Services on Demand
Journal
Article
Related links
Share
Revista Médica del Uruguay
On-line version ISSN 1688-0390
Rev. Méd. Urug. vol.22 no.3 Montevideo Sept. 2006
Leptospirosis con compromiso respiratorio predominante. Presentación de cinco casos clínicos
Dras. Mariela Breijo*, Luisa Servioli†, Ana De León‡,
Ximena Mencía‡, María Piñeyrúa‡, Naomi Zimalkovski‡
Clínica Médica 1. Facultad de Medicina de la Universidad de la República.
Hospital Maciel. Montevideo-Uruguay
Resumen
La leptospirosis es una infección generalizada aguda reemergente en Uruguay y en el Cono Sur. El compromiso respiratorio es frecuente pero generalmente leve y subdiagnosticado. Es inhabitual como inicio de la enfermedad. En los últimos años se ha informado un cambio en la presentación clínica, con mayor incidencia de formas graves anictéricas, sin disfunción renal y con compromiso pulmonar predominante. Se describen cinco casos clínicos de leptospirosis "primariamente" pulmonares, asistidos en el Hospital Maciel en el año 2005. Se trata de hombres jóvenes, con ocupaciones de riesgo y contacto con roedores. Clínicamente se presentan con un cuadro respiratorio de evolución aguda con fiebre, tos con expectoración hemoptoica e insuficiencia respiratoria (PO2 promedial de 70 mmHg, SaO2 94%), destacándose como síntomas extrapulmonares: mialgias intensas, cefaleas, escalofríos, dolor ocular e hiperemia conjuntival. El examen pleuropulmonar puede ser normal o presentar signología bilateral y difusa. La mayoría de estos casos cursan sin ictericia y ningún paciente presenta insuficiencia renal grave. Radiológicamente predomina el patrón alveolar bilateral y difuso compatible con hemorragia pulmonar. El diagnóstico de leptospirosis se basa en el alto índice de sospecha y contexto clínico-epidemiológico compatible y se confirma con pruebas serológicas. En todos los paciente se realizó tratamiento de soporte de la función respiratoria y antibioticoterapia empírica precoz con antibióticos betalactámicos, con buena evolución clínico-radiológica.
Palabras clave: Leptospirosis - diagnóstico.
Leptospirosis - complicaciones.
Leptospirosis - etiología.
TRASTORNOS RESPIRATORIOS.
INSUFICIENCIA RESPIRATORIA - etiología.
* Prof. Adjunto Medicina Interna.
Correspondencia: Dra. Luisa F. Servioli
Ambrosio Velazco 1570 bis. Montevideo, Uruguay.
E-mail: carlosiluisa@hotmail.com
Recibido: 8/7/05.
Enviado para corrección: 20/3/06.
Aceptado: 15/8/06.
Introducción
La leptospirosis es una zoonosis de distribución mundial causada por espiroquetas patógenas del género Leptospira. Constituye una entidad reemergente en Uruguay y en países del Cono Sur(1,2). Algunas características comunes de la región, como el aumento de la pobreza y del hacinamiento, los cambios demográficos y en la urbanización (migración rural a la capital con formación de asentamientos), y los cambios climáticos (inundaciones, intensas lluvias) explican en parte el incremento en la incidencia(2). En Uruguay ha aumentado el número de casos (mayor en Paysandú, Colonia, Soriano, Florida y Río Negro) con disminución de la letalidad desde 1998(2-4) (figura 1).
El compromiso pulmonar en la leptospirosis es frecuente pero generalmente leve y subdiagnosticado(5-7). Es infrecuente como forma de presentación de la enfermedad. En Uruguay la prevalencia varía en las distintas series entre 14% a 40%(5,8).
En los últimos años se ha verificado un cambio en el patrón clínico de la leptospirosis severa, con mayor incidencia de formas graves anictéricas, con disfunción renal leve o ausente y presentación clínica a predominio respiratorio.
A continuación se describen cinco pacientes con leptospirosis de presentación respiratoria predominante, asistidos en el Hospital Maciel entre los meses de enero y abril de 2005.
