Servicios Personalizados
Revista
Articulo
Links relacionados
Compartir
Odontoestomatología
versión On-line ISSN 1688-9339
Odontoestomatología vol.14 no.19 Montevideo mayo 2012
Técnica del Poste Anatómico (Grandini).
Caso Clínico.
Pignata Volpe, Sergio*; Vola Gelmini, Joanna** y Buchtik Efimenco, Natalí***
*Prof. Adj. Clínica de Operatoria Dental 2, Clínica Integrada 3, Facultad de Odontología, Universidad de la República.
**Prof. Adj. de la Carrera de Especialización Odont. Rest. Integral, Facultad de Odontología, Universidad de la República
***Asistente titular, Grado 2, Clínica de Operatoria 2
Resumen
Uno de los grandes desafíos de los postes prefabricados de fibra ha implicado, desde sus orígenes, mejorar su diseño buscando una mayor adaptación al conducto radicular. Esto no sólo importa a los efectos de que la capa de cemento sea lo más delgada posible, sino también porque el íntimo contacto entre poste y conducto radicular genera un mecanismo de retención por fricción, que es muy favorable en el desempeño del poste para evitar su descementado. Una de las formas de mejorar dicha adaptación es a través de la Técnica del Poste Anatómico desarrollada por Grandini. En este artículo se presenta una revisión bibliográfica del tema, describiendo la técnica para un caso clínico con contraindicación de anclaje colado por el alto compromiso de resistencia corono-radicular.
Palabras clave: poste anatómico, postes prefabricados de fibra, cementos adhesivos, contracción de polimerización, Técnica del Perno Muñón.
Abstract
One of the great challenges of fiber prefabricated posts since its inception has been to improve their design seeking the way that best suits the morphology of the root canal. This does not only matter to the effect that the cement layer is as thin as possible, but also because the intimate contact between the root canal and the post generates a locking mechanism through friction, which favors the performance of the post to avoid debonding. One way to improve this adaptation is through the Anatomical post technique developed by Grandini. This article presents a bibliographic review supporting a clinical case in a piece in which was not advisable to use an anchor cast due to the risk of the crown root resistance.
Key words: anatomical post, prefabricated fiber post, adhesive cements, polymerization contraction, Post and core technique.
Fecha recibido: 04.10.11 - Fecha aceptado: 28.02.12
Introducción
El cambio en la filosofía terapéutica de la Odontología restauradora moderna, basada en la mínima intervención y máxima conservación de los tejidos dentarios, ha provocado una transformación importante en la rehabilitación funcional y estética del diente despulpado. Un gran porcentaje de piezas dentarias despulpadas son restauradas hoy, sin la necesidad de realizar un anclaje radicular, por otro lado los postes de fibra por sus cualidades mecánicas y estéticas han ganado terreno, desplazando en muchos casos a los postes metálicos. El desarrollo de los postes de fibra cuenta con el aporte fundamental de B. Duret, quien introdujo en 1988 los pernos de resina reforzados con fibras de carbono. (1)
Se trata de un nuevo sistema restaurador que considera a los diferentes componentes de la reconstrucción (perno, cemento adhesivo, material restaurador coronario y dentina) como constituyentes de un complejo estructural y mecánicamente homogéneo. Esto sumado a su mayor módulo de elasticidad, hace que las cargas sean absorbidas por ese complejo, y no se descarguen directamente sobre la raíz dentaria como sucede en el caso de los pernos metálicos colados. Esa mejor distribución de las fuerzas mejora el pronóstico para el caso clínico a tratar donde la resistencia radicular se encuentra seriamente comprometida. Los primeros postes de carbón y fibra de cuarzo se han ido cambiando por los de fibra de vidrio, que son translúcidos y en su mayoría radiopacos. La forma de estos postes también ha ido variando en el tiempo, de una forma doblemente cilíndrica con finalidad retentiva, a cilíndrica, y a perfiles cónicos y de doble conicidad, basado en la buena performance de los procedimientos adhesivos(1). Este último diseño apunta a la correcta adaptación del poste a la anatomía del conducto radicular, minimizando así la cantidad de estructura radicular residual que debe ser sacrificada, con el objetivo de obtener el adecuado ajuste del poste. (2, 3)
Esto es de capital importancia en aquellos conductos radiculares que tienen una forma elíptica, como pueden ser caninos, premolares mandibulares, o aquellos casos en que el conducto resulta excesivamente amplio, debido al proceso carioso o a su propia anatomía. En estos casos, el clínico enfrenta dos alternativas: adaptar la estructura radicular residual a la forma del poste, lo cual implica remover más dentina sana; o utilizar el poste estándar adecuado al caso, con la eventualidad de que la capa de cemento será de un espesor excesivo. Esta situación predispone a falla adhesiva y descementado del poste, lo cual se ha evidenciado clínicamente, fundamentalmente durante la etapa de provisionalización, y se atribuye principalmente al exceso en el espesor de cemento a nivel del tercio coronal de la raíz. (4). De hecho, la causa más común de fracaso de este recurso terapéutico es el descementado.
Por lo tanto, y siguiendo la tendencia de una odontología de mínima intervención y máxima conservación de estructuras, lo más favorable en estos casos sería que el poste se adaptara lo mejor posible a la anatomía del conducto una vez finalizada la endodoncia. Sobre este razonamiento es que se desarrolló el poste anatómico descrito por S. Grandini. (1, 3)
Desde el año 2001 se han realizado intentos de crear un poste anatómico mediante el rebasado de postes de cuarzo con resina de auto-curado y de postes translúcidos con resinas de fotocurado. Así surgió el Anatomic Post’Core (RTD, St Egreve, France) que consiste en un poste DT Nº 1 que está cubierto por resina de fotocurado (Lumiglass, RTD, St Egreve, France). Como resultado de la precisa adaptación del poste al conducto radicular, el poste individualizado está rodeado por una fina y uniforme capa de cemento de resina, creando condiciones ideales para la retención del poste. (3)
