Servicios Personalizados
Revista
Articulo
Links relacionados
Compartir
Revista Médica del Uruguay
versión On-line ISSN 1688-0390
Rev. Méd. Urug. vol.23 no.1 Montevideo mar. 2007
Reestablecimiento de la función endocrina de implantes ováricos heterotópicos no pediculizados
Dres. Francisco Coppola*, Jorge Martínez Torena†,
Álvaro Domínguez‡, Sara Parada§, Héctor Pérez Campos¶, Yashmin Afonzo††, Liliana de Dios‡‡, Rafael Aguirre§§
Clínica Ginecotocológica "C" . Prof. Dr. Justo Alonso.
Hospital de la Mujer "Dra. Paulina Luisi". Centro Hospitalario Pereira Rossell.
Facultad de Medicina. Universidad de la República Oriental del Uruguay. Ministerio de Salud Pública. Uruguay
Resumen
Introducción: el presente trabajo muestra los resultados de implantes ováricos heterotópicos no pediculizados como una alternativa de preservación de la función ovárica para pacientes que serán sometidas a radioterapia abdómino-pélvica. Se muestra la evolución de tres pacientes, dos portadoras de una cáncer de cuello uterino y una con un neuroependimoma sacro, en las cuales, previendo la gonadotoxicidad de la radioterapia pélvica, se les realizó ooforectomía bilateral y autoimplantes subcutáneos heterotópicos de tejido ovárico. En dos de ellas, además, se criopreservó tejido ovárico para el futuro.
Material y método: se aplicó el protocolo del "Programa de preservación de la función ovárica" que lleva adelante la Facultad de Medicina de la Universidad de la República Oriental del Uruguay (UDELAR) y el Ministerio de Salud Pública de Uruguay.
Resultados: en las tres pacientes se evidenció la revascularización del tejido trasplantado, la recuperación de la función hormonal y el crecimiento de folículos ováricos. Estas tres observaciones se suman a las muy escasas publicadas a nivel mundial.
Conclusiones: se evidenció la recuperación de la función endocrina ovárica, una mejoría de la calidad de vida (retroceso del síndrome climatérico) y el desarrollo folicular en el tejido trasplantado. Así pues el desarrollo de esta técnica, dentro de un protocolo, puede ofrecer una alternativa para un grupo seleccionado de pacientes en las que se pretenda mantener la función ovárica luego de la radioterapia y evitar las consecuencias de fallo ovárico prematuro.
Palabras clave: TRASPLANTE AUTOLOGO.
TRASPLANTE HETEROTOPICO.
OVARIOS - trasplantación.
OVARIOS - efectos de radiación.
PELVIS - efectos de radiación.
* Endocrinólogo y Ginecotocólogo. Prof. Adj. Clínica Ginecotocológica "C". Facultad de Medicina. Universidad de la República - Uruguay.
† Ginecotocólogo. Encargado de Cirugía Ginecológica Oncológica y Prof. Agdo. Clínica Ginecotocológica "C". Facultad de Medicina. Universidad de la República - Uruguay.
‡ Ginecotocólogo. Especialista en Reproducción Humana.
§ Médico Ecografista. Unidad de Ecografía Ginecológica. Centro Hospitalario Pereira Rossell. Uruguay.
¶ Director del Laboratorio de Criobiología del Banco Nacional de Órganos y Trasplantes. Uruguay.
†† Especialista en Oncología Pediátrica. Centro de Hematooncología Pediátrica. Centro Hospitalario Pereira Rossell. Uruguay.
‡‡ Residente Clínica Ginecotocológica "C". Facultad de Medicina. Universidad de la República. Uruguay
§§ Ginecotocólogo. Coordinador Docente del Programa Educación Médica Continua de la Clínica Ginecotocológica "C". Facultad de Medicina. Universidad de la República. Uruguay.
Correspondencia: Dr. Rafael Aguirre
Estomba 3495. CP 11700. Montevideo, Uruguay.