Casuística
Caso 1. Hombre, 69 años, procedente de zona suburbana. Contacto con roedores. Vivienda y terreno inundables. Consultó por fiebre, cefaleas, mialgias intensas y disnea progresiva de siete días de evolución. Al examen presentó polipnea con estertores crepitantes en tercio inferior de ambos campos pulmonares. Abdomen: hepatomegalia. Radiografía de tórax: opacidad inhomogénea, bilateral y difusa a predominio inferior con macronódulos en bases (figura 2). Gasometría arterial con máscara de flujo libre: pH=7,38, pCO2=30 mmHg, pO2=68 mmHg, saturación (Sa) de hemoglobina con oxígeno = 80%. Exceso de base (BE)= -1 mmol/l, bicarbonato (–HCO3)=23 mmol/L. Se diagnosticó neumonía aguda comunitaria grave, ingresando a cuidados intensivos donde requirió asistencia respiratoria mecánica (ARM) invasiva por 48 horas. Hemograma: glóbulos blancos 18.700/mm3, hemoglobina 9,5 g/dL, plaquetas 320.000/mm3. Velocidad de eritrosedimentación (VES) 99 mm. Azoemia = 0,56 g/L, creatininemia = 0,97 mg/dL. Funcional hepático: bilirrubina total (BT) 1,63 mg/dL, bilirrubina directa 0,49 mg/dL, transaminasa glutámico oxalacética (TGO) 63 mU/mL, transaminasa glutámico pirúvica (TGP) 110 mU/mL. Serología para leptospira primera muestra: inmunocromatografía IgM (inmunoglobulina M) positiva.
Caso 2. Hombre, 30 años, procedente de zona suburbana, hurgador. Contacto con roedores. Consultó por fiebre, mialgias espontáneas y a la palpación de miembros inferiores y región lumbar, dolor ocular con hiperemia conjuntival, tos y expectoración hemoptoica, de 15 días de evolución. El examen pleuropulmonar fue normal. Abdomen: hepatoesplenomegalia. Radiografía de tórax: opacidad inhomogénea de aspecto exudativo, bilateral y difusa, con tendencia a confluir. Intersticio con reticulado fino (figura 3). Gasometría arterial, ventilando al aire: pH=7,37, pCO2=40,7 mmHg, pO2=73,8 mmHg, SaO2=94,5%, –HCO3=22,8 mmol/L, BE –1,9 mmol/L. Hemograma: glóbulos blancos 12.400/mm3, hemoglobina 11g/dL, plaquetas 98.000/mm3. Azoemia=0,67g/L, creatininemia=0,98 mg/dL. Funcional hepático: bilirrubina total 1,10 mg/dL, bilirrubina directa 0,18 mg/dL, TGO 37 mU/mL, TGP 40 mU/mL. Serología para leptospira, test de microaglutinación (MAT): títulos primera muestra 1/100, segunda muestra 1/3.200. Serovares: Australis/Bratislava, Autumnalis/Butemgo, Canicola/ Canicola, Icterohemorragiae/Copenhageni, Mini/Mini, Pyrogenes/Pyrogenes, Semaranga/Patoc.
Caso 3. Hombre, 33 años, procedente de zona suburbana, pescador. Consultó por fiebre, expectoración hemoptoica y disnea progresiva. Al examen presentó: polipnea, ictericia leve e hiperemia conjuntival con estertores pulmonares subcrepitantes bilaterales y difusos. Radiografía de tórax: infiltrado reticulonodular bilateral y difuso. Gasometría arterial, máscara de flujo libre: pH=7,44, pCO2=24,1 mmHg, pO2=113,7 mmHg, SaO2=98%, –HCO3=22 mmol/L, BE= –8 mmol/L. Hemograma: glóbulos blancos 7.790/mm3, hemoglobina 12 g/dL, plaquetas 74.000/mm3. VES=3 mm. Azoemia=0,4 g/L, creatininemia=0,8 mg/dL. Funcional hepático: bilirrubina total 5,32 mg/dL, bilirrubina directa 4,23 mg/dL, TGO 51mU/mL, TGP 49 mU/mL. Tiempo de protrombina=83%. Serología para leptospira primera muestra: inmunofluorescencia indirecta (IFI) positivo 1/256.