Una buena adaptación del poste anatómico permite a éste mantener su posición inalterable durante el procedimiento del cementado. (1) Al igual que todo material resinoso, la resina utilizada para el rebasado del poste sufre contracción de polimerización. Si bien este aspecto necesita una mayor evaluación, parece lógico pensar que la misma favorece el retiro del poste anatómico del conducto luego de su individualización, creando además un espacio de fuga del cemento que evitará la presión hidráulica. Adicionalmente, la técnica del poste anatómico, posibilita la realización de una restauración coronaria directa en una única sesión clínica, sin necesidad de etapas de laboratorio para el rebasado. (5)
Se ha visto que el espesor de la capa de cemento de resina decrece de apical a coronal en los casos en que el perno ha sido individualizado, mientras que lo opuesto ocurre en los casos en que se utiliza solamente el poste estándar. En este último caso existen diferencias significativas en el espesor de cemento existente en cada tercio de la raíz. (1, 6, 7)
La reducción del espesor de la capa de cemento, lograda con la técnica del poste anatómico, disminuye la probabilidad de formación de burbujas y vacíos, que representan áreas de debilidad dentro del material. (1) Estas áreas pueden desencadenar fisuras y disminuir la retención del poste. (8) La contracción de polimerización puede ser reducida en forma adicional cuando se utiliza un cemento adhesivo de lenta polimerización, porque se prolonga el tiempo de gelación, lo que aumenta las posibilidades de liberación del estrés de polimerización. (9, 10, 11)
Valandro et al., indicaron que el estrés de polimerización es un importante factor en el proceso de fracaso entre el sistema adhesivo y la dentina radicular, y reportaron que cuanto más delgada sea la capa de cemento, menos probable será la aparición de microporosidades y menor contracción de polimerización. (12) Grandini et al., estudiaron el espesor de la capa de cemento resinoso utilizando postes individualizados estándar, observando que la calidad de la adhesión entre el poste y la resina de rebasado fue buena, gracias a la compatibilidad entre la matriz de ambos materiales, así como también por agente de unión (silano) utilizado. (1)
Faria-E-Silva A. et al, estudiaron el efecto del rebasado del poste de fibra en la retención del mismo al conducto radicular, evaluando dos grupos: uno con postes de fibra sin rebasar y otro con postes anatómicos. Observaron que la técnica del poste anatómico mejoró la retención de los mismos en los tres tercios de los conductos radiculares estudiados. Atribuyeron como factor principal que contribuye a la resistencia a la dislocación del poste adherido, la fricción generada mediante el rebasado. Dado que la fricción se da por contacto entre dos superficies, es razonable asumir que el mayor contacto entre el cemento resinoso y la dentina radicular mejora la retención del poste de fibra. Goracci et al., estudiaron el efecto de la fricción en la resistencia a la dislocación de los postes de fibra adheridos. Cementaron postes de fibra utilizando cementos de resina clásicos y autograbantes, con y sin el uso de los adhesivos dentinarios correspondientes. Los valores de retención obtenidos en aquellos casos en que se utilizó cemento de resina únicamente, no mostraron diferencias significativas en relación a aquellos en que se aplicó primero el sistema adhesivo correspondiente. Por lo tanto, llegaron a la conclusión de que la fricción entre el poste y el conducto radicular tiene un rol predominante en la retención del mismo. (9) D’Arcangelo C. et al, estudiaron el efecto del espesor de cemento de resina en la retención de los postes de fibra y observaron que todas las fallas adhesivas se dieron a nivel de la interfase entre el cemento de resina y la dentina radicular. (8) Evidentemente esta interfase constituye el eslabón más débil de este procedimiento adhesivo, ya que a nivel del conducto radicular, es difícil controlar la humedad y asegurar la completa polimerización foto activada de los sistemas y cementos adhesivos. Adicionalmente, el factor C, tan desfavorable en estos casos, redunda en que la resistencia adhesiva de los sistemas adhesivos a la dentina radicular es baja. El rebasado del poste de fibra puede reducir la formación de burbujas de aire al generar un aumento de presión durante el cementado, debido a su íntimo contacto con las paredes del conducto radicular, a diferencia del perno no rebasado. La buena adaptación del poste aumenta la presión en el cemento de resina, y ésta es transmitida a la interfase cemento/ adhesivo. La aplicación de presión suprime la sorción acuosa y la formación de burbujas (11), dando como resultado un mejor contacto entre el conjunto poste/cemento y dentina. Esto genera mayor retención por fricción, en comparación con los postes no rebasados, y consecuentemente mayor resistencia adhesiva a la tracción. Faria-E-Silva A. et al, sugieren que este aumento de la resistencia adhesiva está ligado a la retención por fricción más que a la disminución del espesor de la capa de cemento adhesivo. (7)
Caso clínico
Paciente de sexo femenino, de 34 años de edad, que presenta un tratamiento de conducto deficiente en la pieza 11, con restauración de resina de larga data y con una fístula a punto de partida de gangrena pulpar.
Al estudio RX se aprecia un conducto amplio, sobre todo en su tercio cervical con paredes bastante delgadas. (Fig. 1)
Luego de analizado el caso clínico y visto el pronóstico reservado de la pieza, (teniendo en cuenta los costos y la edad del paciente), se resolvió realizar el retratamiento endodóntico y colocar un poste de fibra de vidrio (Tenax, Coltene) rebasado con resina (Miris 2, Coltene) cementado con cemento de resina autoacondicionante (Biscem, Bisco), siguiendo la Técnica de Grandini. (Fig. 2, 3 y 4)

