Servicios Personalizados
Revista
Articulo
Links relacionados
Compartir
Revista Médica del Uruguay
versión On-line ISSN 1688-0390
Rev. Méd. Urug. vol.29 no.4 Montevideo dic. 2013
Gliomatosis cerebral: a propósito de dos casos clínicos
Dres. Carolina Castrillón*, Flavia Leizagoyen†, Fernando Elhordoy‡
Servicio Medicina. Hospital Central de las Fuerzas Armadas. Uruguay.
Resumen
Introducción: la gliomatosis cerebral (GC) es una neoplasia neuroepitelial que afecta al menos dos lóbulos. La clínica es inespecífica, siendo la imagenología y la anatomía patológica los pilares diagnósticos fundamentales. Tiene una baja incidencia con un promedio de presentación entre la cuarta y quinta década de la vida. Material y método: se presentan dos casos clínicos, uno se manifiesta con depresión de conciencia asociada a alteraciones conductuales, y otro con inestabilidad en la marcha. En ambos casos el diagnóstico se realizó mediante resonancia magnética y anatomía patológica. Resultados: los dos pacientes presentaron una sobrevida de dos meses posterior al diagnóstico, no logrando recibir tratamiento dada la mala evolución. Conclusiones: la GC es una neoplasia de baja incidencia con formas clínicas de presentación variable cuyo diagnóstico se basa en dos pilares fundamentales: imagenológico y anátomo-patológico. La incorporación de quimioterapia (temozolamida) al tratamiento clásico basado en la radioterapia parece ofrecer mayores tasas de respuestas aunque su impacto en la supervivencia sigue siendo escaso. El pronóstico es malo, con una sobrevida de entre 6 a 12 meses.
Palabras clave: GLIOMA NEOPLASIAS ENCEFÁLICAS
Key words: GLIOMA BRAIN NEOPLASMS
* Médico Internista. Hospital Central de las Fuerzas Armadas. Uruguay.
† Médico Internista. Hospital Central de las Fuerzas Armadas. Ex Asistente Clínica Médica I. Facultad de Medicina, Universidad de la República. Uruguay.
‡ Residente Medicina Interna. Hospital Central de las Fuerzas Armadas. Uruguay.
Correspondencia: Dra. Carolina Castrillón. Osorio 1389, Montevideo. Uruguay. Correo electrónico: carocastri@yahoo.com.ar
Recibido: 22/7/13. Aceptado: 20/9/13
Introducción
La gliomatosis cerebral (GC) es una neoplasia cerebral primaria de crecimiento difuso, infiltrativo y no destructivo, de naturaleza glial. Su incidencia es baja. Constituye aproximadamente el 1% de todos los tumores cerebrales primarios(1-3).
El término GC implica la afectación de al menos dos lóbulos cerebrales con posible extensión al tallo cerebral, cerebelo, médula espinal y espacio subaracnoideo. La clínica es inespecífica. La resonancia magnética (RM) presenta las alteraciones características, pero el diagnóstico definitivo es de confirmación histológica(1-4).
Recientemente se han descrito nuevas mutaciones genéticas en la GC que se asocian con mayor quimiosensibilidad y mejor pronóstico(5,6).
El tratamiento con radioterapia puede estabilizar o mejorar la función neurológica en algunos pacientes, sin cambios en la sobrevida global. Han surgido nuevas alternativas terapéuticas, como el empleo de quimioterapia con temozolomida(1,3,6,7).
La sobrevida media se encuentra en el entorno a los 12 meses desde el diagnóstico(1).
Caso clínico 1
Paciente de 53 años, autoválida, doméstica. Buen nivel cognitivo hasta su ingreso. Hipertensión arterial (HTA), tratamiento con enalapril con buen control tensional. Tabaquista intensa. Bronquitis crónica. Niega episodios de broncoespasmo.
