SciELO - Scientific Electronic Library Online

 
vol.23 número4Factores psicosociales asociados a patologías laborales en médicos de nivel primario de atención en Guadalajara, MéxicoAdenitis mesentérica por Yersinia enterocolítica índice de autoresíndice de materiabúsqueda de artículos
Home Pagelista alfabética de revistas  

Servicios Personalizados

Revista

Articulo

Links relacionados

Compartir


Revista Médica del Uruguay

versión On-line ISSN 1688-0390

Rev. Méd. Urug. vol.23 no.4 Montevideo dic. 2007

 

Neumomediastino espontáneo asociado al consumo de drogas inhalantes

Dres. Patricia López Penza*, Martín Odriozola, Luis Ruso

 

Clínica Quirúrgica 3. Hospital Maciel. Facultad de Medicina. Universidad de la República. Montevideo, Uruguay

Resumen

 

El neumomediastino es una entidad descripta por Hamman en 1939 y cuya patogenia fue establecida por Macklin en 1944(1). Se define por la presencia de aire en el mediastino y el carácter de espontáneo se lo otorga la ausencia de vinculación con otras patologías asociadas.

Es una enfermedad benigna, infrecuente, autolimitada y que puede asociarse a neumotórax.

Este trabajo presenta dos casos de neumomediastino espontáneo, sin neumotórax, en los cuales se destaca la concomitancia de inhalación de cocaína y pasta base de cocaína.

Palabras clave: ENFISEMA MEDIASTÍNICO - inducido químicamente.

TRASTORNOS RELACIONADOS CON COCAÍNA - complicaciones.

Key words: MEDIASTINAL EMPHYSEMA - chemically induced.

COCAINE-RELATED DISORDERS - complications.

 

* Residente de Cirugía. Clínica Quirúrgica 3. Hospital Maciel. Facultad de Medicina. Universidad de la República. Uruguay.

† Prof. Adjunto de Clínica Quirúrgica 3. Hospital Maciel. Facultad de Medicina. Universidad de la República. Uruguay.

‡ Profesor Director de Clínica Quirúrgica 3. Hospital Maciel. Facultad de Medicina. Universidad de la República. Uruguay.

Correspondencia: Dra. Patricia López Penza.

Senaqué 3608. Montevideo, Uruguay.

Correo electrónico:crispen@adinet.com.uy

Recibido: 17/7/07.

Aceptado: 22/10/07.

 

 

 

Introducción

 

El neumomediastino es la presencia de aire en el mediastino; puede asociarse con neumotórax y se define como espontáneo por la ausencia de traumatismo, iatrogenia o de enfermedad pulmonar subyacente conocida(2).

Es una enfermedad benigna, predominante en el varón, autolimitada e idiopática en 25% de los casos, y cuya incidencia en la población adicta a drogas inhalatorias se estima entre 1/800 casos a 4/200 casos(2-4).

Su fisiopatología y su vinculación con drogas inhalatorias ha sido bien establecida en la literatura(3-5).

Casos clínicos

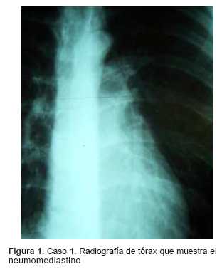
Se resumen las historias clínicas (tabla 1) de dos pacientes que ingresan al servicio de emergencia del Hospital Maciel, luego de inhalación de drogas, y consultan por dolor torácico y enfisema subcutáneo.

Se observa la existencia del neumomediatino en ambos estudios radiológicos de tórax (figuras1 y 2).

La tomografía axial computarizada (TAC) (figuras 3 y 4) confirma el neumomediastino y permite descartar otras lesiones asociadas, fundamentalmente la coexistencia de un neumotórax.

Al paciente correspondiente al caso 1 se le realizó una fibrobroncoscopia que fue normal.

Discusión

El neumomediastino espontáneo se manifiesta por opresión retroesternal, disnea (80%), disfagia y disfonía, aunque los síntomas referidos a la región cervical –el enfisema subcutáneo– son la presentación clínica más común(6).

Radiológicamente en todos los casos se evidencia aire en el mediastino, que en el estudio de frente se observa como un halo radio lúcido contorneando la silueta cardíaca, así como la presencia de aire disecando las vainas peribroncovasculares. En un enfoque de perfil se puede visualizar mayor claridad en el espacio retroesternal.

