Servicios Personalizados
Revista
Articulo
Links relacionados
Compartir
Revista Uruguaya de Cardiología
versión impresa ISSN 0797-0048versión On-line ISSN 1688-0420
Rev.Urug.Cardiol. vol.28 no.1 Montevideo abr. 2013
Casos clínicos
Mixoma: manifestaciones neurológicas y reumatológicas. Informe de casos
Tomás Zamora Bastidas 1, Daira E. Maya Ruiz 2, Magda Rangel 3,
Nelson López Garzón 4, Milton Bermúdez Joaquí 4
1. Médico Neurólogo. Internista. Docente Departamento de Medicina Interna. Facultad Ciencias de la Salud Universidad del Cauca, Colombia.
2. Residente 3 años. Especialización en Medicina Interna. Universidad del Cauca, Colombia.
3. Residente 2 años. Especialización en Medicina Interna. Universidad del Cauca, Colombia.
4. Cardiólogos internistas. Hospital San José. Departamento de Medicina Interna. Unicauca.
Correspondencia: tzamora@unicauca.edu.co
Recibido enero 1, 2013; aceptado marzo 25, 2013
Resumen
Objetivo: informe de tres casos de mixoma cardíaco auricular izquierdo en pacientes de sexo femenino.
Diseño de estudio: informe de casos.
Lugar: Hospital Universitario San José de Popayán (HUSJ) - Facultad Ciencias de la Salud. Departamento de Medicina Interna. Universidad del Cauca.
Pacientes: tres del sexo femenino, dos presentaron compromiso neurológico de tipo ataque vascular cerebral agudo embólico y un caso con manifestaciones reumatológicas.
Intervención: ecocardiogramas. Tomografía axial computarizada (TAC) cerebral. Resección de masa cardíaca. Confirmación anatomopatológica.
Resultado: tratamientos exitosos.
Conclusiones: los pacientes con mixoma generalmente auricular producen síntomas cardíacos, pero, dada su variabilidad clínica, pueden presentarse como cuadros con compromiso cerebral y simular síndromes de origen reumatológico. Una vez identificada la causa, en los tres casos, se practicó resección tumoral.
Palabras clave:
MIXOMA
ACCIDENTE CEREBROVASCULAR
ECOCARDIOGRAFíA
Summary
Objective: To report three cases of left atrial cardiac myxoma in female patients.
Study Design: Case reports.
Location: University Hospital San José de Popayan (HUSJ), Faculty of Health Sciences. Department of Internal Medicine. Universidad del Cauca. 3 female patients. 2 had neurological involvement due to embolic acute cerebral vascular attack and 1 had rheumatologic manifestations.
Intervention: Echocardiograms. Brain computed tomography (CT scan). Resection of cardiac mass. Pathologic confirmation.
Result: successful treatment.
Conclusions: Patients with atrial cardiac myxoma usually produce cardiac symptoms but, given its clinical variability, can manifest with brain involvement or simulate rheumatic syndromes. Once the cause was identified, in all three cases, tumor resection was performed.
Keywords:
MYXOMA
STROKE
ECHOCARDIOGRAPHY
Introducción
El mixoma cardíaco (MC) representa el tipo más frecuente de tumores cardíacos primarios en adultos, constituyendo hasta 50%-85% de todos los tumores benignos(1-5). Contrariamente, durante el desarrollo fetal y la infancia, el MC constituye solo el 15% de los tumores cardíacos, la mayoría de ellos en niños mayores(5). Su nombre deriva de la matriz extracelular mixta rica en glicoproteínas y proteoglicanos(3). Los mixomas cardíacos son neoplasias benignas, proliferan lentamente, no se infiltran en el miocardio y, por lo general, no se forman lesiones metastásicas(2).