Caso 4. Hombre, 20 años, trabajador procedente de zona rural. Contacto con roedores. Ingresó por fiebre, mialgias, expectoración hemoptoica y disnea progresiva de corta evolución. El examen pleuropulmonar fue normal. Radiografía de tórax: infiltrado reticular difuso (figura 4). Gasometría arterial,VEA: pH=7,45, pCO2=35 mmHg, pO2=84 mmHg, Sa O2=96%, –HCO3=24 mmol/L, BE=–4 mmol/L. Hemograma: glóbulos blancos 20.100/mm3, hemoglobina 10,8 g/dL plaquetas 172.000/mm3. VES=60 mm. Azoemia=0,72 g/L, creatininemia=2,67 mg/dL. Funcional hepático: bilirrubina total 1,68 mg/dL, 0,81 mg/dL, TGO 56 mU/mL, TGP 55 mU/mL. Serología para leptospira, MAT, títulos primera muestra: 1/400. Serovares: Australis/Bratislava, Mini/Mini, Semaranga/Patoc.
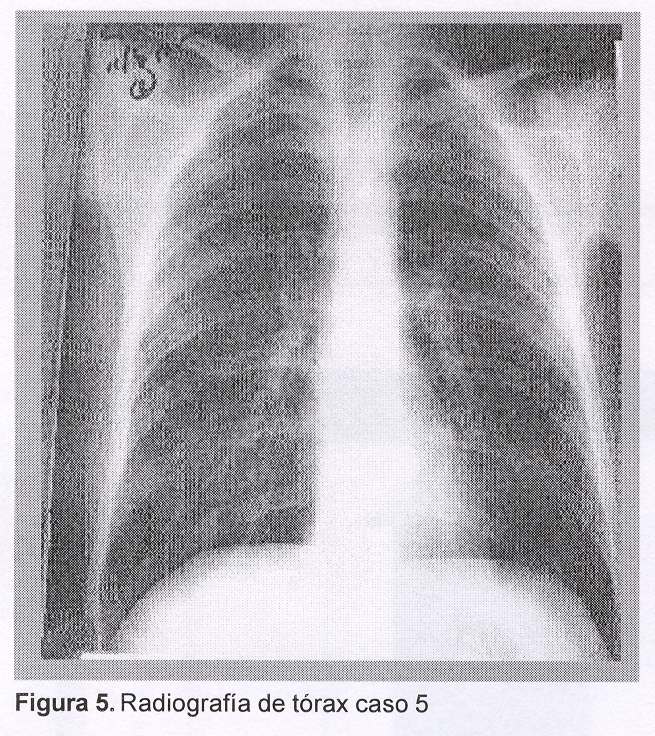
Caso 5. Hombre, 53 años, vive en asentamiento. Contacto con roedores, vivienda y terreno inundables. Consultó por fiebre, mialgias, disnea progresiva y expectoración hemoptoica de cinco días de evolución, encontrándose al examen pulmonar estertores crepitantes difusos bilaterales. Radiografía de tórax: opacidad de aspecto exudativo con broncograma aéreo, en mitad inferior de ambos campos pulmonares (figuras 5). Tomografía axial computarizada de tórax (figura 6). Gasometría arterial, máscara de flujo libre: pH=7,41, pCO2=21 mmHg, pO2=71 mmHg, Sa O2=94%, –HCO3=23 mmol/L, BE=1,3 mmol/L. Ingresó a cuidado intermedio para asistencia respiratoria no invasiva. Hemograma: glóbulos blancos 8.400/mm3, hemoglobina 13g/dL, plaquetas 468.000/mm3. Azoemia=1,46 g/L, creatininemia= 2,73 mg/dL. Funcional hepático: bilirrubina total 0,94 mg/dL, TGO 32 mU/mL, TGP 28 mU/mL. Serología para leptospira, MAT: títulos primera muestra, serovares Icterohemorra-giae/Copenhageni 1/800, Semaranga/Patoc 1/400.
En todos los pacientes se realizaron hemocultivos, estudios bacteriológicos de la expectoración, baciloscopías y serología para hantavirus, los que fueron negativos.
