Servicios Personalizados
Revista
Articulo
Links relacionados
Compartir
Revista Médica del Uruguay
versión On-line ISSN 1688-0390
Rev. Méd. Urug. vol.19 no.1 Montevideo mayo 2003
Leucoencefalopatía multifocal progresiva: a propósito de un caso clínico-patológico en un paciente infectado por VIH
Dres. Martha Gnocchi1, Ronald Salamano2, Graciela Mañana3, Eduardo Lasalvia4, Ruben Riera5, Olga Hernández6
Resumen
Se presenta un caso clínico de leucoencefalopatía multifocal progresiva (LMP) asociado a VIH, corroborado por estudio anatomopatológico. Se destaca la gran importancia de la introducción de las técnicas de biología molecular en el estudio del líquido cefalorraquídeo (LCR), en particular de la reacción en cadena de la polimerasa (PCR), determinando la presencia de JC virus, directamente ligado a la enfermedad, lo cual resuelve la enorme mayoría de los casos. Se expone la indicación precisa de la realización de biopsia cerebral por estereotaxia para el estudio anatomopatológico, por el cual se llega al diagnóstico definitivo de LMP.
Palabras clave: LEUCOENCEFALOPATÍA MULTIFOCAL PROGRESIVA.
VIRUS JC.
REACCIÓN EN CADENA DE LA POLIMERASA.
BIOPSIA.
CEREBRO.
INFECCIONES POR VIH.
1. Médico Neurólogo.
2. Profesor Agregado de Neurología. Facultad de Medicina. Universidad de la República.
3. Profesora Agregada de Anatomía Patológica. Jefe del Laboratorio de Neuropatología. Facultad de Medicina. Universidad de la República.
4. Ex Profesor Director del Departamento de Medicina, Profesor Director de la Cátedra de Bioquímica y Profesor de Clínica Médica. Facultad de Medicina. Universidad de la República.
5. Médico Oncólogo.
6. Ex Profesora Adjunta de la Cátedra de Infectología. Facultad de Medicina. Universidad de la República.
Correspondencia: Dra. Martha Gnocchi.
20 de Setiembre 1455, apto. 101. CP 11600, Montevideo, Uruguay. E-mail: fenix101@chasque.apc.org
Recibido: 25/10/02.
Aceptado: 7/3/03.
Introducción
La leucoencefalopatía multifocal progresiva (LMP) es una enfermedad de etiología viral (virus JC, Papovavirus), que afecta de forma subaguda o crónica la sustancia encefálica provocando una desmielinización progresiva de ésta. Se observa en pacientes jóvenes, portadores de enfermedades inmunosupresoras (infección por VIH etapas finales, enfermedades linfoproliferativas, tratamientos inmunosupresores, etcétera)(1).
La enfermedad fue descrita inicialmente en 1958 por Astrom, Mancall y Richardson en dos pacientes con leucemia y otro con enfermedad de Hodgking(2). En 1959-1961, se plantea una hipótesis viral para la LMP(3,4). En 1971 se identifica el virus como perteneciente al género polioma, familia papovaviridae, y se le asigna la sigla JC (iniciales del paciente en donde fue descrito el virus)(5).
Desde el año 1983, y en relación a la infección por VIH, proliferan los casos de LMP constituyéndose en 4% de los casos neurológicos asociados al VIH en estadio sida especialmente, con CD4 inferiores a 200 elementos/mm3(6).
La infección por el virus JC se produce en la infancia; es en general asintomática y el virus queda latente en distintos órganos (riñones, encéfalo, ganglios linfáticos, etcétera). En condiciones de inmunodepresión, el virus es capaz de replicarse y adquirir un potencial neuropatógeno, destruyendo los oligodendrocitos y, en forma consecutiva, la mielina que recubre los axones, y en menor grado los astrocitos. Singular es la escasa respuesta inflamatoria detectada(7).
JC es un virus ampliamente distribuido en todo el mundo. Han sido bien identificados siete genotipos del virus JC cuyos genomas difieren en 1% a 3%.