Correo electrónico: raguirre@chasque.apc.org
Recibido: 20/3/06.
Aceptado: 20/11/06.
Introducción
En el año 2005 se instrumentó en la Clínica Ginecotocológica "C" de la Facultad de Medicina el "Programa de preservación de la función ovárica", cuyo objetivo fue preservar la función ovárica en las pacientes jóvenes que requerían tratamiento por cáncer. En el marco del mismo, un subprograma enfoca el problema de las pacientes jóvenes con cáncer de cuello uterino. La inclusión de este grupo de mujeres en dicho programa se justifica dado que las metástasis ováricas en los estadios I y II(1,2) de este cáncer son muy infrecuentes, por lo cual se acepta no resecar, al menos, un ovario de forma de no producir una castración quirúrgica de graves consecuencias. Sin embargo, muchas pacientes requerirán radioterapia pélvica complementaria, en caso que alguno de los ganglios de la linfadenectomía pélvica de rutina resulte infiltrado. Otro grupo de pacientes son aquellas con tumores pélvicos no ginecológicos, en los cuales la resección ovárica no está indicada dentro de la cirugía oncológica, pero el tratamiento radioterápico pelviano es de rutina. De esta forma, en ambos casos, los ovarios se verán expuestos a la radioterapia coadyuvante.
Los ovarios son particularmente sensibles a la radioterapia, se ha establecido un modelo de gonadotoxicidad relacionado con la edad. La dosis esterilizante para 97,5% de las pacientes es de 20 Gy a los 10 años, 18 Gy a los 20 años, y 14 Gy a los 30 años(3).
Estos cálculos son hechos para las llamadas dosis "esterilizantes" (destrucción de 95% de los folículos primordiales), pero dosis menores igualmente afectan la reserva ovárica exponiendo a las pacientes a una "falla ovárica prematura" (FOP) diferida en el tiempo. De hecho, la dosis necesaria para destruir 50% de los folículos primordiales es menor a 2 Gy(4) (diez veces menor a la dosis "esterilizante"). Son particularmente riesgosas la radioterapia abdominal para-aórtica, la pélvica (incluida la inguinal-ilíaca), la espinal, la en Y invertida y la irradiación de cuerpo entero.
Para evitar la exposición de los ovarios a la radiación abdómino-pélvica se ha utilizado la transposición ovárica (con su pedículo) a un sitio alejado de la cavidad abdominal (por ejemplo, subdiafragmático) buscando así evitar el daño ovárico. Sin embargo, hoy sabemos que es inevitable la radiación del pedículo ovárico y el compromiso vascular resultante limita su efectividad(5). El seguimiento a largo plazo de los ovarios traspuestos dentro del abdomen demuestra una tasa de fracasos que alcanza a más de 80%(6).
Una nueva opción propuesta es el autotrasplante del ovario a una zona externa a la cavidad abdómino-pélvica: el trasplante heterotópico. Éste, en un número limitado de casos, se ha realizado conservando su pedículo (ovario entero)(7-10), pero estudios en animales han mostrado un alto índice de trombosis del mismo(11).
En el año 1997, Marconi(12) publicó una observación sobre una paciente en la que se le realizó la resección de un endometrioma ovárico por laparoscopia. Inadvertidamente algunos fragmentos ováricos quedaron en el tejido subcutáneo, algunos meses más tarde se comprobó un crecimiento subcutáneo en el período periovulatorio, cuyo análisis histológico demostró que se trataba de tejido ovárico con crecimiento folicular y neoangiogénesis.
A partir de esto se ha desarrollado la idea de otra alternativa: el autotrasplante de corteza ovárica en fresco(13). Los ensayos mostraron que se obtiene una buena respuesta endocrina y, en la mayoría de los casos, crecimiento y maduración ovocitaria(14,15). Recientemente, nuestro grupo publicó el primer caso de trasplante heterotópico de corteza ovárica en nuestro medio(16). El presente trabajo busca difundir el buen resultado endocrino de esta clase de trasplante en los tres primeros casos de este tipo incluidos en el programa.
