cm.
La presencia de un epitelio tubular con células columnares ciliadas, columnares no ciliadas secretoras y las denominadas intercalarias o peg en la pieza de resección quirúrgica, confirman el diagnóstico.
El tratamiento es quirúrgico y es factible realizarlo con anestesia local, siendo condición indispensable su resección completa. Bajo estas circunstancias, no se han reportado recurrencias.

