Ingresa en junio 2010 por síndrome confusional agudo de 48 horas, de evolución brusca y depresión de conciencia progresiva en apirexia, destacándose del examen al ingreso GS 6, sin rigidez de nuca, sin signos de focalidad neurológica. Requiere intubación orotraqueal (IOT) y asistencia respiratoria mecánica ingresando a centro de tratamiento intensivo (CTI). Se realiza tomografía computarizada (TC) de cráneo que informa pérdida de diferenciación entre sustancia blanca y gris con edema y efecto de masa leve. Punción lumbar (PL): citoquímico normal, bacteriológico sin desarrollo. Proteína C reactiva (PCR) de líquido cefalorraquídeo para citomegalovirus (CMV), herpes virus, varicela zóster negativo. RM informa lesiones isquémicas corticosubcorticales. Angiorresonancia sin alteraciones.
Presenta recuperación del coma, pero secuelas en lo cognitivo dadas por alteraciones de la memoria y del carácter, con repercusión en lo funcional e incapacidad para continuar trabajando.
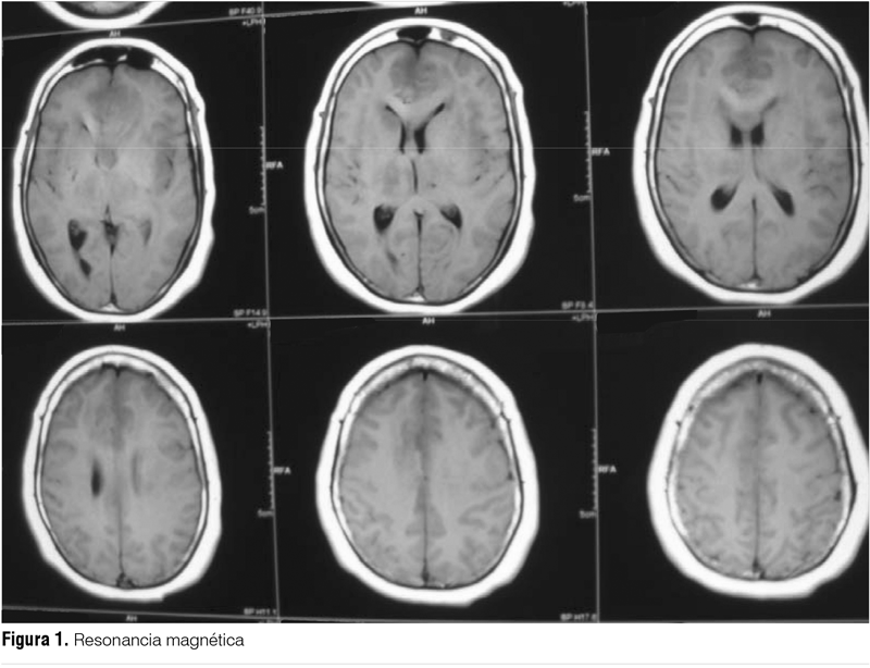
Reingresa al mes por cuadro similar requiriendo IOT por depresión de conciencia, realizándose nueva RM de cráneo que informa probable primitivo infiltrante del sistema nervioso central (SNC) (figura 1).
Se inicia tratamiento en base a dexametasona y difenilhidantoina. Se plantea biopsia estereotáxica que informa glioma de bajo grado, que por lo extenso de la lesión desde el punto de vista imagenólogico impresiona corresponder a la variante gliomatosis.
Se plantea tratamiento quimioterápico en base a temozolomida y radioterapia paliativa. Se inicia tratamiento de radioterapia holocraneana con mala respuesta evolucionando a coma y posterior fallecimiento.
Caso clínico 2
64 años, ama de casa. Autoválida. HTA, tratamiento con amlodipina. Comienza 20 días previos a la consulta con alteración en la marcha sin otros elementos neurológicos. El día de la consulta, traumatismo encéfalo craneano (TEC) sin pérdida de conocimiento, destacándose al examen aumento de base sustentación, danza tendinosa, con lateralización a derecha. Se realiza TC de cráneo que muestra borramiento de surcos de la convexidad alta a izquierda, probable hemorragia meníngea traumática de escasa cuantía. Se otorga alta a las 24 horas. A los cuatro días fiebre y síndrome confusional sin síndrome focal neurológico (SFN), destacando del examen físico: paciente vigil, tendencia al sueño, responde al llamado y cumple órdenes simples, temperatura 38ºC, no rigidez de nuca, pupilas mióticas con Babinski bilateral.