Material y método
En el presente trabajo se comunica la evolución de tres casos clínicos, enmarcados en el protocolo del "Programa de preservación de la función ovárica", previamente aprobado por el Comité de Ética de la Facultad de Medicina de la Universidad de la República Oriental del Uruguay, y que se lleva adelante en el Hospital de la Mujer "Dra. Paulina Luisi" del Centro Hospitalario Pereira Rossell - Ministerio de Salud Pública. Previo a participar del mismo las pacientes recibieron una cartilla de explicación del procedimiento, y luego de un período de consulta y reflexión como lo establece nuestro protocolo, firmaron el correspondiente consentimiento informado.
Caso clínico 1
Paciente de 34 años a la que se le diagnosticó un carcinoma epidermoide de cuello uterino, estadio 2 A, es decir confinado al cérvix uterino, por lo tanto con indicación quirúrgica. La intervención se realizó el 24 de julio de 2005, mediante dos equipos.
Procedimiento
Equipo 1: se abordó la cavidad abdominal por una incisión mediana suprainfraumbilical, se procedió a realizar una linfadenectomía abdómino-pélvica bilateral, seguida de histerectomía radical con colpectomía superior. Se realizó la ooforectomía bilateral entregando ambos ovarios al equipo 2. Se dejó un drenaje aspirativo a través de la cúpula vaginal. Esta técnica quirúrgica (operación de Wertheim-Meigs), no presentó ningún tipo de complicaciones intra ni posoperatorias.
Equipo 2: simultáneamente a la cirugía oncológica, este equipo talló un bolsillo subcutáneo mediante una incisión longitudinal de 2 centímetros en la cara interna del tercio superior del brazo. Recibido el primer ovario se procedió a la decorticación bajo líquido de transporte RPMI 16-40 más albúmina humana a 10%, a efectos de preservar al máximo las condiciones de nutrición del tejido. El procedimiento, de unos minutos de duración, se realizó a temperatura ambiente y preparándose fragmentos de aproximadamente 5 mm por 3 mm. Estos fueron ubicados entre el celular y la aponeurosis, sin sutura. La pared se cerró por planos con Vicryl®. El otro ovario se envió mediante el mismo líquido de transporte y a 4 grados centígrados al Instituto Nacional de Donación y Trasplante de Células, Tejidos y Órganos a efectos de su criopreservación, demorando el traslado unos 15 minutos. Fragmentos de ambos ovarios se enviaron a estudio anatomopatológico mostrando la ausencia de enfermedad y un capital folicular acorde a la edad biológica. La evolución posoperatoria fue muy buena.
Caso clínico 2
Paciente de 41 años con diagnóstico de un carcinoma epidermoide de cuello estadio 1 B1. Intervenida quirúrgicamente el 14 de diciembre de 2004.
Procedimiento
Fue exactamente igual al caso anterior (operación de Wertheim-Meigs) a excepción de que un ovario íntegro, se envió a anatomía patológica y no se realizó criopreservación en este caso. La evolución posoperatoria fue muy buena.
Caso clínico 3
Paciente de 13 años con ciclos menstruales y desarrollo puberal normal, portadora de un neuro ependimoma de columna lumbosacra. El mismo presentó una recidiva que obligó a una nueva cirugía y a complementar el tratamiento con radioterapia pélvica y lumbar, que por las dosis programadas se estimó muy gonadotóxica. Tratándose de una paciente de 13 años se consideró muy importante intentar el mantenimiento de una función hormonal fisiológica.
Procedimiento
Dada la casi nula probabilidad de evitar el daño ovárico secundario a la radioterapia con el abordaje tradicional, se resolvió, bajo el protocolo establecido, proponer la criopreservación de un ovario y el trasplante heterotópico del otro. La extracción de los ovarios se realizó sin dificultades técnicas mediante fibrolaparoscopia. El procedimiento se realizó el 14 de setiembre de 2005, siguiendo la criopreservación y el implante, idénticos pasos que el caso número 1.
