SciELO - Scientific Electronic Library Online

 
vol.33 número2Diverticulitis de Meckel: a propósito de un caso clínico índice de autoresíndice de assuntospesquisa de artigos
Home Pagelista alfabética de periódicos  

Serviços Personalizados

Journal

Artigo

Links relacionados

Compartilhar


Revista Médica del Uruguay

versão impressa ISSN 0303-3295versão On-line ISSN 1688-0390

Rev. Méd. Urug. vol.33 no.2 Montevideo jun. 2017

 

CASOS CLÍNICO

Denosumab, tratamiento alternativo en tumor óseo de células gigantes

Denosumab, an alternative treatment for giant cell tumor of bone

Marcos A. Rodríguez1 

Nicolás Casales2 

Claudio Silveri3 

Jaqueline Cardozo4 

Paola Filomeno2 

Luis Francescoli5 

1Médico Residente de Traumatología. Clínica de Ortopedia y Traumatología. Universidad de la República. Montevideo, Uruguay.

2Médico Traumatólogo. Asistente de la Clínica de Ortopedia y Traumatología. Universidad de la República. Unidad de Patología Oncológica Musculoesquelética (UPOME). Universidad de la República. Montevideo, Uruguay.

3Médico Traumatólogo. Asistente de la Clínica de Ortopedia Infantil. Universidad de la República. Unidad de Patología Oncológica Musculoesquelética (UPOME). Universidad de la República. Montevideo, Uruguay.

4Licenciada en Enfermería. Unidad de Patología Oncológica Musculoesquelética (UPOME). Universidad de la República. Montevideo, Uruguay.

5Médico Traumatólogo. Profesor de la Clínica de Ortopedia y Traumatología. Universidad de la República. Montevideo, Uruguay. Correo electrónico: marcosrodriguezbranco@gmail.com.


Resumen:

Introducción:

el tumor óseo de células gigantes (TOCG) es un tumor benigno pero localmente agresivo. Se presenta en población joven y a nivel epifiso-metafisario. Está compuesto por una población celular estromal y otra multinucleada similar a los osteoclastos, donde se destaca la interacción RANK-RANKL (receptor del activador del factor nuclear kappa-B y su ligando, respectivamente). El anticuerpo monoclonal humano denosumab actúa inhibiendo específicamente RANKL, lo que evita la formación y activación de células multinucleadas. En la bibliografía se evidencia que denosumab tiene resultados alentadores como tratamiento adyuvante de algunos TOCG, generando planes terapéuticos con una menor morbimortalidad que los planteados previamente a la administración del anticuerpo.

Material y método:

se describe la primera experiencia terapéutica en Uruguay con dos pacientes menores de 40 años que consultaron por gonalgia de larga data, realizándose diagnóstico de TOCG estadio III de Campanacci, donde se realiza tratamiento con denosumab de forma protocolar valorando respuesta clínica, imagenológica, efectos adversos y modificación en plan terapéutico inicial.

Resultados:

se evidenció una respuesta clínica e imagenológica en los pacientes valorados. No se reportaron efectos adversos, logrando preservar la articulación afectada.

Conclusiones:

los resultados obtenidos son alentadores respecto al uso terapéutico de denosumab en los pacientes seleccionados. Esto permite considerar a denosumab dentro de las opciones terapéuticas de determinados pacientes con diagnóstico de TOCG.

Palabras clave: Neoplasias óseas; Células gigantes; Denosumab

Abstract:

Introduction:

giant cell tumor of bone (GCTB) is a benign tumor, although it is locally aggressive. It arises mainly in young people at the epi-metaphyseal level. It consists of stromal cells and osteoclasts-like populations, where the RANK-RANKL (receptor activator of nuclear factor kappa-B and its ligand, respectively) stands out. Denosumab, the human monoclonal antibody, acts by specifically inhibiting RANKL, what prevents the formation and activation of multinucleate cells. The existing bibliography indicates denosumab has obtained encouraging results as adjuvant treatment for some GCTB, enabling therapeutic plans that have lower morbi-mortality rates than those applied prior to administration of the antibody.

Method:

the study describes the therapeutic experience of two patients younger than 40 years old, who consulted in Uruguay for long standing gonalgia. Campanacci Stage III GCTB was diagnosed, and denosumab treatment was initiated. Clinical response was assessed, as well as imaging response, adverse side effects and the modification of initial treatment.

