Introducción
El síndrome de Plummer-Vinson (SPV) o síndrome de Paterson-Kelly es definido por la presencia de anemia ferropénica, disfagia y membrana esofágica alta1. En el año 1912, Henry Stanley Plummer, médico internista y endocrinólogo de la Clínica Mayo, describió pacientes con rigidez o espasmo esofágico alto asociado a anemia ferropénica crónica2. En 1919, Porter Paisley Vinson, cirujano de la Clínica Mayo, reportó varios casos de disfagia en pacientes con anemia y glositis atrófica3. Es a partir de ese momento cuando el síndrome pasó a conocerse como Plummer-Vinson. Sin embargo, fueron los británicos Donald Ross Paterson y Adam Brown Kelly quienes finalmente establecieron que dicha disfagia en pacientes con anemia ferropénica era producida debido a la presencia de membranas y publicaron sus hallazgos en forma independiente en 19194,5. Las primeras descripciones radiológicas publicadas sobre el SPV datan del año 1939 y pertenecen a los médicos suecos Jan Waldenstrom y Sven Roland Kjellberg6. El SPV se presenta con mayor frecuencia en mujeres caucásicas de entre 40 y 70 años7,8. Su patogenia es desconocida vinculándose el déficit de hierro como el principal responsable de las alteraciones anatómicas y funcionales esofágicas9. El diagnóstico es clínico e imagenológico (estudio contrastado de esófago y videogastroscopía) y el tratamiento consiste en la reposición de hierro junto con la dilatación endoscópica. A continuación se presenta el caso de una paciente con síndrome funcional anémico que agrega posteriormente disfagia intermitente para sólidos.
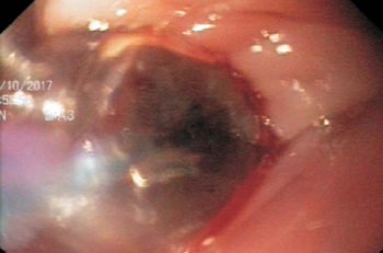
Caso clínico
Paciente de sexo femenino de 40 años de edad, sin antecedentes quirúrgicos, negaba uso de medicación habitual, nuligesta. Negaba consumo de alcohol, fumadora de cinco cigarrillos al día desde hace diez años. Concurrió a consulta en policlínica refiriendo disnea progresiva, astenia, adinamia y mareos de diez meses de evolución. En los últimos cuatro meses agregó disfagia intermitente y progresiva para sólidos. No presentó episodios de impactación de alimentos ni adelgazamiento. Del examen físico se destacaba la presencia de piel y mucosas hipocoloreadas, queilitis angular bilateral, glositis y coiloniquia. Presión arterial de 120/80 mmHg, frecuencia cardíaca 85 pulsaciones por minuto, apirética. No se palparon adenopatías en ningún territorio, la exploración pleuropulmonar y cardiovascular fueron normales. De la paraclínica se destacaba una anemia microcítica e hipocrómica por déficit de hierro; hemoglobina 8,2 g/dL, VCM 53 fl, Hto 29%, HCM 16 pg, ferritina 3,7 ng/ml, sideremia 22 ug/dl e índice de saturación de transferrina 7%. El perfil lipídico, TSH, glicemia, hepatograma, PEF, VES y función renal fueron todos normales. Se realizó un esofagogastroduodeno por doble contraste que informó una estenosis subcricoidea con buen pasaje distal (figura 1). Se sometió posteriormente a una gastroscopía digestiva alta que objetivó inmediatamente por debajo del cricofaríngeo una membrana grisácea estenosante que no permitía el paso del endoscopio (figura 2). Se procedió a realizar dilatación mediante balón hidroneumático de expansión radial, no se registraron complicaciones durante el procedimiento (figura 3) y (figura 4). A las seis semanas concurrió a control endoscópico refiriendo mejoría leve de la disfagia, se objetivó nuevamente la membrana estenosante y se realizó segunda sesión de dilatación con balón (figura 5). Posteriormente, presentó mejoría completa de su sintomatología realizando al momento dieta habitual sin dificultad para la deglución de sólidos, concurriendo a control endoscópico a las cuatro semanas, se observó restos de membrana y tejido fibrótico en tercio superior con pasaje sin dificultad del endoscopio (figura 6). En forma complementaria se realizó tratamiento con hierro por vía oral hasta lograr cifras normales de hemoglobina, sideremia y ferritina. Con los hallazgos clínicos y paraclínicos descritos se pudo establecer con seguridad el diagnóstico de SPV.