Se considera que todos los tipos celulares tumorales presentes derivan de la diferenciación de células mesenquimales multipotenciales primitivas. Debido a su localización estratégica y características histopatológicas son clínicamente consideradas como entidades muy graves para la morbilidad y la mortalidad de los pacientes afectados(1,5). La incidencia estimada es de aproximadamente 0,5-1 caso por cada 106 individuos por año, con preponderancia aparente (3:1) en las mujeres(6,7). Aunque suele diagnosticarse entre la cuarta y sexta década de la vida, el MC se puede encontrar en cualquier grupo de edad, rara vez entre los niños, y extremadamente raro durante el período neonatal(8-10). La mayoría de los mixomas cardíacos (60%-80%) se diagnostican dentro de la aurícula izquierda originados fundamentalmente en el tabique interauricular del foramen oval(3,4,8). También pueden proceder de cualquier parte dentro de la aurícula incluyendo el tejido endocárdico.
Alrededor de 15% a 28% de los casos de MC se diagnostican en la aurícula derecha, 8% en el ventrículo derecho y 3%-4% en el ventrículo izquierdo. La aparición ventricular se da principalmente en mujeres y en niños. Una pequeña proporción de los mixomas cardíacos (1,6%-8,5%) son biauriculares y aproximadamente 1,6% tiene origen multifocal(3,4,11,12). También hay informes aislados de mixomas cardíacos procedentes de valvas mitrales anteriores y posteriores, arteria y vena pulmonar, válvulas aórticas, vena cava inferior y parte superior del tabique interauricular(12,13). La mayoría de los mixomas cardíacos (90%) ocurren esporádicamente, mientras que solo 5% a 10% tienen patrón establecido familiar de herencia(14,15).
Merecen la denominación de “grandes imitadores” dada la variabilidad de su expresión clínica(1). Se presentan tres casos, uno en que la sintomatología inicial guiaba al diagnóstico de una enfermedad de origen reumatológica, pero la realización posterior de ecocardiograma transtorácico y finalmente de la biopsia confirmaron dicho hallazgo. Dos casos más se presentan con lesión intracardíaca, embolias cerebrales secundarias y compromiso ocular. Se demuestra la importancia en reconocer la enigmática y variable presentación clínica de los mixomas cardíacos, los “grandes simuladores” de vasculitis sistémicas.
Caso clínico 1
Mujer de 32 años de edad, ama de casa, procedente de Inzá (Cauca, Colombia), consulta por cuadro clínico neurológico de episodio convulsivo tónico-clónico generalizado asociado a varios episodios de pérdida del conocimiento previos, hemiparesia izquierda transitoria con recuperación total, dolor y cianosis en dedos de pie izquierdo, sin fiebre, motivo por el cual consulta a nivel 1, de donde la remiten a nuestra institución. Su enfermedad empezó tres meses antes con cefalea global no pulsátil, sin otras características a destacar, y disnea al mínimo esfuerzo, con dolor precordial opresivo sin disautonomía. Dentro de sus antecedentes personales, niega otras patologías, no hay antecedentes familiares de importancia, a nivel ginecoobstétrico cinco embarazos, cuatro partos, un aborto, fecha de último parto (FUP): hace 13 años sin complicaciones, no alergias, no cirugías o traumas, no consumo de fármacos, no antecedentes tóxicos, no antecedentes de infección respiratoria reciente.
Al examen físico se destaca en aparato cardiopulmonar: auscultación cardíaca en decúbito lateral izquierdo permite encontrar un soplo diastólico bien claro, con reforzamiento de segundo ruido; en el sistema nervioso central: función cognitiva íntegra, no plejías ni paresias, no alteración de pares craneales, el fondo de ojo revela cambios a nivel venoso muy prominentes en ojo izquierdo, sugestivo de embolia; extremidades: cianosis y dolor en tercer, cuarto y quinto dedos de pie izquierdo.
Dado lo anterior se realiza escanografía cerebral en fase simple y contrastada (figura 1) que revelan: imágenes hipoatenuadas múltiples corticales cerebrales difusas y a nivel cerebeloso compatible con microembolia.
Ecocardiograma transtorácico bidimensional reporta fracción de eyección del ventrículo izquierdo (FEVI) 58%, con función ventricular normal, y gran masa en aurícula izquierda, compatible con mixoma versus trombo gigante con área auricular aumentada, generando una estenosis mitral moderada (figura 2).
