SciELO - Scientific Electronic Library Online

 
vol.12 número1Compresión del nervio radial tras fijación con placa volar: un caso de diagnóstico por ecografíaRotura de la fascia plantar tras una lesión de fútbol: un caso de tratamiento conservador y recuperación índice de autoresíndice de materiabúsqueda de artículos
Home Pagelista alfabética de revistas  

Servicios Personalizados

Revista

Articulo

Links relacionados

Compartir


Anales de la Facultad de Medicina

versión On-line ISSN 2301-1254

Anfamed vol.12 no.1 Montevideo  2025  Epub 01-Jun-2025

https://doi.org/10.25184/anfamed2025v12n1a6 

Imagenes biomédicas

Hyperdense Basilar Artery Sign in a Young Cocaine User: A Rare Presentation of Stroke

Sinal da artéria basilar hiperdensa em um jovem usuário de cocaína: uma apresentação rara de acidente vascular cerebral

Signo hiperdenso de la arteria basilar en un joven consumidor de cocaína: una rara manifestación de accidente cerebrovascular

Bruno Fernandes Barros Brehme de Abreu1 
http://orcid.org/0000-0003-4882-8299

Natã Nascimento de Jesus Graça2 
http://orcid.org/0009-0004-8155-2241

Mayara Oliveira da Silva3 
http://orcid.org/0000-0002-9882-3456

Felipe Nunes Figueiras4 
http://orcid.org/0000-0001-6626-6731

Márcio Luís Duarte5 
http://orcid.org/0000-0002-7874-9332

1WEBIMAGEM Telerradiologia. São Paulo-SP, Brasil. Correo eletrónico: bruno_brehme@hotmail.com.

2Universidade do Oeste Paulista, Campus Guarujá. Guarujá-SP, Brasil. Correo eletrónico: natannascimento1601@gmail.com.

3Universidade Federal de São Paulo. Santos-SP, Brasil. Correo eletrónico: mayara2112@hotmail.com.

4Instituto de Análises Clínicas de Santos. Santos-SP, Brasil. ; Correo eletrónico: bilita88@gmail.com

5Universidade de Ribeirão Preto, Campus Guarujá. Guarujá-SP, Brasil. Diagnósticos da América S.A., São Paulo-SP, Brasil. Correo eletrónico: marcioluisduarte@gmail.com.


Abstract

Cocaine use is a well-documented factor in both ischemic and hemorrhagic stroke; however, basilar artery thrombosis due to cocaine use is rare, with few cases reported in the literature. As a widely used illicit drug, cocaine can trigger acute basilar artery thrombosis, leading to severe neurological outcomes. The mechanisms involved include cerebral vasospasm, platelet aggregation, thrombosis, cerebral vasculitis, and thromboembolism resulting from cardiomyopathy or drug-induced arrhythmias. We report the case of a 30-year-old man with recurrent seizures following cocaine use.

Keywords: Ischemic Stroke; Tomography, X-Ray Computed; Cocaine

Resumo

O uso de cocaína é um fator bem documentado para acidentes vasculares cerebrais (AVC) isquêmicos e hemorrágicos, embora a trombose da artéria basilar causada por cocaína seja rara, com poucos casos descritos na literatura. Como uma droga ilícita amplamente utilizada, a cocaína pode desencadear trombose aguda da artéria basilar, resultando em desfechos neurológicos graves. Os mecanismos envolvidos incluem vasoespasmo cerebral, agregação plaquetária, trombose, vasculite cerebral e tromboembolismo devido a cardiomiopatia ou arritmias induzidas pela droga. Relatamos o caso de um homem de 30 anos com convulsões recorrentes após o uso de cocaína.

Palavras-chave: AVC Isquêmico; Tomografia Computadorizada por Raios X; Cocaína

Resumen

El uso de cocaína es un factor bien documentado en los accidentes cerebrovasculares (ACV) isquémicos y hemorrágicos; sin embargo, la trombosis de la arteria basilar debido al uso de cocaína es rara, con pocos casos descritos en la literatura. Como droga ilícita ampliamente utilizada, la cocaína puede desencadenar una trombosis aguda de la arteria basilar, resultando en graves consecuencias neurológicas. Los mecanismos involucrados incluyen vasoespasmo cerebral, agregación plaquetaria, trombosis, vasculitis cerebral y tromboembolismo debido a cardiomiopatía o arritmias inducidas por la droga. Presentamos el caso de un hombre de 30 años con convulsiones recurrentes después del uso de cocaína.

Palabras clave: Accidente Cerebrovascular Isquémico; Tomografía Computarizada por Rayos X; Cocaína.