Se ha investigado con énfasis el mecanismo por el cual cuando JC activa su patogenicidad en el oligodendrocito produce una progresiva diseminación del proceso patológico que en definitiva lleva a la evolutividad sintomática de la LMP. En el estudio comparado de biopsia cerebral al inicio clínico de la enfermedad con muestras necrópsicas cuatro años después, se ha podido demostrar que el fenómeno biológico involucrado en la progresividad no es la expansión de una misma estructura viral, sino que es el resultado de la aparición en el genoma viral de nuevas secuencias regulatorias generadas por delección o duplicación de secuencias regulatorias existentes en el arquetipo presente en el inicio de la enfermedad(8). Asistiríamos entonces a una patogenia que evoluciona paso a paso a través de sucesivas alteraciones génicas adquiridas por JC durante la historia natural de la LMP. Investigaciones en curso buscan identificar los parámetros de la infección VIH que se asocian o desencadenan los cambios génicos en JC que determinan su pasaje a formas invasivas.
El diagnóstico de LMP se plantea ante un paciente inmunodeprimido, que presenta un cuadro de deterioro cognitivo o déficit focales (hemiparesia, alteraciones campimétricas, alteraciones de la coordinación y del equilibrio, etcétera), o ambos, de curso progresivo, en cuestión de semanas o pocos meses, infrecuentemente acompañado de cefaleas y sin fiebre. Este cuadro lleva inexorablemente a la muerte, aunque se han reportado casos anecdóticos de detención y reversibilidad de la enfermedad(7). La tomografía computarizada (TC) encefálica puede ser normal al inicio de la enfermedad, o mostrar lesiones hipodensas de la sustancia blanca, a menudo confluentes, más frecuentemente ubicadas en las regiones frontales y parietooccipitales que no se realzan con el contraste, no producen efecto de masa y respetan la sustancia gris cortical, aunque pueden afectar la sustancia gris gangliobasal. La resonancia magnética (RM) encefálica permite observar mejor dichas lesiones y su extensión. Las lesiones aparecen de baja intensidad en T1 y de alta intensidad en T2, no reforzándose con el gadolinio. La presencia de efecto de masa y edema pronostican una corta sobrevida del paciente(9).
Estas características clínicas e imagenológicas son altamente sugestivas de la LMP. El diagnóstico diferencial se plantea sobre todo con el linfoma primario del sistema nervioso central (SNC) y la infección por varicela-zóster (VZ)(10,11). El diagnóstico positivo de la afección se logra mediante la técnica de reacción en cadena de la polimerasa (PCR). Dicha técnica, para el virus JC, tiene una sensibilidad de 65%, y una especificidad de 92%(12).
En caso de negatividad de las técnicas de biología molecular para este virus, virus de Epstein Barr (vinculado al linfoma primario) y VZ en líquido cefalorraquídeo (LCR) y ante la perspectiva de estar delante de una enfermedad tratable en un paciente con aceptable estado general, se practica biopsia cerebral estereotáxica para establecer un diagnóstico definitivo(13). El pronóstico de LMP es sombrío y no existe tratamiento eficaz hasta el momento; sí lo tiene la encefalitis por VZ y con menor impacto es posible intentar algún procedimiento si se trata de un linfoma(10).
Se presenta el caso clínico de un paciente portador de LMP (paciente en estadio sida) a cuyo diagnóstico se llegó mediante biopsia estereotáxica luego de proceder al estudio exhaustivo del LCR.
Caso clínico
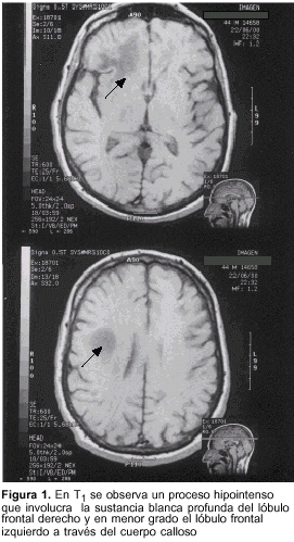
Paciente de sexo masculino, 44 años, diestro, infección por VIH detectada en marzo de 1997, en tratamiento antirretroviral (desde dos años atrás) con AZT, 3TC e indinavir. En agosto de 1999 presentaba una población linfocitaria con CD4 inferior a 160 elementos/mm3. En mayo de 2000 comienza con un síndrome confusional, alteraciones conductuales y cefalea moderada. A los pocos días de su ingreso se percibe pérdida de fuerza de sus miembros izquierdos y alteraciones del habla que se agravaron en el curso de los días. No se detecta fiebre. El examen mostraba un paciente irritable, con desorientación temporal y espacial, tendencia al mutismo, síndrome tónico frontal bilateral predominando a derecha. No se detectó síndrome meníngeo ni fiebre. La TC craneal en fase de estado mostró una lesión frontal