La presencia de aire entre el pericardio y el diafragma es conocido como el signo del diafragma continuo.

La tomografía permite descartar la coexistencia de una enfermedad pulmonar de base o un neumotórax asociado, o ambos,(7,8) que haya pasado desapercibido en la radiología previa.

La causa directa del neumomediastino espontáneo es desconocida, entre los posibles mecanismos fisiopatológicos se describen: esfuerzo, tos severa, vómitos, aspiración de cuerpo extraño. Exista o no una causa orgánica conocida, el mecanismo patogénico es el aumento súbito de la presión intraalveolar asociada a tos o espiración a glotis cerrada (maniobra de Valsalva). Cuando ésta excede la presión de la vascularización pulmonar se produce la ruptura alveolar en su base, dando salida a aire con resultado de enfisema intersticial que diseca las vainas peribroncovasculares y los septos interlobares. Por gradiente de presión el aire puede progresar hacia los hilios y producir neumomediastino y neumotórax o bien avanzar hacia la periferia pulmonar y producir bulas subpleurales y, eventualmente, neumotórax(9).

La ruptura de los alveolos directamente al espacio pleural puede provocar un neumotórax, sin evidencia de enfisema intersticial o neumomediastino. Finalmente, el aire puede extenderse hacia los tejidos subcutáneos de la pared torácica y del cuello: enfisema subcutáneo(2).

El uso de cocaína o sus derivados –pasta base– como droga inhalatoria ha ido en aumento en los últimos años, sustituyendo a otras(10).

La pasta base o base de coca es el producto más barato, contaminante y tóxico de la cocaína(10,11). Su uso por vía inhalatoria se ha relacionado con complicaciones cardiovasculares y pulmonares, como ser el neumomediastino espontáneo, neumotórax o ambos, neumoperitoneo(12). El neumomediastino asocia con mayor frecuencia a la inhalación de vapores de cocaína(12-14), aunque en porcentajes muy variables (2,8% y 75%) en la literatura(2,15).

La inhalación suele asociarse con esfuerzos prolongados, progresivos y profundos, seguidos de la maniobra de Valsalva(16), aunque se ha postulado el barotrauma como mecanismo favorecedor de la producción de neumomediastino(17), pudiendo coadyuvar el efecto vasoconstrictor de la cocaína sobre los vasos alveolares, lo que determina su necrosis, con posterior rotura alveolar y pasaje del aire al mediastino y no por un mecanismo de toxicidad directa.

Algunos autores sugieren como mecanismo secundario la existencia de una alteración del surfactante y la elasticidad pulmonar en estos pacientes(2,4).

Su evolución natural es a la resolución espontánea(18). El aire se reabsorbe gradualmente en el mediastino en un promedio de 3 a 15 días. Se puede realizar oxigenoterapia para favorecer la reabsorción del neumomediastino(3), pero el tratamiento habitual médico es el control clínico y radiológico evolutivo(6,16).

Las complicaciones son excepcionales. Se han citado voluminosos neumomediastinos con compresión venosa con descenso de la presión arterial sanguínea al generarse una caída del retorno venoso a las cavidades cardíacas derechas(3), pero el consumo continuado de cocaína puede ocasionar episodios recurrentes, empeorando gradualmente el pronóstico de estos pacientes(19).

Summary

Pneumomediastinum was described by Hamman in 1939, and it was Macklin who delineated the pathogenesis in 1944(1). It is a condition in which air is present in the mediastinum, and we say it is spontaneous when it is presented in the absence of other associated pathologies. It is a benign condition, infrequent, a self-limiting disease that may be associated with pneumothorax. In this study we present two cases of spontaneous pneumomediastinum, without pneumothorax, which highlight the concomitance of cocaine and cocaine base paste inhalation.

Résumé

Le pneumo médiastin est une entité décrite par Hamman en 1939 dont la pathogénie fut établie par Macklin en 1944. Il s’agit de la présence d’air au médiastin et il est considéré spontané par l’absence de liens avec d’autres pathologies associées.

C’est une maladie bénigne, rare, autolimitée, pouvant être associée au pneumo thorax.

On présente ici deux cas de pneumo médiastin sponta-né, sans pneumo thorax, où on remarque la concomitance d’inhalation de cocaïne et de pâte base de cocaïne.

Resumo

O pneumomediastino foi descrito em 1939 por Hamman e sua patogenia foi definida por Macklin em 1944(1). Caracteriza-se pela presença de ar no mediastino e se considera espontâneo quando não esta associado a outras patolo-gias.