Discusión y comentarios
El SPV es una entidad poco frecuente, la literatura disponible consiste básicamente en reporte de casos o en pequeñas series. Si bien su prevalencia e incidencia exacta se desconocen, su relación como factor de riesgo para el carcinoma epideromide de esófago sí está bien establecida, por lo que es de suma importancia su diagnóstico y tratamiento7,9. El SPV ha sido reportado en todo el mundo, en las primeras décadas posteriores a su descripción, predominaban los reportes en Europa y Estados Unidos; sin embargo, con las mejoras nutricionales y el crecimiento económico en dichas regiones los casos han disminuido drásticamente. Actualmente es de los países subdesarrollados de donde proviene la mayoría de las descripciones, fundamentalmente del continente asiático. En Japón, al igual que en el resto de los países desarrollados, es un síndrome infrecuente. Uchida y colaboradores10 encontraron en 353 pacientes con anemia ferropénica que solo 6 (1,7%) fueron diagnosticados con SPV. Dado el reconocimiento precoz y correcta terapéutica de la anemia ferropénica, se cree que los casos de este síndrome son cada vez menos frecuentes. Entre 3% y 16% de pacientes con anemia y déficit de hierro desarrollan en la evolución algún tipo de neoplasia en el tracto digestivo superior, fundamentalmente en esófago, pero también en cavidad oral, estómago e hipofaringe11. Es importante, por lo tanto, crear un programa de seguimiento de estos pacientes, si bien se sugiere un control endoscópico anual, no existe un consenso establecido, por lo que deberá establecerse caso a caso. La mejoría en las condiciones nutricionales de la población en general, las mejoras en saneamiento e higiene, la reducción de infecciones parasitarias, así como la suplementación de diversos productos con hierro, se cree que han colaborado con el descenso en la incidencia. En cuanto a la etiología de la formación de las membranas es desconocida. Las mismas suelen ser únicas, formadas por epitelio plano estratificado, son de color blanco-amarillentas y se ubican preferentemente en el tercio superior esofágico (aunque se han descrito en todos los tercios del esófago). Se cree que su formación depende de factores genéticos, nutricionales y autoinmunes, siendo la deficiencia de hierro el elemento clave en su patogénesis. El epitelio esofágico presenta un alto recambio celular, por lo que se necesitan aportes constantes de hierro para proporcionar una adecuada síntesis de las células; cuando hay déficit de hierro se produce una degeneración mucosa hiperplásica con la consiguiente formación de membranas7,12. Sin embargo, la anemia ferropénica parece no ser el único responsable de la formación de las membranas, ya que se han reportado casos donde las mismas se observan en ausencia de ferropenia. Otras deficiencias nutricionales podrían jugar un rol importante, se ha propuesto el déficit de algunas vitaminas B, como la riboflavina, que participa activamente en la eritropoyesis, incluida la absorción de hierro y la movilización de ferritina desde los tejidos, la tiamina y la piridoxina, aunque la evidencia es débil y no concluyente13. El síntoma clásico de este síndrome es la disfagia y su mecanismo es multifactorial. Por un lado, se encuentra la presencia de membranas, pero también se ha establecido que la ferropenia provoca cambios en las fibras musculares, lo que se traduce en alteraciones miasténicas con posterior trastorno en la motilidad esofágica que se encuentra disminuida alterando la deglución9,14. Pueden verse en forma asociada atrofia y lesiones ulceradas en esófago superior como consecuencia de la impactación y retención de alimentos en las membranas que clínicamente se expresan como odinofagia. En cuanto a enfermedades asociadas se ha descrito una mayor prevalencia de enfermedad celíaca en estos pacientes, por lo que se sugiere biopsias de segunda porción duodenal y marcadores serológicos para pesquisar dicha enfermedad. La artritis reumatoide, anemia perniciosa y la tiroiditis son otras patologías que pueden verse asociadas al SPV, es muy probable que existan mecanismos autoinmunes vinculados al síndrome, aunque no han podido establecerse anticuerpos propios como marcadores para esta patología15,16. En cuanto a la presentación clínica, la disfagia alta, progresiva y de lenta evolución suele ser el síntoma guía. La disfagia predomina para la ingesta de sólidos y generalmente es indolora salvo cuando asocia