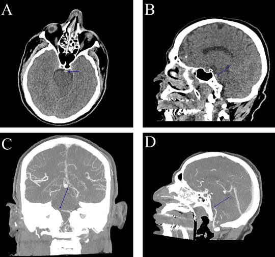
A 30-year-old man had a seizure 30 minutes ago. He developed decreased consciousness associated with recurrent seizures, coarse limb tremors, and fever unresponsive to antipyretics. He is a cocaine user and had been abusing it before the seizures. Axial cranial computed tomography (CT) scan shows a hyperdense artery sign in the basilar artery (Figure 1 A ), and sagittal CT angiography (CTA) detects a filling defect in the basilar artery due to contrast, diagnosing basilar artery thrombosis (Figures 1 B-D ). After imaging, he progressed to loss of oculocephalic reflex, corneal reflex, ciliospinal reflex, and no motor response to painful stimuli. One hour later, in the intensive care unit (ICU), he presented decorticate posturing followed by decerebrate posturing. One day later, the patient died in the ICU.

The hyperdense artery sign is indicative of thrombosis.1 This sign in the basilar artery is rare and has a poor prognosis. (1 Although ischemic stroke in young people is relatively rare, cocaine use is a well-established risk factor and involves multiple interconnected mechanisms. (2 Cocaine use can elevate blood pressure, triggering hypertensive crises and increasing the risk of cerebral hemorrhage.3 It also induces vasospasm, which can cause ischemia and subsequent hemorrhage when relieved. (3 Additionally, cocaine disrupts vascular endothelium and alters blood coagulation, making vessels prone to rupture. (3 These mechanisms elevate the risks of both hemorrhagic and ischemic strokes, with platelet aggregation further contributing to ischemic events. (4

Figure 1A:  Non-contrast cranial CT in axial view (A) and sagittal view (B) showing the hyperdense artery sign in the basilar artery-basilar artery thrombosis (blue arrow). (B) Cranial CT angiography in MIP (maximum intensity projection) in coronal view (C) and sagittal view (D) showing a filling defect in the basilar artery due to contrast, characterizing basilar artery thrombosis (blue arrow). 

References:

1. MacEwen C, Ward M, Buchan A. A case of cocaine-induced basilar artery thrombosis. Nat Clin Pract Neurol. 2008 Nov;4(11):622-6. doi: 10.1038/ncpneuro0879. [ Links ]

2. Agarwal A, Bathla G, Kanekar S. Imaging of Non-atherosclerotic Vasculopathies. J Clin Imaging Sci. 2020 Oct 13;10:62. [ Links ]

3. Rendon LF, Malta S, Leung J, Badenes R, Nozari A, Bilotta F. Cocaine and Ischemic or Hemorrhagic Stroke: A Systematic Review and Meta-Analysis of Clinical Evidence. J Clin Med. 2023 Aug 10;12(16):5207. doi: 10.3390/jcm12165207. [ Links ]

4. Alqahtani SA, Burger K, Potolicchio S. Cocaine-Induced Acute Fatal Basilar Artery Thrombosis: Report of a Case and Review of the Literature. Am J Case Rep. 2015 Jun 25;16:393-7. doi: 10.12659/AJCR.894565. [ Links ]

Conflict of Interest: The authors declare that they have no conflict of interest.

Funding: There´s no funding. This article does not contain any studies with animals performed by any of the authors.

Author contribution note: Bruno Fernandes Barros Brehme de Abreu: conceptualization (same), data curation (same), formal analysis (same), investigation (same), methodology (same), project management (same), validation (same), visualization (same), original writing-draft (same), writing-revision and editing (same); Natã Nascimento de Jesus Graça: conceptualization (same), data curation (same), formal analysis (same), investigation (same), methodology (same), project management (same), validation (same), visualization (same), original writing-draft (same), writing-revision and editing (same); Mayara Oliveira da Silva: conceptualization (same), data curation (same), formal analysis (same), investigation (same), methodology (same), project management (same), validation (same), visualization (same), original writing-draft (same), writing-revision and editing (same); Felipe Nunes Figueiras: conceptualization (same), data curation (same), formal analysis (same), investigation (same), methodology (same), project management (same), validation (same), visualization (same), original writing-draft (same), writing-revision and editing (same); Márcio Luís Duarte: data curation (same), formal analysis (same), funding acquisition (same), research (same), methodology (same), validation (same), visualization (same), original draft writing (same), writing - proofreading and editing (equal);

Declaration of data availability: All data relating to the case can be found in the article

Received: November 11, 2024; Accepted: January 27, 2025

Creative Commons License This is an open-access article distributed under the terms of the Creative Commons Attribution License