El servicio de neurología opina que dados los hallazgos, la paciente cursa con una fuente arterémica que repercute en el sistema nervioso central y, por lo tanto, es una urgencia quirúrgica. De igual manera, el servicio de cardiología considera el mismo concepto iniciando anticoagulación formal con heparina de bajo peso molecular. La paciente es enviada a clínica nivel IV en la ciudad de Cali (Valle del Cauca, Colombia) donde es intervenida quirúrgicamente. Se realiza procedimiento sin complicaciones resecando masa de 4,5 por 3 por 2,3 cm. El informe de patología confirma neoplasia mesenquimal tipo mixoma con células con núcleos ovoides y fusiformes pequeños que contiene citoplasma eosinofílico de bordes estrellados sobre un estroma de aspecto mixoide.
Caso clínico 2
Mujer de 39 años, ama de casa procedente de Mercaderes (Cauca, Colombia), con exposición crónica al humo de leña, tres hijos, ligadura de trompas hace 14 años. Fractura traumática de cadera hace 13 años, que requirió osteosíntesis. Ingresa por cuadro clínico de 16 horas de evolución con pérdida de conciencia, alteración visual, cefalea global, hemiplejia derecha y afasia. Desde hace un año episodios sincopales y de amaurosis de dos horas de duración. Al examen neurológico: afasia, hemiplejia derecha, Babinski bilateral con signo de Binda positivo. Reflejos simétricos. Auscultación cardíaca con reforzamiento de dos ruidos. Se toma TAC cerebral que muestra compromiso isquémico en región fronto-temporal izquierda, con colapso del ventrículo (figura 3).
Al ecocardiograma, sin cardiopatía estructural de base, sin alteración segmentaria, FEVI 60%, en aurícula izquierda, masa móvil de base ancha sobre septum interauricular, protruye parte a cavidad ventricular izquierda, mixoma de 4,9 por 2,8 cm que genera estenosis mitral funcional dinámica leve, insuficiencia tricuspídea mínima, PSAP 37 mm Hg (figura 4).
La paciente persiste con déficit motor, recupera su estado de alerta y es programada para realizar resección de la masa. Se realiza procedimiento quirúrgico sin complicaciones, se extirpa masa 5 por 3 por 2,5 cm y la histopatología confirma tumor de tipo mixoma, constituido por células poligonales en medio de matriz mixoide con áreas de hemorragia y escasos linfocitos.
Caso clínico 3Mujer de 32 años. Procedente de Silvia (Cauca, Colombia). Motivo de consulta: tos y dificultad respiratoria. Dentro de la enfermedad actual se describe un cuadro de dos semanas de tos productiva hemoptoica clara, dificultad respiratoria progresiva hasta el reposo, sibilancias nocturnas, adinamia, dolor a nivel dorsal (sin más descripciones en historia clínica), por lo cual se automedicó ibuprofeno oral. Pérdida de 10 kg de peso en los últimos diez meses. Niega fiebre. Manifiesta contacto con persona con tuberculosis pulmonar (TB).
Interrogatorio dirigido para enfermedad reumatológica: fenómeno de Raynaud descrito como cianosis de segundo y tercer dedo de mano izquierda que aumenta con la exposición al frío, niega xeroftalmia-xerostomía, fotofobia.
Como antecedentes personales se destaca que hace diez meses en manejo por reumatología por fenómeno de Raynaud de predominio unilateral, inicialmente se manejó con nifedipino 30 por 1, prednisolona 5 por 1, y actualmente recibe cloroquina 150 por 1, losartán 25, ASA 100 por 1. Fecha de última menstruación: 23/8/12, G3P2E1A0. Antecedentes familiares: prima con lupus eritematoso sistémico.
Paraclínicos de enero de 2012 en los que se destaca velocidad de eritrosedimentación elevada, factor reumatoideo (FR): < 6,5, anticuerpos anticardiolipinas IgG-IgM negativos, ANAS, C3 y C4 negativos y VDRL: normal.