Results:

clinical and imaging response was seen in the assessed patients. No adverse side effects were reported, and the affected joint was preserved.

Conclusions:

the results obtained are encouraging with regard to the therapeutic use of denosumab in the selected patients. This allows for denosumab to be regarded within the therapeutic options for certain patients with a diagnosis of GCTB.

Key words: Bone neoplasms; Giant cells; Denosumab

Resumo:

Introdução:

o tumor de células gigantes ósseo (TOCG) é um tumor benigno, porém agressivo. Apresenta-se em jovens localizando-se na metáfise e epífise dos ossos; compõe-se de uma população celular estromal e outra multinucleada similar aos osteoclastos, donde se destaca a interação RANK-RANKL (receptor do ativador do fator nuclear kappa-B e seu ligando, respectivamente). O anticorpo monoclonal humano denosumab age inibindo especificamente o RANKL, evitando a formação e a activação de células multinucleadas. A bibliografia mostra que o denosumab tem resultados animadores como tratamento adjuvante de alguns TOCG, com planos terapêuticos com menor morbimortalidade que os utilizados antes da administração do anticorpo.

Material e método:

descreve-se a primeira experiencia terapêutica no Uruguai com dois pacientes com menos de 40 anos que consultaram por gonalgia de longa data, realizando-se diagnóstico de TOCG estádio III de Campanacci; realizou-se tratamento com denosumab de acordo com o protocolo e avaliando a resposta clínica, a imagenología, os efeitos adversos e a modificação no esquema terapêutico inicial.

Resultados:

evidenciou-se uma resposta clínica e na imagenología nos pacientes avaliados. Não se informaram efeitos adversos, sendo possivel preservar a articulação afetada.

Conclusões:

os resultados obtidos são animadores com relação ao uso terapêutico do denosumab nos pacientes selecionados. Isto permite considerar o denosumab como opção terapêutica para determinados pacientes com diagnóstico de TOCG.

Palavras-chave: Neoplasias ósseas; Células gigantes; Denosumab

Introducción

El tumor óseo de células gigantes (TOCG) es un tumor benigno pero localmente agresivo1. Se presenta en población joven y a nivel epifiso-metafisario, siendo la rodilla el sitio más frecuente2. La sintomatología es variada, pudiendo ser asintomático, presentar fracturas de mecanismo patológico, dolor y disminución del rango de movilidad articular, tumoración y sintomatología por compresión3.

La histopatología de TOCG está caracterizada macroscópicamente como una masa hemorrágica, lobulada, que erosiona el hueso adyacente. Microscópicamente está conformado por una población celular mononucleada estromal escasa, y una segunda población de células monocíticas y células multinucleadas osteoclástica gigantes (CMOG), sin atipias4. El hueso es un órgano dinámico donde la activación de osteoblastos/osteoclastos depende de una numerosa y diversa cascada de factores, es aquí donde se destaca la interacción RANK (receptor del activador del factor nuclear kappa-B) y su ligando RANKL. Las CMOG y sus precursores expresan RANK. Las células estromales expresan RANKL en grandes cantidades. Se plantea la posibilidad de que mediante esta interacción se recluten grandes cantidades de CMOG, lo que le otorgaría la característica osteolítica al TOCG1,2,5,6.

La clasificación imagenológica que se utiliza para los TOCG es la de Campanacci; se destaca el estadio III, donde existe una importante destrucción cortical y pérdida de los límites de la lesión7.

El TOCG se caracteriza por tener un alto porcentaje de recidiva, por lo que la resección amplia y la amputación son los tratamientos más valederos dado que disminuyen hasta 10% la recidiva tumoral1,5. Con el correr de los años y valorando las características del TOCG (próximo a las articulaciones y en pacientes jóvenes) se ha visto que el tratamiento más efectivo genera una alta morbilidad, por lo que se han tratado de desarrollar opciones terapéuticas menos agresivas para el paciente. En los TOCG Campanacci III se destaca el uso de denosumab como adyuvante terapéutico sistémico; es un anticuerpo humano monoclonal que actúa inhibiendo específicamente la actividad osteoclástica normal o tumoral, dado que interactúa con RANKL, lo que evita la migración y activación de células osteoclásticas y así un microambiente favorecedor de lisis ósea.

