Servicios Personalizados
Revista
Articulo
Links relacionados
Compartir
Revista Médica del Uruguay
versión On-line ISSN 1688-0390
Rev. Méd. Urug. vol.28 no.3 Montevideo set. 2012
Primer caso en Uruguay de tuberculosis asociada a terapia con agentes biológicos: reporte de un caso clínico
Dres. Ana Inés Gruss *, Soledad Torres *, Juan Pablo Salisbury †, Eduardo Quintana †, Pablo Curbelo ‡
Instituto del Tórax, Cátedra de Neumología, Facultad de Medicina, Universidad de la República, Hospital Maciel. Uruguay.
* Residente de la Cátedra de Neumología. Hospital Maciel. Facultad de Medicina. Universidad de la República. Uruguay.
† Asistentes de la Cátedra de Neumología. Hospital Maciel. Facultad de Medicina. Universidad de la República. Uruguay.
‡ Profesor Agregado de la Cátedra de Neumología. Hospital Maciel. Facultad de Medicina. Universidad de la República. Uruguay.
Correspondencia: Dra. Ana Inés Gruss. Av. Brasil 2483, apto. 703, Montevideo, Uruguay. Correo electrónico: ainesgruss@hotmail.com
Recibido: 11/5//12. Aceptado: 17/8/12
Resumen
Las terapias biológicas con anticuerpos monoclonales antifactor de necrosis tumoral alfa (TNF-?) revolucionaron el tratamiento de la artritis reumatoide. Su uso implica un riesgo elevado para el desarrollo de tuberculosis pulmonar por lo que exige una evaluación exhaustiva, tanto al inicio del tratamiento como en el seguimiento del paciente, descartando infección latente o tuberculosis activa. Se presenta el primer caso clínico descripto en Uruguay de tuberculosis pulmonar asociada a terapia con agentes biológicos (adalimumab).
Palabras clave: ARTRITIS REUMATOIDE - complicaciones TERAPIA BIOLÓGICA - efectos adversos TUBERCULOSIS
Kewywords: ARTHRITIS, RHEUMATOID - complications BIOLOGICAL THERAPY- adverse effects TUBERCULOSIS
Introducción
Los anticuerpos monoclonales anti TNF-?, como son el adalimumab (ADA), infliximab (INF) y etanercept (ETA) representan un importante avance en el tratamiento de la artritis reumatoidea (AR). Múltiples complicaciones y efectos adversos vinculados a su uso han sido identificados. Dentro de ellos se destacan las infecciones por micobacterias, en particular tuberculosis (TB), y otras infecciones (bacterianas, virales o micóticas). A continuación se reporta el primer caso descripto en la literatura nacional de TB pulmonar en una paciente bajo tratamiento con ADA.
Caso clínico
Mujer de 55 años, con antecedentes personales de AR de cuatro años de evolución. Sin respuesta al tratamiento con metrotexate y prednisona por lo que se inicia tratamiento biológico con ADA.
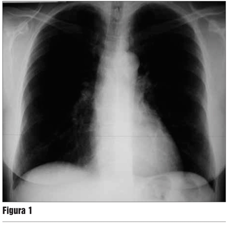
Se realizó screening para TB latente previo al inicio del tratamiento que incluyó: historia clínico-epidemiológica negativa, intradermorreacción con derivado proteico purificado (PPD) 00 mm y radiografía de tórax sin elementos sugestivos de TB activa ni secuelar (figura 1). Se interpreta como negativo para TB latente y no se realiza quimioprofilaxis.

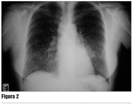
A los nueve meses es derivada al servicio de neumología por astenia, adinamia, sudoración profusa vespertina y fiebre de 39 ºC de temperatura axilar de 20 días de evolución. La evaluación diagnóstica mostró: viraje del PPD a 14 mm. Radiografía de tórax y tomografía computarizada de tórax de alta resolución (TC AR) con proceso intersticial micronodular difuso (figuras 2 y 3).

Fibrobroncoscopía (FBC) con lavado bronquioloalveolar (LBA). LBA: linfocitosis de 75%, directo para bacilo de Koch (BK) negativo. Biopsia transbrónquica: estudio anatomopatológico no constata granulomas tuberculosos. El cultivo en medio de Lowenstein Jensen (a las cuatro semanas) fue positivo para TB. Serología para VHI no reactiva.

Se realizó diagnóstico de TB pulmonar miliar.