Paraclínica: TC de cráneo, borramiento de surcos en forma difusa sin imágenes de sangrado intracraneano ni meníngeo. Con planteo de encefalitis se realiza PL y se inicia tratamiento empírico en base a aciclovir y ceftrizona i/v. De la PL se destaca líquido claro, prot 0,26 g/l, glucosa 0,75/l. Pandy negativo. GB 1 GR 2. Bacteriológico negativo. PCR en LCR para virus neurotropos negativos. Citometría de flujo sin celularidad compatible con LNH. Fondo de ojo: edema papila bilateral. Analítica: GB 9.400 Hb 12 g/dl plaquetas 216.000. VES 93 fibrinógeno 603 TP 90%. Hemocultivos y urocultivo negativos. RM extensa área patológica expansiva e infiltrativa fronto-témporo parietal, bilateral, probable proceso infiltrativo difuso primario SNC.
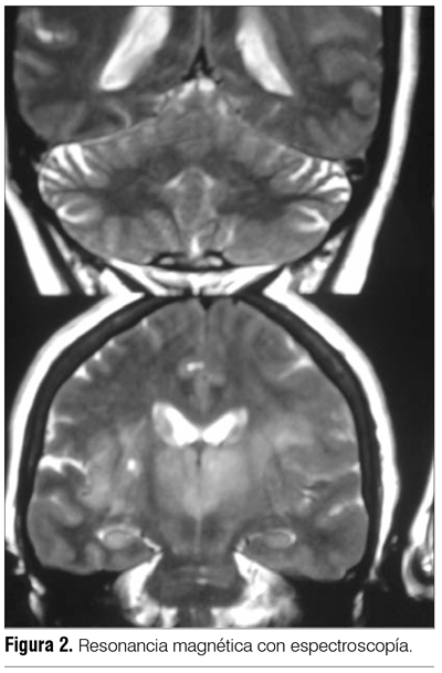
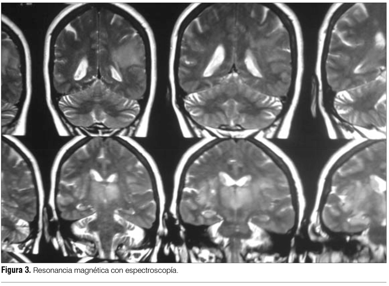
RM de cráneo con perfusión y espectroscopía informa extensa área infiltrativa a nivel de la sustancia blanca fronto-temporal derecha que cruza la línea media a nivel del cuerpo calloso e infiltra el lóbulo frontal izquierdo (figuras 2 y 3). Se afectan ambos tálamos con extensión al pedúnculo cerebral izquierdo hasta protuberancia y otra zona a nivel del carrefour témporo-parieto-occipital izquierdo. Secuencia de perfusión: realce de contraste heterogéneo a nivel frontal parasagital izquierdo. Secuencias de espectroscopía: zonas con disminución del N-acetil aspartato con pico de lípidos-lactatos. Estas características orientan a lesión tumoral primaria del SNC, probable gliomatosis cerebri. Biopsia esterotáxica informa proliferación tumoral maligna primitiva del SNC de estirpe glial de la serie astrocitaria, con moderada anisocariosis y anisocitosis compatible con gliomatosis cerebri. Presenta mala evolución clínica con depresión de conciencia, no iniciándose tratamiento oncoespecífico, se realizan medidas de confort. Fallece a los dos meses del diagnóstico.

Discusión
La Organización Mundial de la Salud (OMS) define la GC como un tumor neuroepitelial de origen desconocido que afecta al menos dos lóbulos, formado por células gliales atípicas de varios subtipos histológicos (astrocitos, oligodendrocitos o mixtos)(1-3).