Seguimiento
El protocolo prevé un seguimiento estructural por medio de ecografía Power-Doppler (sonda de 7,5 - 10 MHz con frecuencia de repetición del pulso ajustada a 0,25 o 0,3 Mhz) y un seguimiento funcional con dosificación de hormona folículo estimulante (FSH) y estradiol (E2).
Resultados
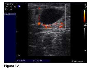
En todas las pacientes la neovascularización se objetivó precozmente mediante la ecografía. En las imágenes obtenidas (figuras 1A, 2A y 3A), se observan como zonas coloreadas en rojo y naranja. Desde el punto de vista endocrino la evolución se presenta en las gráficas contenidas en las figuras (figura 1B: caso 1, figura 2B: caso 2, y figura 3B: caso 3). Se destaca que todas las pacientes presentaban valores normales de E2 y FSH en el preoperatorio.
El primer caso clínico (figura 1) presentó valores de castración (FSH alta y E2 bajo) en el primer mes posoperatorio, al segundo mes se elevó el E2 persistiendo alta la FSH. Al cuarto mes se recuperó el patrón normal de FSH y E2. Es en ese momento que mediante ecografía se reconocieron cuatro folículos en maduración en el implante subcutáneo.
En el segundo caso (figura 2) se conservan valores de castración aún a los dos meses del posoperatorio. La elevación del E2 con FSH alta también ocurre, pero más tarde, a los cuatro meses, y el reestablecimiento del patrón normal con aparición de folículos madurando ocurre a los ocho meses.
La tercera paciente (figura 3) presentó valores de castración (FSH: 100 mU/ml) que persistieron durante dos meses, al tercer mes aumentó el estradiol y bajó la FSH, allí aparecen los primeros folículos. Al cuarto mes se restablece la función normal acompañada de folículos de mayor tamaño y se restablecieron ciclos menstruales normales.
Las tres pacientes presentaron en los primeros dos meses bochornos y síntomas climatéricos que cedieron espontáneamente, recuperando desde ese punto de vista una buena calidad de vida.
Discusión
En estos tres casos fue posible sacar conclusiones de los autoinjertos de corteza ovárica a mediano plazo. A diferencia del caso publicado recientemente por nuestro grupo, en el que se mantuvo un ovario intraabdominal translocado(13), en estos casos la evolución depende exclusivamente de los injertos heterotópicos. La ecografía Power Doppler evidencia la enorme capacidad de neo-vascularización que tiene el tejido ovárico. Se trata de un evento precoz, que ya puede observarse dentro de la primera semana. Desde el punto de vista endocrinológico las pacientes, partiendo de una función normal, y luego de operadas, atraviesan un período de "castración" con una FSH muy elevada, 50 mU/ml (paciente 1), 100 mU/ml (paciente 2) y 110 mU/ml (paciente 3), con E2 muy bajo (menor de 10 pg/ml en todas). El primer signo de recuperación es un ascenso del E2 sanguíneo que ocurre al segundo mes en la paciente 1, al cuarto mes en la paciente 2, y al tercer mes en la paciente 3. Finalmente, se produce un descenso de la FSH a valores próximos a la normalidad. La reducción de la FSH está señalando la reestructuración de la granulosa folicular capaz de secretar inhibina, que realiza un "feed back" negativo a nivel hipofisiario con la FSH. En las tres se desarrollaron folículos en maduración, que coincidió con la normalización del estradiol.
Tasa de sobrevivida folicular postrasplante
El trasplante heterotópico de tejido ovárico, al no tener los implantes anastomosis vascular, se trata de un procedimiento que implica cierto grado de isquemia. La resistencia de los ovarios a esta isquemia depende en gran parte de la edad de la paciente. El factor edad está relacionado con la concentración de folículos primordiales, por lo que se supone que aquellos ovarios con mayor concentración folicular podrán resistir mejor la isquemia. El porcentaje de reducción folicular es más crítico en una paciente con menor concentración previa.