Todos recibieron soporte de funciones vitales y antibioticoterapia empírica precoz con antibióticos betalactámicos (penicilina cristalina 6 millones de unidades día intravenosa o cefalosporina de tercera generación –ceftria-xona 2 g intravenosa día) entre 10 a 14 días presentando buena evolución, siendo el alta hospitalaria entre los 7 y 21 días del ingreso.
Discusión
En todos los casos se trató de pacientes de sexo masculino, entre la tercera y quinta década de la vida, provenientes de zona urbana, suburbana y rural (Montevideo y zona periférica) asistidos en meses de verano y otoño. Clínicamente presentaron un cuadro centrado en la esfera respiratoria, de inicio "gripal" inespecífico y brusco con evolución aguda o subaguda, destacándose la fiebre elevada, tos con expectoración hemoptoica y disnea progresiva. Todos los pacientes cursaron con insuficiencia respiratoria aguda (IRA) tipo I, que en dos casos por su gravedad requirió ARM. El examen pleuropulmonar fue normal o presentó signos bilaterales y difusos con estertores crepitantes o subcrepitantes(5,9). Ningún paciente presentó síndrome de condensación a bronquio permeable ni derrame pleural(5). Los síntomas y signos extrapulmonares fueron característicos y comunes a todos los pacientes: mialgias intensas espontáneas y a la palpación con postración, cefaleas, escalofríos, hiperemia conjuntival y dolor ocular. En la radiografía predominó el infiltrado alveolar reticulonodular bilateral y difuso, más acentuado en el sector periférico e inferior, con pequeñas imágenes en copo de nieve, con un patrón compatible con hemorragia pulmonar(5,9-11).
Frente a los hallazgos clínico-radiológicos se diagnosticó neumonía aguda atípica en todos los casos. Los planteos etiológicos iniciales fueron: tuberculosis miliar, enfermedad por hantavirus, neumonía atípica por micoplasma o Clamydia pneumoniae, neumonitis viral, neumonía bacteriana inespecífica y leptospirosis, evidenciando la dificultad diagnóstica que caracteriza a las formas pulmonares de la enfermedad. El diagnóstico presuntivo de leptospirosis se basó en el alto índice de sospecha, la clínica extrapulmonar típica y un contexto epidemiológico compatible, como el contacto con roedores, ocupación de riesgo y terrenos inundables. Asimismo, los siguientes hallazgos en exámenes paraclínicos apoyaron el diagnóstico de leptospirosis: plaquetopenia, hiperbilirrubinemia colestásica con transaminasas bajas e insuficiencia renal.
La mayoría de los pacientes se presentaron sin ictericia (sólo uno presentó hiperbilirrubinemia moderada) y ninguno presentó insuficiencia renal grave que requiriera hemodiálisis (dos pacientes presentaron insuficiencia renal leve). Ningún caso de los que cursó con insuficiencia respiratoria aguda grave se acompañó de ictericia o insuficiencia renal severa.
El diagnóstico de leptospirosis se confirmó por técnica de inmunocromatografía, IFI o MAT, considerando esta última positiva con clínica sugestiva y títulos mayores a 1/400 o seroconversión de títulos entre muestras de la fase aguda y convalecencia, separadas por 15 días(4,12). En los casos expuestos existió concomitancia de serovares.
Respecto a la bibliografía consultada, se señala que las complicaciones pulmonares graves de la enfermedad no son bien conocidas(13). Se describe la hemorragia pulmonar clásicamente en el síndrome de Weil, asociada a ictericia e insuficiencia renal severas(12,14), siendo otras formas pulmonares severas la hemoptisis masiva y el síndrome de distrés respiratorio del adulto (SDRA)(1,12,15). Debe pensarse en leptospirosis frente a cuadros respiratorios (neumonía, hemoptisis, SDRA) en áreas endémicas, tras intensas lluvias o posinundación.
Se han registrado epidemias de leptospirosis a forma de hemorragia pulmonar febril, sin ictericia ni disfunción renal graves en Corea (1987), India (1993), China y Nicaragua (1995)(16-19). En Brasil se ha observado mayor incidencia de formas pulmonares desde 1994(20). Hasta el momento, en Occidente, solamente en Brasil y Nicaragua se han registrado formas "primariamente" pulmonares de leptospirosis(16,21).
