Introducción
La comunicación interauricular (CIA) es un defecto congénito en el tabique auricular, en la mayoría de los casos es asintomática hasta la edad adulta. Se asocia a un cortocircuito de izquierda a derecha, ocurre principalmente en la sístole ventricular tardía y en la diástole temprana, con cierto aumento durante la sístole auricular. Esto conduce a una sobrecarga de volumen de las cavidades cardíacas derechas y de las arterias pulmonares con posible desarrollo tardío de enfermedad obstructiva vascular pulmonar progresiva e hipertensión pulmonar cuando el grado de cortocircuito es significativo1,2.
Se describen cinco tipos de defectos, el más común es el ostium secundum en un 80% de todos los defectos de la aurícula. Está localizado a nivel de la fosa oval y es el resultado del bajo desarrollo del septum primum3. El aneurisma del septo interauricular son deformidades que protruyen dentro de la aurícula derecha o izquierda y se pueden considerar factores de riesgo para presentar eventos cerebrovasculares4.
La CIA se encuentra dentro de las cardiopatías congénitas asintomáticas más comunes, ocurren en el 0,1% de los nacimientos y representa el 30-40% de las derivaciones intracardíacas clínicamente importantes en los adultos1. Resulta de la falta de tejido suficiente para separar por completo las aurículas, lo cual comienza en la quinta semana de gestación. La ubicación del defecto en relación con las estructuras cardíacas define las anomalías asociadas con la CIA e impacta en la historia natural y en el manejo2.
La utilidad del ecocardiograma transesofágico 3D permite evaluar y visualizar componentes con precisión como el tamaño y el aspecto de la CIA. Además, puede proporcionar una vista frontal del defecto para evaluar los tipos, el número, el tamaño y la forma real5. Determinar los bordes tisulares alrededor del defecto, lo cual es importante para el cierre de múltiples CIA y la monitorización del procedimiento. Puede proporcionar información volumétrica de un ventrículo derecho (VD) dilatado o detalles geométricos del anillo tricuspídeo desde la vista en face, que puede utilizarse para la anuloplastia tricuspídea concomitante durante el cierre del parche de la CIA6.
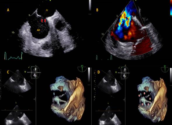
Presentamos un caso de paciente masculino de 61 años de edad, quien tenía como único antecedente extabaquismo y se encontraba en estudios preoperatorios para realización de herniorrafia umbilical. Sin embargo, al examen físico se evidenció soplo sistólico para esternal izquierdo medio, por lo que se le indicaron toma de estudios de extensión, entre ellos radiografía de tórax con silueta cardíaca aumentada de tamaño en cavidades derechas con signos indirectos de hipertensión pulmonar. Un ecocardiograma transtorácico evidenció hallazgos de dilatación de cavidades derechas y aneurisma del septum interauricular con posible defecto tipo CIA ostium secundum, por lo que se realizó ecocardiograma transesofágico (figura 1). Este mostró una comunicación interauricular multiperforada con flujo de izquierda a derecha, con septum interauricular y se observaron 6 orificios separados por delgados remanentes septales.

Figura 1 A-B: ecocardiograma transesofágico que demuestra un gran defecto interauricular con presencia de múltiples jets de color, lo que sugiere múltiples perforaciones a este nivel. C-D: reconstrucción 3D del defecto interatrial que confirma y demuestra una comunicación multiperforada como imagen de alto impacto académico.
Discusión
La mayoría de las CIA cierran de forma espontánea. No obstante, ya sea de forma percutánea o quirúrgica, se debe intentar cerrar de manera activa si existen características de alto riesgo, como una CIA > 8 mm, dilatación de la aurícula o VD con predisposición a tromboembolismo5. Las CIA con un diámetro < 5 mm y sin evidencia de sobrecarga de volumen del VD no requieren cierre, a menos que estén asociadas con una embolia paradójica7.
El cierre percutáneo es el método de elección en defectos del ostium secundum aislado con bordes adecuados mediante valoración con ecocardiograma transesofágico. El procedimiento percutáneo es eficaz en tratar defectos con una morfología más simple, mientras que la cirugía se asigna para defectos de ostium secundum con bordes no aptos u otro tipo de defecto del septum interauricular8.
Dentro del manejo planteado al paciente está el cierre de la CIA de manera quirúrgica debido a derivación de izquierda a derecha con relación del flujo sanguíneo pulmonar al sistémico (Qp:Qs) > 1,5:1, repercusión hemodinámica de cavidades derechas, síntomas clínicos de hipertensión pulmonar y características del defecto estructural múltiple7, se está en espera de este según programación del servicio de cirugía cardiovascular.
Las posibles complicaciones a mediano y largo plazo del cierre de la CIA en la edad adulta incluyen taquiarritmias (fibrilación auricular o aleteo auricular), bradiarritmias (disfunción del nódulo sinusal o bloqueo cardíaco), accidente cerebrovascular (mayor riesgo en pacientes de mayor edad), CIA residuales. La profilaxis antibiótica está indicada durante 6 meses después de la reparación de la CIA si se utilizó material protésico para reparar el defecto7.