En la bibliografía publicada sobre el uso de denosumab en TOCG se evidenció una marcada respuesta clínica (reducción del dolor o mejoría de la función articular)4,8,9. Se destacan cambios histopatológicos, sustitución de tejido tumoral por óseo10; dichos cambios fueron evidenciados en la imagenología4,8. En cuanto a los efectos adversos, se plantean muy frecuentes pero de baja entidad4,8. El uso de denosumab tiene su mejor indicación con el objetivo de transformar tumores donde la articulación estaba perdida en articulaciones salvables con procedimientos menos mórbidos4,8,11.

Presentación de casos clínicos

Presentaremos los casos de dos pacientes de nuestro servicio en el período 2015-2016.

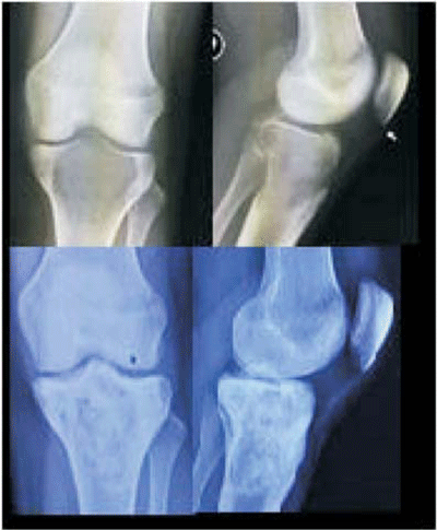
Paciente de 18 años, sexo femenino, sin antecedentes personales a destacar. Consulta en el año 2015 por gonalgia izquierda de tres meses de evolución, que agrega limitación en la marcha y tumoración de un tercio proximal de pierna. Se realiza estudio imagenológico con radiografía (Rx), tomografía computada (TC) y resonancia nuclear magnética (RNM) que evidencia lesión lítica de tibia proximal; la biopsia confirma el diagnóstico histopatológico de TOCG estadio III de Campanacci. En el momento del diagnóstico se plantea como tratamiento la no preservación de la epífisis tibial. Se decide iniciar tratamiento con denosumab 120 mg subcutáneo (con el objetivo de evitar sacrificar la epífisis), con un refuerzo de la misma los días 8 y 15 del primer mes. La dosis inicial se repitió mensualmente. Se realizaron controles clínicos y paraclínicos humorales e imagenológicos mensualmente. Al mes del control la paciente se presentaba sin dolor y con radiografías que ya hacían imposible el curetaje de la lesión. Se completaron seis meses de tratamiento con denosumab y se decidió discontinuar el mismo dado que la lesión se presentaba esclerosada, bien delimitada y con una paciente asintomática. (figura 1)

Abajo: después del tratamiento 

Paciente de 32 años, sexo femenino, antecedentes personales de fumadora. Comienza en el año 2014 con gonalgia izquierda que se interpreta de causa meniscal, sin respuesta al tratamiento indicado. Consulta nuevamente en el año 2015 por permanencia de la gonalgia, dificultad en la marcha, disminución del rango de movilidad y tumoración a nivel de cóndilo externo de fémur distal. Se realiza estudio imagenológico con Rx, TC y RNM donde se evidencia lesión lítica de cóndilo externo; la biopsia confirma el diagnóstico histopatológico de TOCG estadio III de Campanacci. En el momento del diagnóstico se plantea como tratamiento de elección la resección amplia y sustitución protésica o la amputación. Se inicia tratamiento con denosumab según protocolo planteado a paciente anterior. La paciente se presenta sin dolor al mes de iniciado el tratamiento. Se discontinúa el uso del anticuerpo a la quinta dosis, lográndose el efecto deseado (esclerosando los límites periféricos de la lesión). Del procedimiento se destaca resección intralesional, fresado rápido y cauterización de las paredes de la cavidad; reconstrucción con cemento y osteosíntesis (figura 2). A los cuatro meses del posoperatorio la paciente no presenta dolor, deambula con un bastón, mejoría franca de la amplitud de movimiento de la rodilla y la lesión clínica e imagenológicamente se considera controlada.

Figura 2: Arriba: lesión antes del tratamiento y evolución preoperatoria. Abajo: después de la cirugía planteda luego del tratamiento con denosumab. 