En cuanto a la patogenia de estas formas de leptospirosis con compromiso respiratorio grave, la lesión característica es la capilaritis sistémica(12). El daño tisular sería inmunomediado(1,12,20,22). En el pulmón, el evento principal es la hemorragia pulmonar multifocal por capilaritis(9,22), (neumonitis hemorrágica) y edema (distrés respiratorio)(10,15,23,24). La patogenia de la lesión vascular pulmonar es discutida. La respuesta inmune a través del depósito de inmunocomplejos, liberación de citoquinas inflamatorias (FNT alfa) y vasculitis autoinmune junto con toxinas del germen(1,9,25,26) generaría inflamación e injuria secundaria(14). Según estudios realizados en Brasil, la severidad de la leptospirosis dependería de la intensidad de la respuesta inmune: cuanto más intensa y temprana, más grave la enfermedad y mayor incidencia de las formas pulmonares(20). Se ha planteado la hipótesis de que esta respuesta inmune humoral más intensa, se debería a reinfección por leptospira, como ocurre en el dengue hemorrágico(1,20).
El tratamiento antibiótico es controversial en la forma leve dado su curso benigno y autolimitado(12,22). La forma grave tiene indicación de penicilina intravenosa, en forma empírica y precoz, ante adecuado contexto clínico-epidemiológico, siendo eficaz aun con inicio tardío(12,14,15,22). Acorta la duración de la enfermedad y reduce la incidencia de complicaciones graves(12,16,27). Aunque en la fase inmune la lesión es inmunomediada y no por acción directa del germen, la disminución de la antigenemia con antibióticos reduciría la respuesta inflamatoria y el daño tisular, lo que fundamenta su utilización precoz.
La mortalidad en la leptospirosis severa es de 5%-10%(12). Según recientes revisiones, la ictericia no es marcador fiable de gravedad(2,15). La forma pulmonar grave es de mal pronóstico y la mortalidad por hemoptisis, distrés, insuficiencia respiratoria aguda o hemorragia pulmonar es alta, variando entre 5% a 30%(15). La letalidad puede reducirse con diagnóstico y tratamiento precoz, destacando que en todos los casos presentados, como ya se mencionó, tuvieron buena evolución.
Summary
Leptospirosis is an acute general infection, re-emerging in Uruguay and the South Cone. Breath involvement is frequent but usually mild and misdiagnosed. It is unusual as starting of the disease. During the last years clinical changes have been observed with higher incidence of serious anictericia forms, non renal failure and predominant pulmonar involvement. We report on five clinical cases of ‘primarily’ pulmonar leptospirosis admitted in the Maciel Hospital during 2005: five young men with occupations of risk and contact with roders. They presented acute respiratory syndrome with fever, hemoptoic cough and respiratory failure (mean PO2 70 Hg mm, SaO2 94%), and extrapulmonary symptoms: intense myalgias, cephaleas, ocular pain and conjunctival hyperemia. Pleuropulmonar examination could be normal or may present bilateral and diffuse signs. Most of these cases did not shown ictericia and none of them had serious renal failure. Radiologically, bilateral and diffuse alveolar attern is predominant which is compatible with pulmonar haemorrage. Leptospirosis diagnosis is based on suspicion and compatible epidemiologic clinical context and confirmed by serologic tests. All patients underwent respiratory function and beta-lactam antibiotics treatment leading to a clinical improvement.