El tratamiento incluyó suspensión de ADA e inicio de isoniazida (INH), rifampicina (RFP) y pirazinamida (PZ) a dosis recomendadas por la Comisión Honoraria para la Lucha Antituberculosa y Enfermedades Prevalentes (CHLA-EP) de nuestro país (1).
Discusión
La terapia con anti TNF-? aumenta el riesgo de reactivación de TB latente (2). La razón de este riesgo deriva de la importancia del TNF-? en la defensa del huésped frente a la infección por micobacterias. El TNF-? participa en el reclutamiento de células fagocíticas para la formación de granulomas, siendo responsable de la necrosis caseosa y la formación de cavernas. Su ausencia dificulta y retarda el diagnóstico, ya que la sensibilidad diagnóstica de las baciloscopías disminuye en las formas de TB pulmonar no cavitaria (3,4). Un déficit del TNF-? conduciría a la pérdida del equilibrio entre huésped y micobacteria, a favor de esta última (5). El riesgo de reactivación de TB latente es mayor en la terapia con INF y ADA que con ETA, siendo de 136-144/100.000 versus 39/100.000, respectivamente, en regiones con una incidencia de TB de 13,2/100.000 habitantes/año (6). Esta diferencia deriva del mecanismo de acción del agente biológico involucrado (7).
Los agentes biológicos no solo aumentan el riesgo de reactivación de TB latente sino que también podrían incrementar el riesgo de adquirir una nueva infección. Esto ocurre, especialmente, en pacientes provenientes de zonas endémicas de TB o sujetos en contacto con TB activa.
La forma de presentación más frecuente es la TB extrapulmonar hasta en 60% de los casos. La tercera parte de los casos debutan con formas diseminadas (6). Esto dificulta aún más el diagnóstico. En la tabla 1 se describe la frecuencia de las diferentes formas de presentación clínica de la TB según el agente biológico involucrado.
La latencia desde el inicio del tratamiento biológico a la instalación de los síntomas de TB es variable (tabla 2) (6).

Con el fin de disminuir el riesgo de desarrollar TB en pacientes bajo terapia con agentes biológicos, se han establecido normas de screening precoz. Estas incluyen: historia clínica y examen físico completos, PPD, radiografía de tórax y el IGRA (Interferon gama release assays). Los IGRA se usan en pocos países por su alto costo y escasa experiencia clínica; son técnicas diagnósticas basadas en la producción in vitro de INF-? por los linfocitos en respuesta a antígenos de Mycobacterium tuberculosis. Podría ser de especial utilidad en aquellas zonas con alta prevalencia de tests cutáneos falsos positivos debidos a la inmunización antituberculosa obligatoria (7).
Son criterios diagnósticos para TB latente: un PPD mayor o igual a 5 mm, test de IGRA positivo, PPD menor a 5 mm con elementos radiológicos sugestivos de secuela por TB pulmonar o noción de contacto epidemiológico.
Si el PPD es negativo se propone realizar otro entre una y tres semanas buscando el efecto booster (de refuerzo de la reacción a la tuberculina). Si el mismo es > 5 mm se interpreta como TB latente.
En aquellos sujetos con diagnóstico de TB latente está indicado realizar quimioprofilaxis con INH (6). La Sociedad de Reumatología española sugiere realizar quimioprofilaxis con INH 5 mg/kg/día durante seis a nueve meses. La CHLA-EP en Uruguay propone INH, a igual dosis, por seis meses. El tratamiento con biológicos puede comenzarse a los 30 días de iniciada la quimioprofilaxis (8). Se debe tener presente que si bien un plan de quimioprofilaxis disminuye el riesgo de desarrollar TB activa, la misma no lo elimina completamente.
El caso descripto anteriormente se trata de una paciente con varios factores de riesgo para desarrollar TB activa. Es portadora de AR bajo tratamiento con ADA, proveniente de zona endémica y no recibió quimioprofilaxis previa. Destacamos que la pesquisa de TB latente no incluyó la realización del booster en una paciente con factores que favorecen la anergia al PPD (corticoides e inmunosupresores). Como mencionamos anteriormente, el ADA es el anti TNF-? que asocia mayor riesgo de TB. La forma de presentación, TB miliar, se encuentra dentro de las manifestaciones más frecuentemente descriptas.