En estudios en animales (ratas y ovejas) se ha observado que la tasa de pérdida folicular que ocurre en la latencia entre el implante y la revascularización es de 30% (si el tejido es en fresco), pudiendo llegar a 40% si el tejido ovárico fue previamente criopreservado (en ratas)(17), y algo mayor (50%) en el caso de las ovejas (cuyos ovarios son más parecidos a los del ser humano). Esta isquemia daña directamente a los folículos o al estroma ovárico que los rodea, con la secundaria e indirecta afectación folicular(18). Las líneas de investigación que muestren cómo mejorar este proceso angiogénico redundarán en una reducción de la pérdida folicular al momento del implante(19,20).
Fertilidad a partir del tejido ovárico heterotópico
Recientemente se han logrado embarazos a partir de tejido ovárico criopreservado con posterior reimplante en el peritoneo pélvico(21), y también en casos de tejido trasplantado sobre la corteza del otro ovario (siendo este no funcionante como resultado del uso de quimioterapia: trasplantes ortotópicos)(22). Los fragmentos ováricos injertados en forma heterotópica no están, supuestamente, en las mismas condiciones fisiológicas previas. Es por ello que cabe preguntarse si los folículos que crecen a ese nivel, como los que observamos en nuestras pacientes, son capaces de ser fecundados y progresar a la etapa embrionaria en forma normal. En los casos de nuestras pacientes, en dos de ellas se les resecó el útero, pero la tercera es una paciente muy joven y preserva útero y trompas, por lo cual la posibilidad teórica de reproducción es real. En las otras pacientes, en el futuro, la posibilidad de un útero sustituto puede hace replantear el tema reproductivo como un camino a seguir.
En experiencias con animales se han logrado aspirar y aun fertilizar folículos in vitro, que luego de mostrar éxito en animales inferiores tuvo su corolario con el logro de un embarazo en un primate a partir de un implante subcutáneo(23). En humanos esto no ha ocurrido, pero Oktay, en una paciente, logró aspirar 20 ovocitos, obteniendo cuatro embriones sin lograr embarazos al momento de la transferencia(24). Este autor ha señalado que estos folículos maduran con un tamaño menor que los implantes ortotópicos(25), la maduración se da a los 16-17 mm en ovarios ortotópicos y en estos casos ocurre a los 10-11 mm.
Duración de los injertos
En ovejas se ha demostrado la larga duración de los implantes criopreservados y luego trasplantados(26). En humanos hay muy escasas observaciones al respecto. En los casos de Callejo(15) la duración de la función endocrina de estos implantes fue breve, pero se trataba de pacientes ya próximas a la edad de la menopausia (entre 46 y 49 años)(15). Lo cierto es que cuando se realizó en pacientes más jóvenes de 35 años(27) y 37 años(14), la duración se extendió a más de dos años, con ovulación espontánea en uno de los casos. Sin duda que la duración dependerá directamente de la edad de la paciente.
La tabla 1 resume los casos publicados con el sitio del implante y el resultado obtenido(12, 14, 15, 25, 28)
Conclusiones
Nuestras observaciones se suman a las de un número muy limitado de casos a nivel mundial. A partir de nuestras pacientes llegamos a las siguientes conclusiones:
– Los implantes de tejido ovárico subcutáneos fueron capaces de revascularizarse espontáneamente en los primeros días.
– Una vez revascularizados recuperaron la función ovárica primero, aumentando la secreción de E2 y más tarde reduciendo la FSH en respuesta a la retroalimentación negativa.
– En la paciente de 41 años los reimplantes llevan ocho meses de funcionamiento, y en las de 34 y 13, llevan cuatro meses. Se continúa el seguimiento para conocer la evolución a largo plazo.