ulceraciones por retención prolongada de alimentos. Los pacientes suelen realizar modificaciones en la alimentación, comiendo dietas blandas, cortando los alimentos en fracciones pequeñas, lo que lleva a que el intervalo de tiempo entre el inicio de los síntomas y la consulta médica en ocasiones sea de años11. La disfagia se manifiesta cuando el diámetro de la luz esofágica es menor de 12 mm, en casos severos de obstrucción puede ocurrir impactación de alimentos y aspiración, aunque se han reportado casos aislados. En cuanto al diagnóstico diferencial es importante descartar otras causas de disfagia orofaríngea, como ser: amiloidosis, dermatomiositis, miastenia gravis, polimiositis, sarcoidosis, divertículo de Zenker, tumores del tronco encefálico, esclerosis lateral amiotrófica, esclerosis múltiple, osteofitos, tumores orofaríngeos, ente otros. Los síntomas y signos del síndrome funcional anémico pueden ser en ocasiones los que predominan. Puede evidenciarse queilitis, coiloniquia, glositis, palpitaciones, soplo funcional eyectivo, astenia, adinamia, cefalea y vértigos. La esplenomegalia se presenta en un 30% de los pacientes 7. El SPV es más frecuente en mujeres caucásicas, representando el 80% del total de los casos, la edad de presentación suele observarse entre los 40 y 70 años, aunque se ha descrito en niños y adolescentes17. La alta prevalencia en mujeres probablemente se vea relacionada con la ferropenia vinculada a las pérdidas sanguíneas durante la menstruación, los embarazos y un menor consumo de hierro en las dietas. El diagnóstico consta de un pilar clínico bien establecido por la presencia de disfagia (con las características descritas), la anemia ferropénica y las membranas esofágicas. La radiografía por contraste es un buen método diagnóstico inicial, ya que además de evidenciar las membranas, la topografía y guía la posterior terapéutica con la dilatación esofágica1,8. La endoscopía digestiva como primer método puede no visualizar la membrana si la misma se encuentra muy proximal y romperla accidentalmente al no observar la lesión (omitiendo de esa forma el diagnóstico). En el estudio contrastado la membrana se visualiza mejor con la visión lateral cuando la faringe inferior y el esófago superior se encuentran dilatados. La endoscopía alta proporciona posteriormente la posibilidad de confirmar el diagnóstico y eventualmente realizar el tratamiento. Bajo visión directa e ingresando lentamente se puede observar la membrana y sus características. Suele ocluir gran parte del diámetro esofágico y no es distensible. Ejerciendo una presión moderada puede lograrse en algunos casos la dilatación mecánica instrumental, en caso de no ser posible debe optarse por dilatación mediante balón hidrostático o con bujías de Savary18 . La cantidad de sesiones necesarias para paliar la disfagia es variable y se irán realizando según la evolución de cada paciente (la recurrencia de la disfagia es de entre 14% y 30%)17. Suele ser un procedimiento seguro en endoscopistas entrenados, siendo la perforación y el sangrado las complicaciones más comunes18. La inyección de corticoides posdilatación en la zona de la membrana, la colocación de stent o la cirugía, pueden ser otros tratamientos para los casos refractarios a la dilatación convencional. El tratamiento de la ferropenia es el otro punto clave y muchas veces suele evidenciarse mejoría de la disfagia cuando se normalizan los niveles de hierro. La reposición puede ser vía oral o intravenosa dependiendo del grado de ferropenia y de la sintomatología asociada.
A largo plazo el pronóstico suele ser bueno dependiendo de la corrección y el mantenimiento posterior de los niveles de hierro y la dilatación de las membranas. Como mencionamos, al tratarse de una condición premaligna debe realizarse seguimiento anual endoscópico.
Conclusión
Hemos presentado el caso de una paciente de 40 años con síndrome funcional anémico y disfagia, observando en la radiografía contrastada y la endoscopía una membrana estenosante subcricoidea. Presentó una buena evolución mediante el tratamiento instituido con suplementación de hierro y sesiones de dilatación mediante balón. Cien años después de las primeras descripciones del SPV, el conocimiento exacto de esta patología continúa incierto, y si bien es cada vez menos frecuente debe recordarse su condición preneoplásica para establecer un diagnóstico y seguimiento adecuados.











Curriculum ScienTI