Una vez confirmada la TB activa se debe suspender la terapia con el agente biológico e iniciar tratamiento antituberculoso en base a pautas regionales establecidas de inmediato, como se realizó en este caso (9). La reintroducción del tratamiento biológico luego de tratada la TB es un punto debatido que debe ser individualizado en cada caso según riesgos-beneficios (6).
Conclusiones
Los agentes biológicos constituyen una alternativa terapéutica esencial en la AR, pero no están exentos de efectos secundarios. Confieren un riesgo aumentado tanto de reactivación de una infección latente por Mycobacterium tuberculosis como de adquirir una nueva infección. El riesgo es aun más elevado en países con alta prevalencia de tuberculosis. Se debe insistir en la exhaustiva evaluación de TB latente. Esta debe incluir un segundo PPD en pacientes con PPD inicial negativo, buscando el efecto booster. En caso de TB latente se debe jerarquizar la quimioprofilaxis específica previo al inicio de fármacos biológicos, la cual reduce el riesgo de reactivación de TB, no eliminándolo totalmente.
Abstract
Biologic therapies with anti-tumor necrosis factor alpha (TNF-?) monoclonal antibodies were a revolution in the treatment of rheumatoid arthritis. The use of antibodies implies a high risk of developing pulmonary tuberculosis and thus a thorough assessment is necessary, both upon the initiation of treatment and during patient follow up, to rule out a latent infection or active tuberculosis. The study presents the first clinical case of pulmonary tuberculosis associated with biologic therapy described in Uruguay (adalimumab).
Resumo
As terapias biológicas com anticorpos monoclonais antifator de necrose tumoral alfa (TNF-?) revolucionaram o tratamento da artrite reumatoide. Seu uso implica um risco elevado para o surgimento de tuberculose pulmonar razão pela qual é imprecindível a avaliação exaustiva, tanto no inicio do tratamento como durante o seguimento do paciente para descartar infecção latente ou tuberculose ativa. Apresentamos o primeiro caso clínico descrito no Uruguai de tuberculose pulmonar associada à terapia com agentes biológicos (adalimumab).
Bibliografía
1. Rodríguez De Marco J. Tratamiento de la tuberculosis. Montevideo: Comisión Honoraria de Lucha Antituberculosa y Enfermedades Prevalentes, 2012. Disponible en: http://www.chlaep.org.uy/descargas/publicaciones/tratamiento-de-la-tuberculosis.pdf. [Consulta: 30 de abril de 2012].
2. Keane J, Gershon S, Wise RP, Mirabile-Levens E, Kasznica J, Schwieterman WD, et al. Tuberculosis associated with infliximab, a tumor necrosis factor alpha-neutralizing agent. N Engl J Med 2001; 345(15):1098-104.
3. Farga V, Caminero JA. Tuberculosis. 3ª ed. Santiago de Chile: Mediterráneo, 2011. Capítulo 3; p. 27-58.
4. Farga V, Caminero JA. Tuberculosis. 3ª ed. Santiago de Chile: Mediterráneo, 2011. Capítulo 3; p. 109-38.
5. Algood HM, Lin PL, Flynn JL. Tumor necrosis factor and chemokine interactions in the formation and maintenance of granulomas in tuberculosis. Clin Infect Dis 2005; 41(Suppl 3):S189-93.
6. Dixon WG, Hyrich KL, Watson KD, Lunt M, Galloway J, Ustianowski A, et al. Drug-specific risk of tuberculosis in patients with rheumatoid arthritis treated with anti-TNF therapy: results from the British Society for Rheumatology Biologics Register (BSRBR). Ann Rheum Dis 2010; 69(3):522-8.
7. Beglinger C, Dudler J, Mottet C, Nicod L, Seibold F, Villiger PM, et al. Screening for tuberculosis infection before initiation of anti- TNF-? therapy. Swiss Med Wkly 2007; 137(43-44):620-2.
8. Carmona L, Gómez-Reino JJ, Rodríguez-Valverde V, Montero D, Pascual-Gómez E, Mola EM, et al. Effectiveness of recommendations to prevent reactivation of latent tuberculosis infection in patients treated with tumor necrosis factor antagonists. Arthritis Rheum 2005; 52(6):1766-72.
9. Blanco Pérez JJ, Aranda Torres A, Pego Reigosa JM, Núñez Delgado M, Temes Montes E, Guerra Vales JL. Tuberculosis pulmonar en relación con adalimumab: estudio de 3 casos. Arch Bronconeumol 2010; 46(4):203-5.