Examen físico al ingreso: ritmo regular de 115 por minuto, frecuencia respiratoria: 26 por minuto, temperatura: 36,5°C; presión arterial: 100/60 mmHg. Glasgow: 15/15; SatO2: 96% FiO2: 50%. Ruidos cardíacos rítmicos y regulares, no soplos. Estertores gruesos en ambos campos pulmonares. Resto del examen físico negativo.
Diagnósticos al ingreso: 1. TB pulmonar a descartar. 2. Neumonía multilobar. 3. Fenómeno de Raynaud. 4. Vasculitis.
Plan: se inicia antibioticoterapia con cefepime, traslado a unidad de cuidado intensivo (UCI).
En UCI: frecuencia cardíaca: 105 por minuto; frecuencia respiratoria: 20 por minuto; presión arterial: 112/60 mmHg; presión arterial media 77 mmHg; temperatura: 36,8 °C; SatO2: 92%, FiO2: 40%. Estertores difusos. Cianosis de todos los dedos de mano izquierda y tercer y cuarto dedo de mano derecha.
Planteo diagnóstico: 1. Insuficiencia respiratoria aguda. 2. TB pulmonar a descartar. 3. Vasculitis reumatoide. 4. Síndrome de Raynaud.
Se ausculta frote pericárdico leve y persistencia de estertores bilaterales. Paciente con poliserositis (derrame pleural, derrame pericárdico) y con antecedentes sugestivos de enfermedad autoinmune. Se inicia pulso con metilprednisolona. Se inicia ventilación mecánica no invasiva.
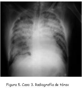
Rx de tórax con opacidades alveolares en los cuatro cuadrantes con broncograma aéreo y que respetan la periferia (figura 5). Gasometría con hipoxemia y leve alcalosis respiratoria.
TAC de tórax simple: infiltrado retículo alveolar en ambos campos pulmonares, el cual tiene distribución en alas de mariposa. Derrame pleural bilateral de predominio derecho. Cavidades cardíacas de características normales (figura 6).
En el contexto de paciente con colagenopatía de base debe descartarse granulomatosis de Wegener y lupus. En el ecocardiograma transtorácico se observa gran masa auricular izquierda ocupando aproximadamente el 70% del atrio izquierdo con un área de 13 cm2 adherida a la valva anterior mitral hasta pared posterior del atrio, que protruye a través de la válvula mitral. Valva posterior mitral libre que genera una estenosis mitral e insuficiencia mitral, insuficiencia tricuspídea e insuficiencia pulmonar leves con PSAP de 40 mmHg. Sin datos de sobrecarga de ventrículo derecho. Función sistólica de ventrículo izquierdo conservada, FEVI 57%. Función sistólica de ventrículo derecho limítrofe 50%, sin vegetaciones intracardíacas. Leve derrame pericárdico anterior y posterior circunferencial, aproximadamente de 100 ml sin signos de taponamiento. No alteraciones en aorta torácica (figura 7).
Se realiza resección de mixoma en atrio izquierdo y reconstrucción de septum interatrial con parche de pericardio bovino. La patología reporta: lesión neoplásica benigna constituida por un estroma mixoide hipocelular con extensa hemorragia intersticial, proliferación de vasos capilares con presencia de células elongadas y estrelladas pequeñas sin atipia, compatible con tumor tipo mixoma. La paciente evoluciona de manera satisfactoria y es dada de alta, encontrándose hasta la actualidad asintomática.
Discusión
La presentación clínica del MC depende en primer lugar de su ubicación (izquierda o derecha), del tamaño, de la movilidad y en menor grado de su morfología(7,16,17).
Algunos pacientes (5%-10%) no muestran signos clínicos visibles, en particular en el caso de tumores pequeños (40 mm) dejando el diagnóstico a un hallazgo casual(2,18). Contrariamente, en algunos pacientes puede precipitar insuficiencia cardíaca aguda y muerte súbita. Los pacientes con MC presentan generalmente la clásica tríada de trastorno hemodinámico por obstrucción intracardíaca, signos sistémicos (periféricos o cerebrales) o embolismo pulmonar y/o síntomas constitucionales no específicos(2-4,18).