Fig. 2
Fig. 3

Fig. 4
Posteriormente se realizó una preparación coronaria total, para una corona de Resina Mejorada.
Primera sesión clínica
1. Tallado preliminar del conducto con fresas Largo Nº 1 y 2, respetando los 4mm de obturación remanente. (Fig. 5)
2. Preparación definitiva del conducto con la fresa conformadora correspondiente al poste (Fig. 6 y 7)
Fig. 6

Fig. 7
3. Lavado del conducto con agua destilada y 5. Se prueba el asentamiento del poste en el clorhexidina. (Fig. 8)

4. Secado del conducto con conos de papel. (Fig. 9)

5. Se prueba el asentamiento del poste en el conducto (Fig. 10)

6. Lubricamos en conducto con glicerina líquida (sustancia hidrosoluble) (Fig. 11)

7. Limpieza del poste con ácido fosfórico, aplicación de adhesivo y fotopolimerización.
8. Cargado de resina envolviendo el poste (Resina Miris 2) y rebasado del mismo buscando mejorar la adaptación del poste a la luz radicular. Fotocurado. (Fig. 12 a 16)

9. Corte del poste total o parcialmente a los efectos de no ejercer vibraciones luego de cementado
10. Colocación del cemento en el conducto con jeringa (Centrix) para evitar entrampar burbujas de aire (Fig. 17)
11. Posicionamiento del poste en el conducto (Fig. 18)


12. Fotocurado durante 60 segundos o más. 13. Reconstrucción de la porción coronaria con (Fig. 19) resina de fotocurado (Miris 2). (Fig. 20)