– Las tres pacientes luego de un período de síndrome climatérico transitorio están asintomáticas con buena calidad de vida.
– Las pacientes mostraron crecimiento folicular que coincide con el aumento del E2.
– Este procedimiento, aplicable bajo condiciones de protocolo, permite acumular información sobre el implante subcutáneo heterotópico. Este puede ser una alternativa a considerar en casos de extensa radioterapia abdómino-pélvica por enfermedad maligna, aunque también podría plantearse en casos de afección benigna como ser, por ejemplo, una extensa endometriosis ovárica bilateral.
– Es necesario aumentar la experiencia antes de proceder a reimplantar el tejido ovárico actualmente criopreservado, de forma de optimizar sus resultados funcionales.
– La recuperación de la fertilidad a partir de implantes heterotópicos es más alejada y no debe prometerse con ese fin, aunque el avance en el conocimiento no hace imposible este hecho para el futuro.
En suma, este procedimiento puede ser una alternativa para pacientes que serán sometidas a radioterapia abdómino-pélvica que por su extensión y dosis afectarán casi con seguridad el funcionamiento ovárico normal.
Summary
Background: the study shows the results of heterotopic ovarian transplant as an alternative to reestablish ovarian function for women who should undergo pelvic and abdominal radiotherapy. Evolution of three women, two carriers of cervical cancer and one carrier of sacral ependymoma with neurological manifestations is showed. In order to protect against gonadotixicity of pelvic radiotherapy, women underwent bilateral oophorectomy and subcutaneous heterotopic ovarian autotransplants. In two of them, ovarian tissue was cryopreserved.
Methods: the protocol Preservation of the ovarian function Program was used. The protocol was carried out by the Faculty of Medicine (Universidad de la República Oriental del Uruguay) and the Ministry of Public Health of Uruguay.
Results: all patients showed revascularization of the transplanted tissue, hormonal function recovery and ovarian follicular growth. These three observations are now added to international literature.
Conclusions: recovery of ovarian endocrine function, better quality of life (climacteric syndrome relief) and ovarian follicular growth were proved. The development of this technique may offer an alternative for women who undergo radiotherapy and ovarian failure consequences are expected.
Résumé
Introduction: ce travail montre les résultats de greffes ovariennes hétérotopiques non pédiculées en tant qu’alternative de préservation de la fonction ovarienne pour des patientes qui devront subir la radiothérapie abdomino-pelvienne. On montre l’évolution de trois patientes, deux porteuses d’un cancer de col de l’utérus et l’autre, souffrant d’un neuro- épendynome du sacrum, chez qui, prévoyant la gonado-toxicité de la radiothérapie pelvienne, on a réalisé une oosphorectomie bilatérale et des autogreffes sous cutanées hétérotopiques de tissu ovarien. Par ailleurs, pour deux d’entre elles on a cryopréservé du tissu ovarien pour l’avenir.
Matériel et méthode: on a appliqué le protocole du "Programme de préservation de la fonction ovarienne" qui est mené par la Faculté de Médecine de la Universidad de la República Oriental del Uruguay (UDELAR) et le Ministère de la Santé Publique de l’Uruguay.
Résultats: chez les trois patientes, on a remarqué la revascularisation du tissu greffé, la récupération de la fonction hormonale et la croissance de follicules ovariens. Ces trois observations s’ajoutent aux rares autres publiées au niveau mondial.
Conclusions: on a remarqué la récupération de la fonction endocrine ovarienne, une amélioration de la qualité de vie (recul du syndrome climatérique) et le développement folliculaire dans le tissu greffé. Ainsi, le développement de cette technique, à l’intérieur d’un protocole, peut offrir une alternative à un groupe sélec-tionné de patientes chez lesquelles on prétendrait maintenir la fonction ovarienne après la radiothérapie et éviter les conséquences de failles ovariennes prématurées.