Estos fenómenos trombóticos pueden presentarse en pacientes jóvenes sin factores de riesgo cardiovascular. Las formas de presentación son múltiples, entre las más graves y frecuentes está el ataque vascular cerebral agudo (AVCA)(21-23).
En los dos casos iniciales que describimos se presenta una afección cardíaca primaria, con primera opción diagnóstica de una masa cardíaca benigna en la válvula mitral con degeneración valvular asociada y AVCA, que además de su expresión anátomo funcional, muestra también convulsiones y compromiso ocular. El TAC cerebral (escanografía cerebral) mostró lesiones parenquimatosas múltiples con compromiso también de cerebelo en uno de los casos y en el otro una extensa área de isquemia fronto-temporal izquierda, sugiriendo cardioembolismo. Desde el inicio de la enfermedad, ambas pacientes tenían síntomas de presentación súbita episódica compatible con síncope, en la fase de hospitalización una de ellas presentó síncope y convulsiones con un estado posconvulsivo de 20 minutos, la otra con compromiso motor y del lenguaje importantes que se recuperan de forma paulatina. En estas pacientes confluyen: síncope, convulsiones, compromiso ocular y cerebral por embolismo(24). La estenosis valvular mitral tiene como causa la obstrucción transitoria del flujo ventricular diastólico por el tumor.
El tercer caso presenta algunos eventos singulares. Se trata de una paciente que se inicia con síntomas constitucionales, respiratorios, elevación de velocidad de eritrosedimentación y fenómeno de Raynaud con aparición previa a la hospitalización por el cual recibía tratamiento. Estos síntomas orientaron a sospechar la presencia de una enfermedad del colágeno en fase activa. Los hallazgos radiológicos iniciales fueron sugestivos de hemorragia alveolar, sin embargo la evolución de la paciente terminó por concluir que se trataba de la presencia de edema pulmonar, cuya etiología se definió al momento de confirmar, mediante ecocardiograma, por la aparición de MC. Estos síntomas generales, aunque presentes en la mayoría de los casos, no suelen dominar el cuadro ni ser la única manifestación del tumor(19). Cuando así ocurre, el evento clínico puede remedar una enfermedad sistémica de tipo vasculitis o conectivopatías(20), como ocurrió en nuestra paciente.
Para el diagnóstico en general se requiere excluir el cardioembolismo o el compromiso cardíaco del cuadro clínico con el ecocardiograma, siendo esta la clave para el diagnóstico de MC. Con este diagnóstico la resección quirúrgica es el tratamiento de elección, la cirugía se debe realizar lo antes posible porque puede producirse muerte súbita, por lo cual no tiene ninguna justificación aplazar el procedimiento. La recidiva del MC tras la cirugía es rara si se efectúa resección de la base de implantación con criterio oncológico(25). Respecto al manejo de los pacientes con cardioembolismo, cualquiera sea su origen, existe acuerdo universal en cuanto al beneficio que tienen los anticoagulantes; nuestras pacientes recibieron anticoagulación con heparina de bajo peso molecular hasta el día de la cirugía. La perspectiva con respecto a esto es la de poder usar nuevos anticoagulantes según la experiencia que se vaya obteniendo en un futuro inmediato.
Bibliografía
1. Gošev I, Pai‰ F, Ðuri‰ ð, Gošev M, Ivèevi‰ S, Buli‰ Jakuš F, et al. Cardiac myxoma the great imitators: comprehensive histopathological and molecular approach Review Article. International Journal of Cardiology 2012;164:7-20.
2. Burke AP, Tazelaar H, Gomez-Roman JJ, Loire R, Chopra P, Tomsova M, et al. Bening tumours of pluripotent mesenchyme. Cardiac myxoma. In: Travis WD, Brambilla E, Müller-Hermelink HK, Harris CC, editors. Pathology and genetics of tumours of lung, pleura, thymus and heart. Geneva: World Health Organization; 2004:p.260–3.