Se analizan dos casos clínicos de GC de presentación clínica diferente y poco frecuente; el primer caso con depresión de conciencia y el segundo con alteración en la marcha.
La sintomatología más característica es el cambio de comportamiento, la cefalea o las crisis comiciales(1,2,3,8).
Ambos casos se presentaron en el sexo femenino, si bien está descrito que no existe una clara diferencia entre sexos, algunas publicaciones recogen una mayor incidencia en varones(1,2).
El diagnóstico diferencial de la GC es amplio y lo conforman, entre otros, procesos inflamatorios o infecciosos del SNC, vasculitis, enfermedades desmielinizantes, así como la leucoencefalopatía multifocal progresiva y el linfoma cerebral difuso, patologías ambas más frecuentes en pacientes inmunocomprometidos(1,8).
La tomografía de cráneo suele ser normal. En ambos casos el diagnóstico se realizó mediante RM, sabiendo que existe una disociación clínico-radiológica, de manera que la extensión de la lesión por neuroimagen es mayor que la repercusión clínica(1).
La RM con espectroscopía es usada recientemente para evaluar si estamos ante una enfermedad estable o progresiva, mostrando un incremento de los niveles de glicina/inositol, siendo de utilidad como factor pronóstico(3,9).
En los casos clínicos presentados se llegó al diagnóstico definitivo mediante la biopsia esterotáxica, siendo el gold standar para lograr el mismo(2,4,8,9).
Existen casos descritos en la literatura donde el diagnóstico se realiza en la evolución debido a una anatomía patológica no concluyente, con un diagnóstico definitivo post mórtem(10).
En el primer caso se inició tratamiento en base a radioterapia (RT) con pobre respuesta y fallecimiento antes del inicio de la quimioterapia (QT). En el segundo no se llegó a realizar tratamiento oncoespecífico dado que la paciente fallece. En ambos casos el pronóstico fue malo con una sobrevida menor a seis meses posterior al diagnóstico.
La QT con temozolamida, droga con moderada toxicidad, de administración oral capaz de penetrar la barrera hematoencefálica, demostró mayor sobrevida principalmente asociada a RT. Los efectos secundarios dependen de la dosis: neumonía Pneumocystis jiroveci, herpes zóster y hematoxicidad. Estudios recientes combinan temozolamida con antiangiogénicos como el bevacizumab asociado al irinotecan, mostrando una mayor sobrevida(11,12).
Conclusiones
La GC es una entidad poco frecuente cuya forma de presentación clínica es muy variada, lo que determina que sea una enfermedad de difícil diagnóstico. La RM es el método de elección, y el diagnóstico definitivo es anátomo-patológico. El tratamiento actualmente se basa en QT, siendo la temozolamida la droga de elección. El pronóstico es malo con una sobrevida promedio de 12 meses luego del diagnóstico.
Abstract
Introduction: gliomatosis cerebri (GC) is a neoepithelium neoplastic disease affecting at least two lobes. Its clinical presentation is non-specific, imagenology and pathological anatomy studies being the main diagnostic pillars. The incidence of GC is low and average age of presentation is in the forties and fifties years of age.
Method: The study presents two clinical cases; the first one of which manifests as depressed consciousness associated to alterations in behavior, the second one manifesting as unsteady gait. In both cases diagnosis was based on magnetic resonance and pathological anatomy.
Results: both patients evidenced a two month survival rate subsequent to diagnosis, and no treatment was applied given the bad evolution of the disease.
Conclusions: GC is a low incidence neoplastic disease with varied forms of clinical presentation. Its diagnosis is based on two main pillars: imagenology and pathological anatomy studies. Associating chemotherapy (temozolomide) to the classic treatment of radiotherapy seems to result in higher response rates, although its impact on survival is still poor. Prognosis is bad, and survival rates range from 6 to 12 months.
Resumo
Introdução: a gliomatose cerebral (GC) é uma neoplasia neuroepitelial que afeta ao menos dois lóbulos. A clínica não é específica, sendo a imagenologia e a anatomia patológica os pilares do diagnóstico. Tem baixa incidência apresentando-se em aproximadamente a metade dos casos na quarta e quinta décadas de vida.