Resumo
Introdução: este trabalho apresenta os resultados dos implantes ováricos heterotópicos não pediculizados como alternativa para a preservação da função ovárica em pacientes que serão submetidas a radioterapia abdômino-pélvica. Descreve-se a evolução de três pacientes, duas portadoras de um câncer de colo de útero e uma com um neuroependimoma sacro, nas quais, considerando a gonadotoxicidade da radioterapia pélvica, foi realizada ooforectomía bilateral e auto-implantes subcutâneos heterotópicos de tecido ovárico. Em duas pacientes também se criopreservou tecido ovárico para o futuro.
Material e método: utilizou-se o protocolo do "Programa de preservação da função ovárica" utilizado pela Facultade de Medicina da Universidade da República Oriental do Uruguai (UDELAR) e o Ministério de Saúde Pública do Uruguai.
Resultados: nas três pacientes observou-se a revascu-larização do tecido transplantado, a recuperação da função hormonal e o crescimento de folículos ováricos. Estas três observaçðes agregam-se às muito poucas publicadas no mundo.
Conclusðes: observou-se a recuperação da função endócrina ovárica, uma melhoria da qualidade de vida (retrocesso da síndrome climatérica) e o desenvolvimento folicular no tecido transplantado. O desenvovimento desta técnica, de acordo com um protocolo, pode oferecer uma alternativa para um grupo selecionado de pacientes nas quais se queira manter a função ovárica depois de radioterapia e evitar as consequências de uma falha ovárica prematura.
Bibliografía
1. Sutton G, Bundy B, Delgado G, Sevin B, Creasman W, Major F, et al. Ovarian metastases in stage IB carcinoma of the cervix: a Gyneacologic Oncology Group Study. Am J Obstet Gynecol 1992; 166 (1Pt1): 50-3.
2. Wu HS, Yen MS, Lai CR, Ng HT. Ovarian metastasis from cervical carcinoma. Int J Gynaecol Obstet 1997; 57(2): 173-8.
3. Wallace W, Thomson A, Saran F, Kelsey T. Predicting age of ovarian failure after radiation to a field that includes the ovaries. Int J Radiat Oncol Biol Phys 2005; 62(3): 738-44.
4. Wallace W, Thomson A, Kelsey T. The radiosensitivity of the human oocyte. Hum Reprod 2003; 18(1): 117-21.
5. Buekers TE, Anderson B, Sorosky JL, Buller RE. Ovarian function after surgical treatment of cancer. Gynecol Oncol 2001; 80: 85-8.
6. Anderson B, LaPolla J, Turner D, Chapman G, Buller R. Ovarian transposition in cervical cancer. Gynecol Oncol 1993; 49(2): 206-14.
7. Hilders CG, Baransky AG, Peters L, Ramkhelawan A, Trimbos JB. Susccessful human auto-transplantation to the upper arm. Cancer 2004; 101(12): 2771-8.
8. Leporrier M, Von Theolbald P, Roffe JL, Muller G. A new technique to protect ovarian function before pelvic irradiation: heterotopical ovarian autotransplantation. Cancer 1987; 60: 2201-4.
9. Yin H, Wang X, Kim SS, Chen H, Tan SL, Gosden RG. Transplantation of intact rat gonads using vascular anastomosis: effects of cryopreservation, ischaemia and genotype. Hum Reprod 2003; 18:1165-72.
10. Wang X, Chen H, Yin H, Kim SS, Lin Tan S, Gosden RG. Fertility after intact ovary transplantation. Nature 2002; 415: 385.
11. Jeremias E, Bedaiwy MA, Gurunluoglu R, Biscotti CV, Siemionow M, Falcone T. Novel surgical technique for ovarian transplantation. Fertil Steril 2001; 76 (Suppl 3): S43.
12. Marconi G, Quintana R, Rueda-Leverone NG, Vighi, S. Accidental ovarian autograft after a laparoscopic surgery: case report. Fertil Steril 1997; 68: 364-6.