3. Wold LE, Lie JT. Cardiac myxomas: a clinicopathological profile. Am J Pathol 1980;101:219–40.
4. Reynen K. Cardiac myxomas. N Engl J Med 1995;333:1610–7.
5. Amano J, Kono T, Wada Y, Zhang T, Koide N, Fujimori M, et al. Cardiac myxoma: its origin and tumor characteristics. Ann Thorac Cardiovasc Surg 2003;9:215–21.
6. Yoon DH, Roberts W. Sex distribution in cardiac myxomas. Am J Cardiol 2002;90 563–5.
7. Keeling IM, Oberwalder P, Anelli-Monti M, Schushlenz H, Demei U, Tilz GP, et al. Cardiac myxomas: 24 years of experience in 49 patients. Eur J Cardiothorac Surg 2002;22:971–7.
8. Butany J, Nair V, Naseemuddin A, Nair GM, Catton C, Yau T. Cardiac tumours: diagnosis and management. Lancet Oncol 2005;6:219–28.
9. Isaacs H. Fetal and neonatal cardiac tumors. Pediatr Cardiol 2004;25:252–73.
10. Uzun O, Wilson DG, Vujanic GM, Parsons JM, De Giovanni JV. Cardiac tumours in children. Orphanet J Rare Dis 2007;2:11.
11. Jain D, Maleszewski JJ, Halushka MK. Benign cardiac tumors and tumorlike conditions. Ann Diagn Pathol 2010;14:215–30.
12. Barh D, Parida S. Cardiac myxoma: molecular markers, critical disease pathways, drug targets, and putative targeting miRs. Cancer Therapy 2009;7:77–96.
13. Koyalakonda SP, Mediratta NK, Ball J, Royle M. A rare case of aortic valve myxoma: an unusual cause of embolic stroke. Cardiology 2011;118:101–3.
14. Wilkes D, Charitakis K, Basson CT. Inherited disposition to cardiac myxoma development. Nat Rev Cancer 2006;6:157–65.
15. Stratakis CA, Kirschner LS, Carney JA. Clinical and molecular features of the Carney complex: diagnostic criteria and recommendations for patient evaluation. J Clin Endocrinol Metab 2001;86: 4041–6.
16. Becker RP, Ramírez MA, Zalaquett SR, Moran SV, Irarrazával MJ, Arretz CV, et al. Mixoma cardiac: caracterización clínica, métodos diagnósticos y resultados alejados del tratamiento quirúrgico durante tres décadas de experiencia. Rev Med Chil 2008;136:287–95.
17. Bjessmo S, Ivert T. Cardiac myxoma: 40 years’ experience in 63 patients. Ann Thorac Surg 1997;63:697–700.
18. Reardon MJ, Smythe WR. Cardiac neoplasms. In: Cohn LH, Edmunds LH J, editors. Cardiac surgery in the adult. New York: McGraw-Hill; 2003. p. 1373–400.
19. Markel ML, Waller BF, Armstrong WF. Cardiac myxoma. A review. Medicine (Baltimore) 1987; 66: 114-125
20. Gravallese EM, Waksmonski C, Winters GL, Simms RW. Fever, arthralgias, skin lesions, and ischemic digits in a 59-year-old man. Clinico pathologic Conference. Arthritis Rheum 1995;38:1161-8.
21. Lam KY, Dickens P, Chan AC. Tumors of the heart: a 20-year experience with a review of 12,485 consecutive autopsies. Arch Pathol Lab Med 1993; 117:1027-31
22. Shapiro L. Cardiac tumours: diagnosis and management. Heart 2001;85:218-22
23. Reynen K. Cardiac myxomas. N Engl J Med 1995;333:1610-7.
24. van der Worp HB, van Gijn J. Acute Ischemic Stroke. N Engl J Med 2007;357:572-9.
25. Pinede L, Duhaut P, Lotre R. Clinical Presentation of left atrial cardiac myxoma. A series of 112 consecutive cases. Medicine (Baltimore) 2001;80: 159-169.