Résumé
La leptospirose est une infection généralisée aigue qui réapparaît en Uruguay et au Cône Sud. L’atteinte respira-toire y est fréquente mais légère et peu diagnostiquée. Elle est rare au début de la maladie. Dernièrement, la présentation clinique a changé, avec plus de manifesta-tions graves anictériques, sans atteinte rénale et avec atteinte pulmonaire prédominante. On fait la description de 5 cas cliniques de leptospirose aux débuts pulmonaires, assistés à l’Hôpital Maciel en 2005. Il s’agit d’hommes jeunes, à métiers à risque et en contact avec des rongeurs. Cliniquement, ils présentent des troubles respiratoires à évolution aigue avec de la fièvre, toux avec expectoration hémoptoïque et insuffisance respiratoire (PO2 moyenne de 70 mm Hg, SaO2, 94%); on signale comme symptômes extra pulmonaires: des myalgies intenses, des céphalées, des frissons, douleur oculaire et hyperémie conjonctivale. L’examen pleuro pulmonaire peut être normal ou bien présenter des signes bilatéraux diffus. La plupart des cas ne s’accompagnent pas d’ictère et aucun patient ne présente d’insuffisance rénale grave. Du point de vue radiologique, le patron alvéolaire bilatéral diffus compatible avec une hémorragie pulmonaire. Le diagnostic de leptospirose est basé sur une indice élevée de soupçon et un contexte clinique et épidémiologique compatible et il est confirmé par des épreuves sérologiques. Chez tous les patients, on a prescrit un traitement de support de la fonction respiratoire ainsi qu’une antibiotico-thérapie empirique précoce avec des antibiotiques bêtalactamiques et on a observé une bonne évolution clinique et radiologique.
Resumo
A leptospirose é uma infecção aguda generalizada reemergente no Uruguai e no Cone Sul. O comprometimento respiratório é frequente porém de maneira geral é leve e é subdiagnosticado, e não é habitual no começo da doença. Nos últimos anos foram registradas mudanças na apresentação clínica, com uma maior incidência de formas graves anictéricas, sem disfunção renal e com comprome-timento pulmonar predominante. Neste trabalho se descrevem cinco casos clínicos de leptospirose "primariamente" pulmonar, atendidos no Hospital Maciel em 2005. Eram homens jovens, com ocupações de risco e contato com roedores. Apresentavam quadro respiratório de evolução aguda com febre, tosse com expectoração hemoptoica e insuficiência respiratória (PO2 média de 70 mmHg, SaO2 94%), com mialgias intensas, cefaléias, calafrios, dor ocular e hiperemia conjuntival com sintomas extra-pulmonares relevantes. O exame pleuropulmonar podia ser normal ou apresentar sinais bilaterais e difusos. A maioria dos casos não apresentava ictericia e nenhum paciente apresentou insuficiência renal grave. Nas radiografias predominava o padrão alveolar bilateral e difuso compatível com hemorragia. O diagnóstico de leptospirose estava baseado no alto índice de suspeita e em um quadro clínico-epidemiológico compatível sendo confirmado com provas sorológicas. Todos os pacientes receberam tratamento de apoio à função respiratória e antibioticoterapia empírica precoce com betalactâmicos, com boa evolução clínica e radiológica.
Bibliografía
1. Braselli A. Leptospirosis. Obtenido de: (Consulta: 6 jul 2005).
2. Rodríguez M. Leptospirosis. Análisis retrospectivo de casos clínicos asistidos en una institución de asistencia del interior del país. 2003. Obtenido de: http://www.clinfec.org/ (Consulta: 6 jul 2005).3. Filippini M, Del Monte A, Flores K, Parada D, Schelotto F, Hernández E, et al. Leptospirosis: epidemiología y diagnóstico. Congreso Nacional Medicina Interna, 31. (Montevideo, 6-9 nov. 2002).
4. Burjel J, De Los Ángeles C, Almeida A, Pacello F. Leptospirosis a propósito de 14 casos diagnosticados en Paysandú los primeros 8 meses del año 2002. Congreso Nacional Medicina Interna, 31. (Montevideo, 6-9 nov. 2002).
5. Purtscher H. Manifestaciones respiratorias en las leptospirosis. Arch. Med Interna (Montevideo)1993; 15(1):27-32,
6. Courtin JP, Di Francia M, Du Couedic I, Poubeau P, Mahe C, Bapteste J, et al. Repiratory manifestations of leptospirosis. A retrospective study of 91 cases (1978-1984). Rev Pneumol Clin 1998; 54: 382-92.
7. O Neil KM, Rickman LS, Lazarus AA. Pulmonary manifestations of leptospirosis. Rev Infect Dis 1991; 13 :705-9.
8. Álvarez Infanzoni P. Leptospirosis. Arch Med Int 2004; 26: 12-5.