derecha y de cuerpo calloso, con compromiso menor del lóbulo frontal izquierdo que incidía especialmente sobre la sustancia blanca, sin efecto de masa y con realce con el contraste. La RM encefálica delimitó con mayor exactitud las lesiones observándose lesiones de baja señal en T1 y de aumento de señal en T2 y en densidad protónica en las topografías señaladas (figuras 1, 2 y 3). El estudio de LCR mostró un citoquímico normal, el estudio por PCR fue negativo para el grupo herpes (HVS 1; HVS 2, CMV, EBV, HH6, VZ), y para virus JC. Se resuelve practicar biopsia estereotáxica. El estudio de dicha pieza con técnica de PCR mostró su positividad para el virus JC. La anatomía patológica convencional mostró: "En las seis tomas biópsicas, imágenes microscópicas con alteraciones de LMP con desmielinización. Hay acúmulos de histiocitos de citoplasmas microvacuolados por fagocitosis de restos mielínicos lipídicos (figura 4). La desmielinización de la sustancia blanca queda en evidencia por la técnica de Luxol que muestra palidez del azul con que tiñe la mielina. Existe moderada astrogliosis con astrocitos de aspecto bizarro símil neoplásicos, con núcleos grandes, algunos multilobulados que no se acompañan de aumento de densidad celular (figura 5). La oligodendroglía muestra una cariomegalia hipercuomática y algunos de ellos tienen gruesas inclusiones intranucleares acidófilas 'en vidrio esmerilado' que contienen el antígeno viral (figuras 5 y 6). Hay escaso o nulo exudado inflamatorio perivascular linfo-plasmocitario".
La evolución del paciente luego de la comprobación diagnóstica fue negativa, falleciendo dos meses después de esta.
Comentarios y conclusiones
El estudio mediante las técnicas de PCR de LCR ha revolucionado el diagnóstico de las enfermedades virales que impactan en el sistema nervioso y de las neoplasias asociadas a virus. Sin embargo, aun realizadas en las mejores condiciones técnicas, tienen falsos negativos(14,15). El caso clínico presentado ilustra esta situación. Dichas técnicas aplicadas en el tejido obtenido de la biopsia aumentan el poder diagnóstico llevando a situaciones de certeza que evitan tratamientos empíricos inoportunos y errados.
Neuropatológicamente, si la biopsia incluye el borde de la lesión, el diagnóstico no genera problemas dada la histología típica descrita, complementada con técnicas para mielina. Es vital reconocer la oligodendroglía con el efecto citopático viral. El caso que se presenta cumple con estos criterios(16-18).
El patólogo frente a una muestra que tiene atipías celulares como ocurre en la LMP puede diagnosticar glioma oligodendroglial o astrocitario. Es allí donde importa su entrenamiento en neuropatología, lo que le permite percibir los macrófagos como un elemento para plantearse otros diagnósticos y pensar en una enfermedad no neoplásica. Si a ello se agrega que en la muestra aparece destrucción de mielina, se facilita el diagnóstico.
Si las muestras no son adecuadas, sobre todo en tomas centrales de lesiones grandes con necrosis dominante y macrófagos en que pueden aparecer en la muestra el resto de los elementos lesionales, se puede diagnosticar, entre otros, infarto cerebral o enfermedad desmielinizante, y no LMP, si bien en la histología de LMP los macrófagos no son el elemento dominante como pueden serlo en aquéllas.
La LMP no tiene hasta el momento tratamiento, aunque tal como se mencionó se conocen casos de detención de la enfermedad e incluso de mejoría espontánea(10). Parece oportuno insistir en la realización de biopsia cerebral cuando se han seguido los pasos diagnósticos que corresponden, y la duda diagnóstica incluye enfermedades tratables.
En series autópsicas no se han encontrado diferencias fundamentales entre los hallazgos histopatológicos de pacientes con LMP con y sin sida.
Summary
A clinical case of a progressive multifocal leukoencephalopathy associated with HIV corroborated by anatomo-phatological studies is reported. Molecular biology procedures are of great importance in the analysis of the cerebrospinal fluid, especially in the polymerasa chain reaction, determining the presence of JC virus, which is directly related to the disease. Precise indication of cerebral biopsy by stereotaxya, that leads to a definitive diagnosis of progressive multifocal leukoencephalopathy, is discussed.
