Caso clínico
SF, 10 años, sobrepeso (IMC 27,1), antecedentes familiares de diabetes mellitus tipo II, múltiples episodios de pancreatitis aguda leve (en número de 7), que determinaron una pancreatitis aguda recidivante, en un lapso de 2 años.
Etiológicamente durante el primer episodio no se encontró una causa evidente, en su evolución se evidencia litiasis vesicular por lo que se realizó una colecistectomía laparoscópica con colangiografía intraoperatoria normal.
Como persiste con episodios de pancreatitis se descartaron otras causas como malformaciones de la unión bilio-pancreática, fibrosis quística, patología autoinmune e hipertrigliceridemia.
En la evolución presentó como complicaciones de la pancreatitis, 2 pseudoquistes pancreáticos, el mayor de 56mm de diámetro, en los que se realizó tratamiento conservador con buena evolución.
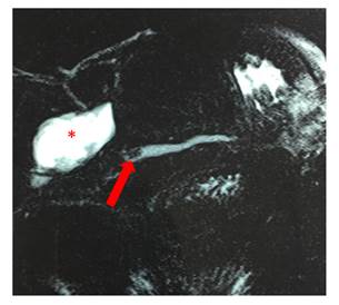
Durante los últimos episodios se realizó una Colangioresonancia (Figura 1) y 2 colangiopancreatografías endoscópicas retrógradas (CPER), los cuales evidenciaron una zona de estenosis del conducto de Wirsung a nivel del cuello y una litiasis de 6mm. En una primera instancia se realizó papilotomía, no logrando introducir un stent para franquear la estenosis, hecho que sí se logró en la segunda oportunidad.

Fig. 1: Colangio Resonancia que muestra la dilatación del conducto pancreático mayor con litiasis en su interior (flecha) y pseudoquiste pancreático(*).
Dado la persistencia del dolor abdominal y de su difícil manejo se decidió realizar un tratamiento quirúrgico mediante la técnica derivación Wirsung-yeyunal o técnica de Puestow modificada.
Técnica quirúrgica
Incisión mediana supraumbilical, apertura del ligamento gastrocólico, movilización del duodeno mediante maniobra de Kocher. Identificación del páncreas, que se presentó de consistencia indurada, localización del conducto de Wirsung mediante palpación y ecografía intraoperatoria, se confirma su topografía mediante punción con aguja fina. Apertura pancreática longitudinal con electrocauterio a nivel del cuello y cuerpo hasta el conducto de Wirsung que se abre por su cara anterior (aprox. 3 cm). Identificación y aspiración de detritus celulares de su luz, sin litiasis a dicho nivel . Biopsia incisional de tejido pancreático.
Sección del intestino delgado a nivel de la segunda asa yeyunal, con cierre del extremo distal de la misma y ascenso del asa por vía transmesocólica. Apertura del asa por su borde antimesentérico y confección de la anastomosis yeyuno-pancreática (Wirsung) latero-lateral con puntos separados con poliglactina en 2 planos (Figura 3).

Fig. 3: Derivación Wirsung-yeyunal. Apertura del conducto de Wirsung por su cara anterior y apertura del asa yeyunal por su borde antimesentérico. Anastomosis Wirsung-yeyunal. Tomado de (6).
Reconstrucción del tránsito mediante entero-entero anastomosis en Y de Roux a 60 cm del ángulo de Treitz. No se dejó drenaje.
La paciente presentó una buena evolución postoperatoria, permanece en la unidad de cuidados intermedios durante 3 días, luego en sala general hasta el alta a los 11 días. Como complicación se constató la formación de un pseudoquiste de 83 x 42 x 23mm a nivel de la cabeza pancreática, que se trató de manera conservadora con disminución paulatina de su tamaño hasta su resolución definitiva a los 3 meses.
El estudio anátomopatológico de la biopsia informó: lobulillos pancreáticos con acinos e islotes de Langerhans de morfología habitual, separados por gruesos tractos fibróticos.
En seguimiento durante 3 años la paciente se encuentra asintomática, no ha reiterado episodios de dolor y se alimenta de manera habitual con buen ascenso ponderal. En ecografías de control se aprecia el conducto de Wirsung de calibre habitual, sin estenosis, ni litiasis. Presenta funcional y enzimograma hepático, glicemia y amilasa normales.
Las indicaciones del tratamiento quirúrgico para pancreatitis aguda recidivante en niños son menos claras que en adultos, estando determinadas principalmente por el dolor y los episodios de pancreatitis reiterados 1,2. Existen diferentes técnicas quirúrgicas para su tratamiento y las mismas se pueden clasificar como resectivas y/o decompresivas.
En 1958, Puestow y Gillesby 3 describe la técnica que lleva su nombre que consiste en una pancreatectomía distal, esplenectomía y derivación del conducto pancreático mediante inserción del páncreas en una yeyunostomía en Y de Roux. Posteriormente, en 1960, Partington y Rochelle 4 describen la sutura del conducto pancreático a un asa yeyunal, logrando de esa manera la derivación del conducto pancreático y evitando la resección pancreática y esplénica. Dicho procedimiento se conoce actualmente como derivación Wirsung-yeyunal, pancreático-yeyunostomía latero-lateral, procedimiento de Puestow modificado o de Partington - Rochelle (Figura 3).
La derivación Wirsung-yeyunal es el procedimiento de elección para la descompresión ductal en niños, dado que permite la preservación del tejido pancreático manteniendo la función, tanto endócrina como exócrina 5. Dicho procedimiento presenta una morbilidad del 20% y mortalidad de alrededor del 1% 6.
La pancreatitis aguda recidivante en niños es una entidad extremadamente rara. El tratamiento quirúrgico es una estrategia razonable dentro del tratamiento. En concordancia con la literatura 7,8,9,10, en nuestra experiencia la técnica de derivación Wirsung-yeyunal ha demostrado ser una técnica segura con buenos resultados en el tratamiento del dolor a 3 años de seguimiento.
Se realiza el primer reporte nacional de esta técnica quirúrgica en la población pediátrica.
No existe conflicto de interés.