Material e método: são apresentados dois casos clínicos – o primeiro se manifesta com depressão de consciência associada a alterações de conduta, e outro com instabilidade da marcha. Em ambos os casos o diagnóstico foi realizado utilizando ressonância magnética e anatomia patológica.
Resultados: os dois pacientes apresentaram uma sobrevida de dois meses posterior ao diagnóstico, não podendo receber tratamento devido à má evolução.
Conclusões: a GC é uma neoplasia com baixa incidência e formas clínicas variáveis cujo diagnóstico está baseado nos resultados da imagenologia e da anatomia patológica. A incorporação de quimioterapia (temozolamida) ao tratamento clássico baseado na radioterapia parece oferecer maiores taxas de resposta embora seu impacto na sobrevida continue sendo escasso. O prognóstico é ruim, com uma sobrevida de 6 a 12 meses.
Bibliografía
1.Gentil González M, López Jato C, Vázquez Tuñas LM, Fernández Pérez I, Carrasco Álvarez J, Carnero López B, et al. Gliomatosis Cerebri: diagnóstico y tratamiento con temozolomida, a propósito de un caso. Oncología (Barc.) 2007; 30(3):41-5.
2.Jiménez Caballero PE, Mollejo Villanueva M, Marsal Alonso C. Gliomatosis cerebri: evolución a glioblastoma multiforme. Neurología 2007; 22(6):395-8.
3.Rajz GG, Nass D, Talianski E, Pfeffer R, Spiegelmann R, Cohen ZR. Presentation patterns and outcome of gliomatosis cerebri. Oncol Lett 2012; 3(1):209-13.
4.Porta Etessam J, Berbel García A, Martínez Salio A, Balsalobre Aznar J, Madero S, Ramos González A, et al. Gliomatosis Cerebri: RM, SPECT y estudio patológico. Rev Neurol 1999; 29(3):287-8.
5.Narasimhaiah D, Miquel C, Verhamme E, Desclée P, Cosnard G, Godfraind C. IDH1 mutation, a genetic alteration associated with adult gliomatosis cerebri. Neuropathology 2012; 32(1):30-7.
6.Bruna J, Velasco R. Gliomatosis cerebri. Neurología 2010; 25(10):143-7.
7.Soffietti R, Rudà R, Laguzzi E, Buttolo A, Pace A, Carapella C, et al. Treatment of gliomatosis cerebri with temozolomide: a retrospective study of the AINO (Italian Association for Neuro- Oncology). J Clin Oncol 2007; 25(18 Suppl):2033.
8.Santos-Lasaosa S, López-García E, Ríos C, Espada-Oliván F, Iñíguez-Martínez C, Mostacero-Miguel E, et al. Gliomatosis cerebral: presentación de tres casos y revisión de la literatura. Rev Neurol 2002; 34(3):248-52.
9.Mena IX, Olivares DA, del Bruto OH, Leone-Stay G. Gliomatosis cerebri: clinico pathological and and neuroimaging characteristics, and the results of treatment with radiotherapy. Rev Neurol 2004; 31(2):101-6.
10.Dresemann G. Temozolomide in malignant glioma. Onco Targets Ther 2010; 3:139-46.
11.Preusser M, de Ribaupierre S, Wöhrer A, Erridge SC, Hegi M, Weller M, et al. Current concepts and management of glioblastoma. Ann Neurol 2011; 70(1):9-21.
12.Herrlinger U, Schaefer N, Steinbach PJ, Weyerbrock A, Hau P, Goldbrunner R, et al. Bevacizumab, irinotecan, and radiotherapy versus standard temozolomide and radiotherapy in newly diagnosed, MGMT-nonmethylated glioblastoma patients: first results from the randomized multicenter GLARIUS trial. J Clin Oncol 2013; 31 (suppl. Abstr): LBA2000.