Résumé
On présente un cas clinique de leucoencéphalopathie multifocale progressive (LMP) associée à VIH, prouvée par étude anatomopathologique. On signale l'importance de l'introduction des techniques de biologie moléculaire à l'étude du liquide céphalo-rachidien (LCR), et surtout de la réaction en chaîne de la polymérase (PCR); on détermine ainsi la présence de JC virus, directement lié à la maladie, dans la plupart des cas. On remarque l'indication précise de réalisation de biopsie cérébrale par stéréotaxie pour l'étude anatomopathologique qui aboutit au diagnostic définitif de LMP.
Bibliografía
1. Corradi H. Leucoencefalopatía multifocal progresiva. In: Salamano R (coord). Temas de Neuroinfectología. Montevideo: Oficina del Libro-AEM, 1998: 105-8.
2. Astrom KE, Mancall EL, Richardson EP Jr. Progressive Multifocal Encephalopathy. Brain 1958; 81: 930.
3. Cavanagh JB, Greenbaum D, Marshall AHE, et al. Cerebral Demyelination associated with disorders of reticuloendothelial system. Lancet 1959; 2: 525.
4. Richardson EP Jr. Progressive Multifocal Leukoencephalopathy. N Engl J Med 1961; 265: 815.
5. Padgett BL, Walker DL, Zu Rheim GM, Eckroade RJ, Dessel BH. Cultivation of papova-like virus from human brain with progressive multifocal leucoencephalopathy. Lancet 1971; 1: 1257-60.
6. Gillespie SM, Chang Y, Lenny G, Arthur R, Buchbinder S, Steimle A, et al. Progressive Multifocal leukoencephalopathy in persons infected with human immunodeficiency Virus, San Francisco 1981-1989. Ann Neurol 1991; 30(4): 597-604.
7. Harrison MJG, Mc Arthur JC. Opportunistic Infections-Virus in AIDS and Neurology. Tokio: Churchill-Livingstone, 1995: 141-50.
8. Yogo Y, Matsushima-Ohno T, Hayashi T, Sugimoto C, Sakurai M, Kanazawa I. JC virus regulatory region rearrangements in the brain of long surviving patient with progressive multifocal leukoencephalopathy. J Neurol Neurosurg Psychiat 2001; 71(3): 397-400.
9. Ramsay RG, Geremia GK. CNS complications of AIDS: CT and MR findings. AJR 1998; 151: 449-54.
10. Brew BJ. Progressive Multifocal Leuko-encephalopaty. Oxford: Oxford University Press, 2001: 132-41.
11. Salaverría A, Salamano R, Buzó R, Pebet M, Gordon Firing S, Chouza C. Co-infección encefálica por papovavirus (virus JC) y Varicela-Zóster en un paciente con SIDA. Arch Med Int 1998; 20(1): 19-22.
12. Cinque P, Scarpellini P, Vago L, Linde A, Lazzarin A. Diagnosis of central nervous system complications in HIV infected patients: cerebrospinal fluid analysis by the polymerase chain reaction. AIDS 1997; 11(1): 1-17.
13. Nóbrega JP. Avaliação critica da biopsia do sistema nervoso em doenças infecciosas. In: Salamano R (coord). Temas de Neuroinfectología. Montevideo: Oficina del Libro-AEM, 1998: 243-4.
14. Zunt JR, Marra C. Cerebrospinal Fluid Testing for the Diagnosis of Central Nervous System Infection. In: Marra C (ed.). Central Nervous System Infections. Neurologic Clin 1999; 17(4): 675-90.
15. Wolf M. PCR no diagnóstico das Encefalites e Meningoence-falites Virais: utilidades e limites do método. In: Mach ado L, Livramento JA, Spina-Franca A, Nóbrega JP (ed.). Neuroinfeccao 96. São Paulo: Clínica Neurológica Hospital das Clínicas. Facultad de Medicina. Universidad de Sãp Paulo/FMUSP, 1996: 23-6.
16. Bowers M. Progressive multifocal leukoencephalopathy. Bull Experiment Treat AIDS 1997: 23-6.
17. Burger P, Scheithauer B, Stephen Vogel F. The Brain: inflammatory disorders. In: Surgical pathology of The Nervous System and its Coverings. 4a ed. Philadelphia: Churchill-Livingstone, 2000: 129-32.
18. Graham D, Lantos P. Metabolic and neurodegenerative diseases. In: Greenfield's Neuropathology, 6a ed. Arnold, 1997: 471-2 (Vol. 2).