É uma patologia benigna, pouco freqüente, auto-limitada e que pode estar associada a um pneumotórax.

Este trabalho apresenta dois casos de pneumomedias-tino espontâneo, sem pneumotórax, nos quais se observou a inalação concomitante de cocaína e pasta base de cocaína.

Bibliografía

1. Macklin KT, Macklin C. Malignant intertitial emphyma of lungs and mediastinum as an infant occult complications in many repiratory disease and other condictions. Medicina (Baltimore) 1944; 23: 281-358.

2. Pilar B, Arce J. Neumomediastino espontáneo: enfisema retofaringeo forma de presentación no habitual. Rev Chil Radiol 2005; 3(11): 116-21.

3. Park D, Pierson D. Pneumomediastinun and mediastinitis. In: Nadel JA, Mason RJ, Bradley VC, Murray JF, eds. Murray and Nadel´s textbook of respiratory medicine. Philadelphia: WB Saunders, 2000: 2095-214.

4. De La Cruz Morón I, Reyes Nuñez N, Rojas Box JL. Neumomediastino espontáneo en un consumidor de cocaina. Arch Bronconeumol 2000; 36(4): 231.

5. Rubio J, Bioque J, Feu N, Martínez Pacual, García F, Muñoz. Neumomediastino en un fumador libre de pasta de cocaina. Servicio de Neumologia del Hospital Universiatrio Reina Sofía, Córdoba. España. Obtenido de:http://www.neumosur.net/files/NS2000.12.4.A06.pdf(Consultado: 6/6/2007).

6. Gerazounis M, Athanassiadi K, Kalantazi N, Moustordas M. Spontaneous pneumomediastinum: a rare benign entity. J Thorac Cardivasc Surg 2003; 126(3): 774-6.

7. Panacek EA, Singer AJ, Sherman BW, Prescott A, Rutherford WF. Spontaneus pneumomediastinum: clinical and natural history. Ann Emerg Med 1992; 21(10): 1222-7.

8. Khouzam N. The cocaine user who looked like a bullfrog. Hosp Pract (Off Ed) 1986; 21(9): 157-8.

9. Androuny A, Magnusson P. Pneumopericardium from cocaine inhalation. N Engl J Med 1985; 313(1): 48-9.

10. Terán Prieto A. Todo lo que usted debe saber sobre las drogas estimulantes cocaína y anfetaminas: 70 p. Obtenido de:www.cajaespana.es/Images/LIBRO%20DROGAS% 20WEB_tcm25-14623.pdf(Consultado: 6/6/2007).

11. Pascual F, Torres M, Calafat A, eds. Monografía Cocaína. 2001: 250 p. Obtenido de:http://www.medicinainformacion.com/psq_adicciones_libros2. htm(Consultado: 6/6/2007).

12. Cocaína. Obtenido de:http:// www.tecnociencia.es/especiales/cocaina/introduccion.htm(Consultado: 6/6/2007).

13. Koullias GJ, Korkolis DP, Wang XJ, Hammond GL. Current assessment and management of spontaneous pneumomediastinum in 24 adult patients. Eur J Cardiothorac Surg 2004; 25(5): 852-5.

14. Rello J, Net A. Complicaciones asociadas al consumo de cocaina. Med Clin (Barc) 1988; 91(11): 435

15. Santiago Aguinaga IJ, Martínez-Bayarri M. Neumomediastino espontáneo: análisis de 16 casos. Emergencias 2000; 12: 321-5.

16. Aroesky DJ, Stanley RB, Crockett DM. Pneumomediastinum and cervical emphysema from inhalation of "free based" cocaine: report of three cases. Otolaryngol Head Neck Surg 1986; 94(3): 372-4.

17. Shesser R, Davis C, Edelstein S. Pneumomediastinun and pneumothorax after inhaling alkaloidal cocaine. Ann Emerg Med 1981; 10(4): 213-5.

18. Langwieler TE, Steffani KD, Bogoesvki DP, Mann O, Izbicki JR. Spontaneous pneumomediastinum. Ann Thorac Surg 2004; 78(2): 711-3

19. McMahon DJ. Spontaneus pneumomediastinum. Am J Surg 1976; 131(5): 550-1.

 

Creative Commons License Todo el contenido de esta revista, excepto dónde está identificado, está bajo una Licencia Creative Commons