13. Oktay K, Buyuk E, Rosenwaks Z, Rucinski J. A technique for transplantation of ovarian cortical strips to the forearm. Fertil Steril 2003; 80:193-8.
14. Oktay K, Economos K, Kan M, Rucinski J, Veeck L, Rosenwaks Z. Endocrine function and oocyte retrieval after autologous transplantation of ovarian cortical stips to the forearm. JAMA 2001; 286:1490-3.
15. Callejo J, Salvador C, Miralles A, Vilaseca S, Lailla JM, Balasch J. Long-term ovarian function evaluation after autografting by implantation with fresh and frozen-thawed human ovarian tissue. J Clin Endocrinol Metab 2001; 86(9): 4489-94.
16. Cóppola F, Martínez J, Domínguez A, Pérez Campos H, Regules E, Nozar F, et al. Trasplante heterotópico de corteza ovárica en paciente joven con cáncer de cuello uterino. Rev Med Urug 2005; 21: 327-32.
17. Robert Kuo-Kuang Lee. Blastocyst Development alter Cryopreservation and SubcutaneousTransplantation of Mouse Ovarian Tissue. Journal of Assisted Reproduction and Genetics 2005; 22(2): 95-101.
18. Kim SS, Yang HW, Kang HG, Lee HH, Lee HC, Ko DS, et al. Quantitative assessment of ischemic tissue damage in ovarian cortical tissue with or without antioxidant (ascorbic acid) treatment. Fertil Stertil 2004; 82: 679-85.
19. Cóppola F, Domínguez A, Martínez Torena J. La neoangiogénesis de los implantes ováricos. In: Actualidad y controversias en ginecología. Barcelona: Glosa, 2005: 11-4. v.5
20. Dissen GA, Lara HE, Fahrenbach WH, Costa ME, Ojeda SR. Immature rat ovaries become revascularized rapidly after autotransplantation and show a gonadotropin-dependent increase in angiogenic factor gene expression. Endocrinology 1994; 134: 1146-54.
21. Donnez J, Dolmans MM, Demylle D, Jadoul P, Pirard C, Squifflet J, et al. Livebirth after orthotopic transplantation of cryopreserved ovarian tissue. Lancet 2004; 364(9443): 1405-10.
22. Meirow D, Levron J, Eldar-Geva T, Hardan I, Fridman E, Zalel Y, et al. Pregnancy after transplantation of cryopreserved ovarian tissue in a patient with ovarian failure after chemotherapy. N Engl J Med 2005; 353(3): 318-21.
23. Lee DM, Yeoman RR, Battaglia DE, Stouffer RL, Zelinski-Wooten MB, Fanton JW, et al. Live birth after ovarian tissue transplant. Nature 2004; 428: 137-8.
24. Oktay K, Buyuk E, Veeck L, Zaninovic N, Xu K, Takeuchi T, et al. Embryo development after heterotopic transplantation of cryopreserved ovarian tissue. Lancet 2004; 363: 837-40.
25. Oktay K, Karlikaya G. Ovarian function after transplantation of frozen, banked autologous ovarian tissue. N Engl J Med 2000; 342: 1919.
26. Baird D, Webb R, Campbell B, Harkness L, Gosden R. Long-term ovarian function in sheep after ovariectomy and transplantation of autografts stored at-196 C. Endocrinology 1999; 140(1): 462-71.
27. Oktay K, Aydin BA, Economos K, Rucinski J, Kan MT, Veeck L, et al. Restoration of ovarian function after autologous transplantation of ovarian tissue in the forearm. Fertil Steril 2000; 74 (Suppl 3): S79.
28. Kim SS, Hwang IT, Lee HC. Heterotopic autotransplantation of cryobanked human ovarian tissue as a strategy to restore ovarian function. Fertil Steril 2004; 82(4): 930-2.



