Discusión

Esta es la primera experiencia documentada en Uruguay del uso de denosumab en casos específicos de TOCG, en los que su tratamiento presenta una elevada morbilidad para el paciente.

Se realizó el protocolo terapéutico según pautas aceptadas en estudios fase II4,8,11.

Se encontraron resultados similares en cuanto a la respuesta clínica de los pacientes; la desaparición del dolor, mejoría de la funcionalidad y tiempo en que se evidencia dicha respuesta.

No se evidenciaron alteraciones en la paraclínica humoral y tampoco efectos adversos a destacar, de forma similar a la mayoría de los pacientes que se sometieron a dicho tratamiento en los trabajos publicados mundialmente.

En cuanto a la imagenologia se constató una esclerosis y disminución marcada de la lesión, lo que permitió en uno de los pacientes realizar una resección intralesional y en el otro completar el tratamiento sin una resección quirúrgica. Estas diferencias terapéuticas encontradas en nuestros pacientes, entre el planteo inicial y el posterior al tratamiento con denosumab, son comparables a la bibliografía.

Conclusión

A pesar de no contar con un número considerable de casos, se destaca el uso de denosumab en pacientes que presentan TOCG estadio III, dado que modifica los planteos terapéuticos iniciales, ya sea por retrasar la indicación o disminuir su morbilidad.

En qué dosis de denosumab se obtendrá la respuesta deseada (márgenes esclerosos) y cuándo suspender el anticuerpo son interrogantes aún no aclaradas.

Puntos a revisar y replantearse en el seguimiento a futuro de nuestros casos.

Bibliografía:

1. van der Heijden L, Dijkstra PD, van de Sande MA, Kroep JR, Nout RA, van Rijswijk CS, et al. The clinical approach toward giant cell tumor of bone. Oncologist 2014; 19(5):550-61. [ Links ]

2. Yip KM, Leung PC, Kumta SM. Giant cell tumor of bone. Clin Orthop Relat Res 1996; (323):60-4. [ Links ]

3. López-Pousa A, Martín Broto J, Garrido T, Vázquez J. Giant cell tumour of bone: new treatments in development. Clin Transl Oncol 2015; 17(6):419-30. [ Links ]

4. Thomas D, Henshaw R, Skubitz K, Chawla S, Staddon A, Blay JY, et al. Denosumab in patients with giant-cell tumour of bone: an open-label, phase 2 study. Lancet Oncol 2010; 11(3):275-80. [ Links ]

5. Thomas DM. RANKL, denosumab, and giant cell tumor of bone. Curr Opin Oncol 2012; 24(4):397-403. [ Links ]

6. Thomas DM, Skubitz KM. Giant cell tumour of bone. Curr Opin Oncol 2009; 21(4):338-44. [ Links ]

7. Campanacci M. Bone and soft tissue tumors: clinical features, imaging, pathology and treatment. 2 ed. Wien, AT: Springer, 1999. [ Links ]

8. Chawla S, Henshaw R, Seeger L, Choy E, Blay JY, Ferrari S, et al. Safety and efficacy of denosumab for adults and skeletally mature adolescents with giant cell tumour of bone: interim analysis of an open-label, parallel-group, phase 2 study. Lancet Oncol 2013; 14(9):901-8. [ Links ]

9. Martin-Broto J, Cleeland CS, Glare PA, Engellau J, Skubitz KM, Blum RH, et al. Effects of denosumab on pain and analgesic use in giant cell tumor of bone: interim results from a phase II study. Acta Oncol 2014; 53(9):1173-9. [ Links ]

10. Branstetter DG, Nelson SD, Manivel JC, Blay JY, Chawla S, Thomas DM, et al. Denosumab induces tumor reduction and bone formation in patients with giant-cell tumor of bone. Clin Cancer Res 2012; 18(16):4415-24. [ Links ]

11. Rutkowski P, Ferrari S, Grimer RJ, Stalley PD, Dijkstra SP, Pienkowski A, et al. Surgical downstaging in an open-label phase II trial of denosumab in patients with giant cell tumor of bone. Ann Surg Oncol 2015; 22(9):2860-8. [ Links ]

Recibido: 14 de Noviembre de 2016; Aprobado: 06 de Marzo de 2017

Los autores declaran que no existe conflicto de intereses

Creative Commons License Este es un artículo publicado en acceso abierto bajo una licencia Creative Commons