Segunda sesión clínica
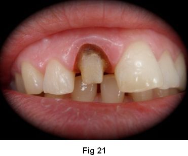
1. Preparación coronaria total con hombro redondeado. (Fig. 21)

2. Confección de provisorio. (Fig. 22)
3. Impresión con silicona, con la técnica doble mezcla en 1 tiempo. (Fig. 23)

-
Registro interoclusal (mordida en silicona)
-
Toma de color.
-
Cementado de provisorio.
Tercera sesión clínica
-
Prueba de la corona
-
Control de forma, color, puntos de contacto, ligero control oclusal
-
Cementado con ionómero híbrido (GC Fuji Plus)
-
Control oclusal final. (Fig. 24)

Conclusiones
Existen situaciones clínicas bastante frecuentes, en las cuales la luz del conducto radicular después del tratamiento endodóntico, es elipsoidal o no perfectamente circular. La técnica del perno anatómico es una alternativa en la rehabilitación del diente despulpado en aquellos casos donde queremos mejorar la adaptación del poste a la luz del conducto. Esto otorgaría mayor fricción y consecuentemente mejoraría la retención. Si bien esta técnica comparte las virtudes que presentan los postes prefabricados de fibra en cuanto a: módulo de elasticidad, no corrosión, facilidad de remoción, estética y bajo costo, también comparte las controversias que existen en cuanto a la efectividad del cementado adhesivo y su durabilidad en el tiempo. Sin duda serán necesarios estudios clínicos de mayor duración, para obtener resultados que sean cada vez más seguros y motivadores.
Referencias bibliográficas
1. Grandini S, Goracci C, Monticelli F, Borracchini A, Ferrari M. SEM Evaluation of the Cement Layer Thickness After Luting Two Different Posts. J Adhes Dent 2005; 7(3): 235-240.
2. Ferrari M, Vichi A, Grandini S, Goracci C. Efficacy of a self-curing adhesiveresin cement system on luting glassfiber posts into root canals: an SEM investigation. Int J Prosthodont. 2001; 14(6): 543-9.
3. Boudrias P, Sakkal S, Petrova Y. Anatomical post design meets quartz fiber technology: rationale and case report. Compend Contin Educ Dent. 2001 Apr; 22(4): 337-40, 342, 344 passim; quiz 350.
4. Ferrari M, Vichi A, Mannocci F, Mason PN. Retrospective study of the clinicalperformance of fiber posts. Am J Dent. 2000 May; 13(Spec No): 9B-13B.
5. Grandini S, Sapio S, Simonetti M. Use of anatomic post and core for reconstructing an endodontically treated tooth: a case report. J Adhes Dent. 2003 Fall; 5(3): 243-7.
6. Duret B, Reynaud M, Duret F. A new concept of corono-radicular reconstruction, the Composipost (2). Chir Dent Fr. 1990 Dec 6; 60(542): 69-77
7. Faria-e-Silva André Luís, Pedrosa-Filho Celso de Freitas, Menezes Murilo de Sousa, Silveira Daniele Machado da, Martins Luís Roberto Marcondes. Effect of relining on fiber post retention to root canal. J. Appl. Oral Sci. 2009 Dec; 17(6): 600-604.
8. D’Arcangelo C, Canella M, De Angelis F, D’Amario M. The effect of resin cement film thickness on the pullout strength of a fiber-reinforced post system. J Prosthet Dent. 2007; 98: 193-8.
9. Goracci C, Fabianelli A, Sadek FT, Papacchini F, Tay FR, Ferrari M. The contribution of friction to the dislocation resistance of bonded fiber posts. J Endod. 2005; 31: 608-12.
10. Tay FR, Loushine RJ, Lambrechts P, Weller RN, Pashley DH. Geometric factors affecting dentin bonding in root canals: a theoretical modeling approach. J Endod. 2005; 31: 584-9.
11. Chieffi N, Chersoni S, Papacchini F, Vano M, Goracci C, Davidson CL, et al. The effect of application sustained seating pressure on adhesive luting procedure. Dent Mater. 2007; 23: 159-6.
12. Valandro LF, Filho OD, Valera MC, de Araujo MA. The effect of adhesive systems on the pullout strength of a fiberglass-reinforced composite post system in bovine teeth. J Adhes Dent. 2005, 7(4): 331-6.