9. Teglia O, Battagliotti C, Villavicencio R, Cunha B. Leptospiral pneumonia. Chest 1995; 108: 874-5.
10. Matos ED, Costa E, Sacramento E, Caymmi AL, Neto CA, Barreto Lopes M, et al. Chest radiograph abnormalities in patients hospitalized with leptospirosis in the city of Salvador, Bahía, Brasil. Braz J Infect Dis 2001; 5: 73-7.
11. Im JG, Yeon KM, Han MC, Kim CW, Webb WR, Lee JS, et al. Leptospirosis of the lung: radiographic findings in 58 patients. AJR Am J Roentgenol 1989; 152: 955-9.
12. Farrar WE. Leptospira species (Leptospirosis). In: Mandell GL, Bennet JE, Dolin R, eds. Principles and practice of infectious diseases. 4 ed. New York: Churchill Livingstone, 1995: 2137-41.
13. Segura ER, Ganoza CA, Campos K, Ricaldi JN, Torres S, Silva H, et al. Clinical spectrum of pulmonary involvement in leptospirosis in a region of endemicity with quantification of leptospiral burden. Clin Infect Dis 2005; 40: 343-51.
14. Green McKenzie J. Leptospirosis. Med J 2001; 2: 1-10. Green-MacKenzie J. Leptospirosis [online]. eMedicine; 2001 Aug. Available at: http://www.emedicine.com/emerg/topic856.htm. Accessed 4 Oct 2004 15. Karande S, Satam N, Kulkarni M, Bharadwaj R, Pol S. Leptospiral pneumonia. Indian J Pediatr 2005; 72: 86.
16. Trevejo R, Rigau-Pérez J, Ashford D, McClure E, Jarquín González C, Amador J, et al. Epidemic leptospirosis associated with pulmonary hemorrhage Nicaragua, 1995. J Infect Dis 1998; 178: 1457-63.
17. Sehgal SC, Murhekar MV, Sugunan AP. Outbreak of leptospirosis with pulmonary involvement in north Andaman. Indian J Med Res 1995; 102: 9-12.
18. Daher E, Zanetta D, Cavalcante M, Abdulkader R. Risk factors for death and changing patterns in leptospirosis acute renal failure. Am J Trop Med Hyg 1999; 61: 630-4.
19. Park YK, Park SK, Rhee YK, Kang SK. Leptospirosis in Chonbuk Province of Korea in 1987. Korean J Intern Med 1990; 5: 34-43.
20. Abdulkader R, Daher E, Camargo E, Spinosa C, Da Silva M. Leptospirosis severity may be associated with the intensity of humoral immune response. Rev Inst Med Trop S Paulo 2002; 44: 79-83.
21. Seijo A, Coto H, San Juan J, Videla J, Deodato B, Cernigoi B, et al. Respiratory distress due to pulmonary hemorrhage in leptospirosis. Medicina (B Aires) 2002; 62: 135-40.
22. Cardozo A. Leptospirosis. In: Braselli A, Purtscher H, Savio E. Enfermedades infecciosas. 2 ed. Montevideo: Oficina del libro AEM, 1998: 185-90.
23. Ramachandran S, Perera MV. Cardiac and pulmonary involvement in leptospirosis. Trans R Soc Trop Med Hyg 1977; 71: 56-9.
24. Ercolani MG, Papa M. Clinico-radiological observations on pulmonary manifestations of leptospirosis during the Montefeltro epidemic. Radiol Med (Torino) 1988; 76: 64-7.
25. Pai ND, Adhikari PM. Haemorrhagic pneumonitis: a rare presentation of leptospirosis. J Postgrad Med 2001; 47: 35-6.
26. Ragnaud JM, Dupon M, Echinard E, Teboulle D, Wone C. Pulmonary manifestations in severe ictero-hemorrhagic leptospirosis. Ann Med Interne (Paris) 1987; 138: 282-6.
27. Singh SS, Vijayachari P, Sinha A, Sugunan AP, Rasheed MA, Sehgal SC. Clinico-epidemiological study of hospitalized cases of severe leptospirosis. Indian J Med Res 1999; 109: 94-9.


















